Interhospital chest conference Vajira hospital CBC Hb 10
Interhospital chest conference Vajira hospital
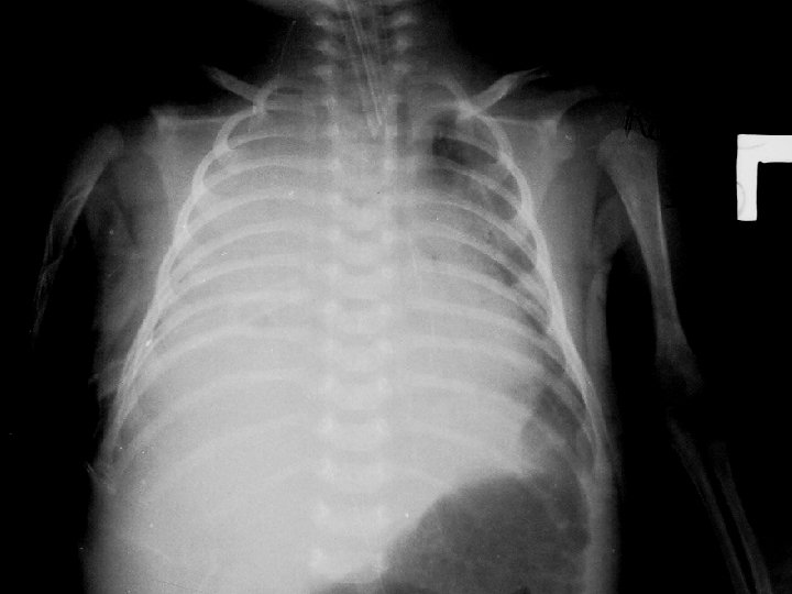
• CBC: Hb= 10, Hct= 31%, WBC= 51, 730/mm 3(N 51, L 34), Plt= 944, 000 , • CXR ��consolidation with right pleural effusion • pleural tapping ��� frank pus ���� Cefotaxime (100 MKD) ������� Amikin (15 MKD) ������������������ (ICD) ��������������������� endotracheal tube �������
Physical examination • T 37. 4 o. C , HR 140 /min , RR 56 / min , BP 60 / 37 mm. Hg , AF 1. 5*1. 5 cm not bulging , BW=3. 6 Kgs • GA : looked sick , dyspnea • HEENT : not pale conjunctiva , no icteric sclera , no injected pharynx and tonsils, lymph nodes are not enlarged • Heart : regular , no murmur, good pulses, capillary refill 1 sec
• Lungs : decreased breath sound , right dullness on percussion , on ICD at right 5 th intercostal space • Abdomen : soft , liver and spleen can’t be palpable • Extremities : no pitting edema
• CBC : Hb 9. 1 gm / dl , Hct 36% , WC 46, 100 / mm 3 ( 84% , L 9% , B 2% , M 5%) , Platelet 242, 000 / mm 3 • Urine examination : yellow, clear, p. H 1. 009 , wbc 4 -5 / HPF , rbc 0 -1 / HPF, albumin 1+
• Blood chemistry : BS 136 , BUN 8 , Cr 0. 4 , Na 135 , K 3. 9 , CI 101 , HCO 3 19 • Sputum and pleural fluid gram stain : gram positive cocci in chain
Film at vajira hospital
• LP: WBC 2/mm 3, Protein 60 , sugar 49 (108) • CSF C/S : NG • H/C : NG
• PPD test : 10 mm • Gastric lavage for AFB 3 days : neg • Sputum for AFB : neg for TB
- Slides: 15