Integrated FunctionalAesthetic Restorative Prosthodontic Implant Dentistry Dr Samuel

  • Slides: 47
Download presentation
“Integrated Functional-Aesthetic Restorative, Prosthodontic & Implant Dentistry” Dr. Samuel Waknine, M. D. M. S.

“Integrated Functional-Aesthetic Restorative, Prosthodontic & Implant Dentistry” Dr. Samuel Waknine, M. D. M. S. , Ph. D.

Diamond. Crown TM o Case n 1 Direct Restoration of a Traumatized Lateral Incisor

Diamond. Crown TM o Case n 1 Direct Restoration of a Traumatized Lateral Incisor 6 Years Post-Op.

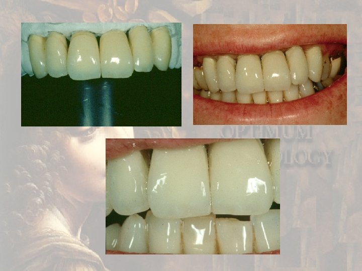
Diamond. Crown Alloyless, Fiberless TM Case no 2 Anterior Crowns (7 years Post-Op. )

Diamond. Crown Alloyless, Fiberless TM Case no 2 Anterior Crowns (7 years Post-Op. )

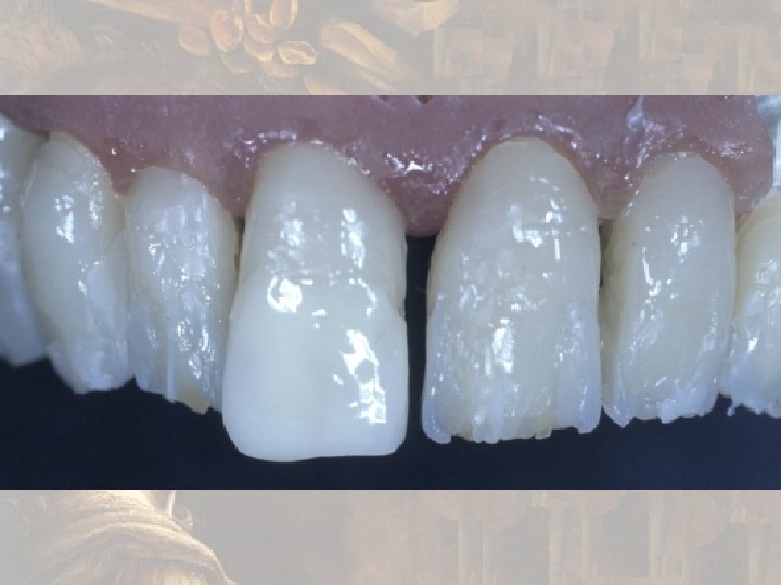
Diamond. Crown Alloyless, Fiberless TM Case no 3 Anterior Crowns (7 years Post-Op. )

Diamond. Crown Alloyless, Fiberless TM Case no 3 Anterior Crowns (7 years Post-Op. )

Diamond. Crown TM o Case n 4 3 -Unit Posterior Bridgework Alloyless, Fiberless

Diamond. Crown TM o Case n 4 3 -Unit Posterior Bridgework Alloyless, Fiberless

Clinical Implications 1 Average Human Masticatory Force Diamond. Crown TM Anterior 9 MPa x

Clinical Implications 1 Average Human Masticatory Force Diamond. Crown TM Anterior 9 MPa x 9 Diametral Tensile Strength 79 MPa x 2. 2 Posterior 31 - 41 MPa Moler Flexural Strength - (fracture) 145 MPa Biaxial Flexural Strength 231 Mpa x 1. 6 1 Kg /mm 2 = 10 N/mn 2 = 1 MPa = 145 psi

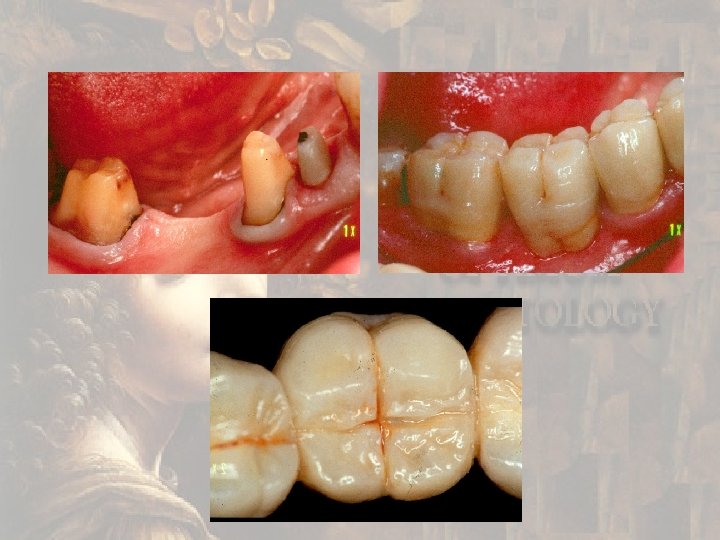
Diamond. Crown TM o Case n 5 Posterior Crown & Bridge Alloyless, Fiberless (5

Diamond. Crown TM o Case n 5 Posterior Crown & Bridge Alloyless, Fiberless (5 years Post-op)

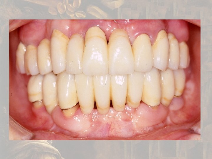
Diamond. Crown TM Case no. 6 Long-Span Alloy-Based Framework (5 years Post-op)

Diamond. Crown TM Case no. 6 Long-Span Alloy-Based Framework (5 years Post-op)

“Tissue Compatible Bio. Integrated Functional-Esthetic Implant Prosthodontics Dr. Samuel Waknine, M. D. M. S.

“Tissue Compatible Bio. Integrated Functional-Esthetic Implant Prosthodontics Dr. Samuel Waknine, M. D. M. S. , Ph. D.

Diamond. Crown Conventional Ti-Implant Superstructure (7 years Post-Op. ) Case no. 7 TM

Diamond. Crown Conventional Ti-Implant Superstructure (7 years Post-Op. ) Case no. 7 TM

Integrated Implant Post - ZTi TM IDC+ZTi ™ Superstructure - Diamond. Crown TM

Integrated Implant Post - ZTi TM IDC+ZTi ™ Superstructure - Diamond. Crown TM

Diamond. Crown IDC Stratification TM DC Incisal DC Enamel DC Dentin DC Opaque Dentin

Diamond. Crown IDC Stratification TM DC Incisal DC Enamel DC Dentin DC Opaque Dentin DC Metal Cupler / Opaque ZTi Implant Post ZTi Abutment Post

Clinical Implications 2 Biomechanical Concepts Porcelain Fused to Metal Shear Bond Strength - 12

Clinical Implications 2 Biomechanical Concepts Porcelain Fused to Metal Shear Bond Strength - 12 MPa Diamond. Crown IDC - Abutment Post Shear Bond Strenght - 35 MPa TM (x 3) 1 Kg /mm 2 = 10 N/mn 2 = 1 MPa = 145 psi

IDC-Abutment-Implant Cross-Section Metal Opaque-Dentin Enamel

IDC-Abutment-Implant Cross-Section Metal Opaque-Dentin Enamel

Diamond. Crown IDC Accelerated Cyclic Fatigue Studies (3 years In-Vivo Correlation) TM

Diamond. Crown IDC Accelerated Cyclic Fatigue Studies (3 years In-Vivo Correlation) TM

Clinical Implications 3 Biomechanical Concepts Average Human Masticatory Force Anterior - 9 MPa Posterior

Clinical Implications 3 Biomechanical Concepts Average Human Masticatory Force Anterior - 9 MPa Posterior - 31 MPa Bruxer - 41 MPa Pistachio Sealed Shell - 16 MPa x 55 x 16 x 12 x 31 IDC (Molar) - 500 MPa (3000 N/6 mm 2) 1 Kg /mm 2 = 9. 807 N/mn 2 = 1 MPa = 145 psi

Diamond. Crown™ Implant-Superstructure(s) IDC Clinical Application 5 -Year Post-Op. Case no. 8

Diamond. Crown™ Implant-Superstructure(s) IDC Clinical Application 5 -Year Post-Op. Case no. 8

Biocompatibility

Biocompatibility

A Novel Polycrystalline Reinforced Superstructure for Aesthetic - Restorative - Prosthodontic & Implant Dentistry

A Novel Polycrystalline Reinforced Superstructure for Aesthetic - Restorative - Prosthodontic & Implant Dentistry Diamond. Bond-001 - Diamond. Flow - Diamond. Lite Diamond. Link & Diamond. Crown™ New York University College of Dentistry DRM Research Laboratories, Inc. USA Dr. Samuel Waknine, M(D. M. S. ), Ph. D.