INSUFICIENCIA MITRAL IM LUIS FELIPE RAMOS HURTADO RESIDENTE
































- Slides: 32
INSUFICIENCIA MITRAL (IM) LUIS FELIPE RAMOS HURTADO RESIDENTE CARDIOLOGIA Clinica cardiovascular Santa Maria Medellin, Colombia
GENERALIDADES § Cualquier anormalidad del aparato valv. puede generar IM § Causa principal es el PVM (20 -70%) § Otras causas: • Isquemia (13 -30%), • Reumático (3 -40%), • Endocarditis (10 -12%) • Calcificación anillo, miocardiopatias, carcinoide enfermedades de colágeno, anorexígenos
GENERALIDADES § Anormalidades de valvas • Enfermedad crónica reumática • Mas frecuente en hombres • Acortamiento, rigidez, deformidad de cúspides • PVM: afecta valvas, cuerdas y anillo • EI: perforación de valvas § Anormalidades del anillo • Dilatación del VI
GENERALIDADES § Calcificación • Inmobiliza la porción basal de las valvas • Idiopática • Mas común en mujeres • Comparte Fd. R con enf. ateroesclerótica • Mayor riesgo de morbimortalidad CV • Síndromes de Hurler y Marfan • IRC con hiperpara secundario • Enfermedad reumática
GENERALIDADES § Anormalidades de los músculos papilares • Vulnerables a la isquemia • Isquemia transitoria o severa y prolongada • Postero inferior es el mas comprometido
FISIOPATOLOGÍA § 50% del volumen regurgitante entra a AI § El vol regurgitante depende del orificio y GP § Compensación ventricular • Aumenta vaciamiento ventricular • Aumento del VDF (mayor IM) • Sobrecarga de vol lleva a HVI excéntrica
FISIOPATOLOGÍA § Fase de compensación por años § Fase de descompensación • Aumento del VSF, poscarga y precarga • Disminución de VL y FE • Activación neurohumoral
FISIOPATOLOGÍA § GC comprometido en fases avanzadas § GC durante Ej es el ppal marcador de CF § Compliance de AI • Normal o disminuida (PAI elevada) • Moderada/ aumentada (mas común) • Severa/ aumentada (Cto marcado de AI)
HISTORIA CLÍNICA § Depende de varios factores • Severidad de la IM • Velocidad de progresión • PAI, PAP, PVP • Presencia de taquiarritmias § Largo período asintomático luego de FR § Una vez hay síntomas puede haber ya disfx VI
HISTORIA NATURAL § Variable § Depende de • Volumen regurgitante • Estado del miocardio • Causa subyacente § Insuficiencia severa solo en % escaso de pctes § Progresión de insuficiencia x PVM: variable § Rápida progresión x FR § Supervivencia sin Cx a 5 años del 30% § Mayor mortalidad si valva bailante, FE <60% o disminución de la clase funcional
EXÁMEN FÍSICO § Impulso cardiaco, pulso arterial hiperdinámico § Auscultación • S 1 disminuido • S 2 desdoblado, presencia de S 3 • P 2 >A 2 § Soplo sistólico • Inicia inmediatamente luego de S 1 • Holosistólico, alta tonalidad, igual intensidad • Duro en ápex, irradiado a axila área escapular • No correlación con severidad • Posición de pie súbita y valsalva lo disminuyen • Ej isométrico lo aumenta
AYUDAS DIAGNÓSTICAS § EKG • Crecimiento de AI • FA • Crecimiento ventricular § Rx tórax • Cardiomegalia • Líneas B de Kerley • Calcificación del anillo mitral § Prueba de esfuerzo
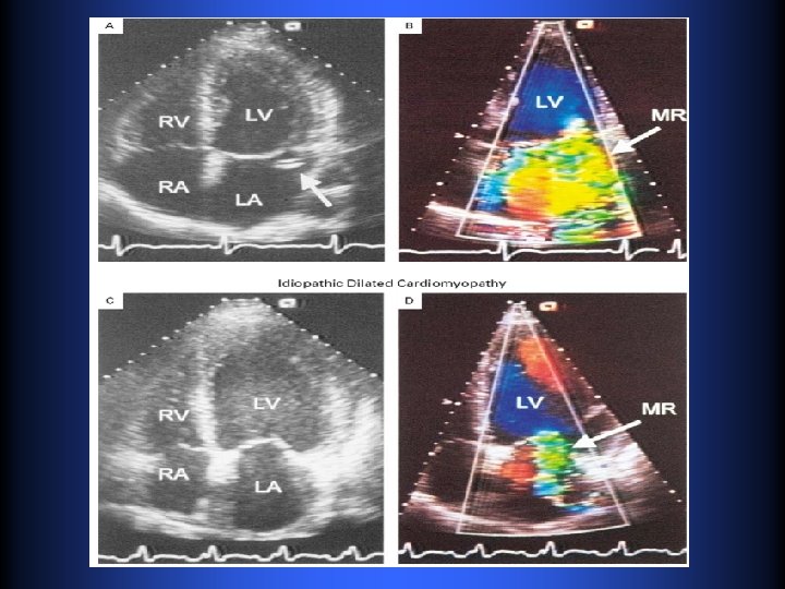
AYUDAS DIAGNÓSTICAS § Ecocardiografía • Evaluación basal de tamaño y Fx VI • Tamaño de AI y VD • Severidad de IM y PAP • Buscar posible etiología de la IM • Seguimiento anual o bianual en IM mod a sev • Si hay cambio de sintomatología • Luego de RVM o reparo • Evaluación con Ej
AYUDAS DIAGNÓSTICAS § Eco cardiografía TE • Establecer base anatómica pre o intra Qx • Información no Dx en el TT • Evaluar posibilidad de reparo si es candidato a cirugía § Seguimiento Eco cardiográfico • IM leve, asintomático, sin alteración en eco • Moderada • Severa
AYUDAS DIAGNÓSTICAS § Coronariografía • Si test no invasivos no son concluyentes • PSP fuera de proporción para IM • Discrepancia entre clínica y test no invasivos • Preqx en riesgo de EAC • Cateterismo derecho
TRATAMIENTO § Recomendaciones de EJ • Sin síntomas o alteraciones en eco, sinusal • Si alteraciones § Médico • No tratamiento aceptado • No RCT sobre vasodilatadores • IECAS solo si HTA • Si CMP son benéficos los IECAS y BB • FA
TRATAMIENTO Cirugía • IM aguda severa • Crónica severa, NYHA II, IV, sin disfx • Crónica severa, asimtomat, con disfx leve a mod • Crónica severa, asintomática, sin disfx, en FA • Crónica severa, asintomática, sin disfx con HTP • Reparo en severa asintomática, sin disfx • Reparo en severa, debido a anormalidad primar. o secund. del aparato, sintomt. , en disfx severa
INSUFICIENCIA MITRAL AGUDA ETIOLOGÍA § Endocarditis § Trauma § Tumores § Idiopática § Degeneración mixomatosa § EAC § Enfermedades infiltrativas
INSUFICIENCIA MITRAL AGUDA Fisiopatología § Sobrecarga súbita de volumen § Disminución del VL y VSF § Aumento del VDF § AI tamaño y compliance normal § Edema pulmonar
INSUFICIENCIA MITRAL AGUDA Clínica § Severamente enfermo § Soplo sistólico en decrescendo, bajo tono § Signos de HTP DX § Ecocardiografía TT y TE • Severo chorro de regurgitación mitral • Causa anatómica • Guía para reparo § Coronariografía
INSUFICIENCIA MITRAL AGUDA Tratamiento • Medico • Estabilizar el paciente • Manejo de poscarga • Inotrópicos • BCIA • Cirugía • Alta mortalidad • Diferir cirugía si es x IAM