INSUFICIENCIA CARDIACA Dra Eva Acua Ch UCIMED 2012





































- Slides: 37
INSUFICIENCIA CARDIACA Dra. Eva Acuña Ch. UCIMED 2012
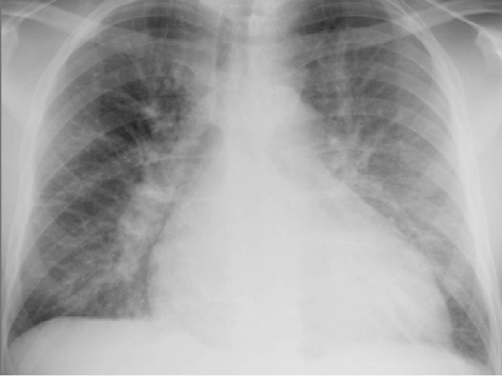
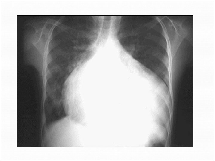
CASO CLÍNICO: Femenina, hipertensa de 68 años, con disnea de pequeños esfuerzos y fatiga. PA 180/110 mm. Hg, F. C. 126 por minuto, S 3. Soplo sistólico apical. Estertores crepitantes basales. ECG: Hipertrofia/sobrecarga sistólica VI RX: Cardiomegalia III/IV, ECOCARDIOGRAMA: Fracción de expulsión de 35%
FORMA DE INSUFICIENCIA CARDIACA TIPO DE DISFUNCIÓN VENTRICULAR CLASIFICACIÓN FUNCIONAL NYHA CRITERIOS DE FRAMINGHAM
Insuficiencia Cardiaca: DEFINICION: Es la incapacidad del corazón como bomba para satisfacer las necesidades metabólicas del organismo. • Síndrome clínico, progresivo: trastorno cardíaco estructural o funcional. Incapacidad de esta víscera para expulsar o llenarse de sangre a una velocidad congruente con las necesidades de los tejidos en pleno metabolismo.
GENERALIDADES: La primera causa de Insuficiencia cardiaca derecha es la I. C. Izquierda. La principal causa de I. C. Izquierda es la Hipertensión Arterial Sistémica (HAS) con o sin Cardiopatía Isquémica. En EU existen 5 millones de casos con IC y anualmente 500, 000 más. Predomina en > 65 años con peor pronóstico que Ca. Colon, mama y próstata
Factores que aumentan el riesgo de desarrollar Insuficiencia Cardiaca Enfermedad coronaria Antecedentes de Cardiopatía Isquémica (I. Miocardio) Hipertensión arterial e Hipertrofia del V. Izdo Valvulopatías Diabetes Mellitus Obesidad Tabaquismo Edad avanzada Alcoholismo y otras drogas (cocaína, crack) Cardiopatías congénitas
Insuficiencia Cardiaca: CLASIFICACION: 1. - Sistólica - Diastólica 2. - Gasto Disminuido – Elevado 3. - Derecha - Izquierda 4. - Aguda - Crónica 5. - Anterógrada - Retrógrada
Causas determinantes Miocardiopatías primarias Hipertrófica, dilatada, restrictiva Miocardiopatías secundarias Isquémica, infecciosa, tóxica, metabólica Sobrecarga Ventricular de Presión HTA, elongación aórtica Sobrecarga Ventricular volumen Insuficiencias valvulares, cortocircuitos Llenado Ventricular alterado Taponamiento, pericarditis constrictiva Arritmias Taquicardia, bradicardia, taquimiocardiopatía. Causas precipitantes Cardiacas Isquemia, arritmia, fármacos inotrópicos negativos Extra cardíacas Infección, anemia, incumplimiento terapéutico, fármacos, tóxicos, crisis hipertensivas
DISFUNCIÓN SISTÓLICA: Disminución de la función de bomba, o de la contractilidad del miocardio, con disminución de la fracción de expulsión (< 50%). Se ausculta un S 3. Etiología: Sobrecarga de trabajo, sea de presión o de volumen: Ejs: Cardiomiopatía dilatada, Cardiopatía Isquémica, Hipertensión, Valvulopatías.
DISFUNCIÓN DIASTÓLICA: Trastorno en la relajación con llenado anormal que produce congestión pulmonar y disminución del volumen sistólico, por ende un volumen minuto inadecuado. Se ausculta un S 4 apical. Alteración del llenado ventricular. Etiología: Hipertensión, Cardiopatía Isquémica, Cardiomiopatía Hipertrófica, Cardiomiopatía Restrictiva
Gasto Cardiaco Elevado: Tirotoxicosis Fístula AV grande Anemia Crónica Beriberi Enfermedad de Paget Sepsis • Frecuencia cardiaca elevada • Gran demanda metabólica • Se compensa al corregir la causa
Gasto Cardiaco Disminuido: Cardiopatía Isquémica Hipertensión Valvulopatías Cardiomiopatías Cardíopatías Congénitas Miopericarditis
Fisiopatología: Los principios básicos en la IC son la retención de sodio y agua con la consecuente congestión pulmonar y el edema periférico. Este aumento de retención líquida corporal es el resultado de la disfunción ventricular (bajo gasto cardiaco).
Insuficiencia Cardiaca = Síntomas Fatiga Intolerancia al ejercicio Nicturia Disnea de esfuerzos, ortopnea, DPN Palpitaciones, angina, síncope, mareos ortostáticos Extremidades frías Tos seca nocturna, hemoptisis, sibilancias, Edema agudo pulmón Dolor en Hipocond derecho, Anorexia cardiaca Depresión, disminución agudeza mental
Insuficiencia Cardiaca = Signos Cardiomegalia, ritmo de galope, soplos cardiacos, ruidos cardiacos hipofóneticos. Pulsación de vasos de cara y cuello, distención venas del cuello (I. Y) Estertores crépitantes, roncus, sibilancias, derrame pleural Náusea, anorexia Ascitis, anasarca Dolor hepático, hepatomegalia, reflujo hepato yugular. Edema periférico, postural (Fovea +) Ingurgitación facial, acrocianosis, palillos de tambor (hipocratismo digital) Intolerancia al decúbito ( ortopnea) , taquipnea.
Clasificación de la NYHA: Clase 1: Pacientes cardiópatas asintomáticos Clase 2: Síntomas con actividad física ordinaria
Clasificación de la NYHA: Clase 3: Síntomas con actividad física menor a la habitual Clase 4: Síntomas en reposo
DIGNÓSTICO CRITERIOS DE FRAMINGHAM Ø Criterios menores Ø Criterios mayores -Edemas maleolares - Disnea paroxística nocturna -Tos nocturna u ortopnea. -Disnea de esfuerzo -Ingurgitación yugular -Hepatomegalia -Reflujo hepatoyugular. -Derrame pleural -Cardiomegalia. -Capac. Vital Pulm. < 1/3. -Edema agudo de pulmón -Taquicardia > 120 -Crepitantes pulmonares. -Pérdida >4, 5 kg peso tras tto. -Galope (tercer ruido cardiaco). -Presión venosa > 16 cm de agua. -Tiempo circulatorio >25”. Diagnostico de ICC : Dos criterios mayores o uno mayor y dos menores. Los criterios menores solo se aceptan si no son atribuibles a otra causa.
Criterios de Framingham: u MAYOR o MENOR: Pérdida de peso de > 4. 5 Kg, después de 5 días de tratamiento médico DIAGNOSTICO DE I. CARDIACA: 1 Criterio Mayor y al menos 2 Menores.
Examen Físico: Ataque al estado general Disnea Cianosis periférica Presión del pulso disminuida Aumento del pulso venoso yugular Hepatomegalia, ascitis, edema Pulso alternante
Edemas bimaleolares Fovea
Examen Físico del Tórax: Desplazamiento apical por cardiomegalia Alteraciones: movimiento paradójico, doble levantamiento apical, frémito, etc. Precordio enérgico paraesternal (HAP) S 3 o galope ventricular, Soplos Derrames, estertores, respiración de Cheyne. Stokes.
ECG en I. Cardiaca: u Las arritmias ventriculares son causa de Muerte Súbita (MS) u La muerte súbita es el evento final en el 35 -50% de los pacientes con IC. u Las Arritmias Ventriculares aumentan con la disfunción ventricular izquierda u La MS es más frecuente en la IC.
Radiografía de Tórax: Hipertensión Venocapilar Pulmonar: I. - Hilios ensanchados > 15 mm II. - Moteado fino difuso, redistribución apical III. - Líneas B de Kerley, derrames cisurales IV. - Edema alveolar (alas de mariposa)
DIAGNÓSTICO: Insuficiencia Cardiaca Izquierda con G. C. ↓ por Disfunción Sistólica secundaria a Cardiopatía Hipertensiva (Disnea, FE <50%, Hipertensión). Clase III/IV NYHA (Síntomas con poca actividad) Clasificación C: (Con daño y con síntomas) Framingham: 3 Mayores (Congestión pulmonar, S 3, Cardiomegalia) y 2 Menores (Taquicardia, Disnea de esfuerzos)
CONCLUSIONES: La IC es un síndrome de diagnóstico clínico, la clasificación más importante es por tipo de disfunciòn: Sistólica/Diastólica. Se debe estratificar según NYHA y el daño estructural (ABCD). A mayor comprensión de la Etiología y Fisiopatología, el diagnóstico y el tratamiento serán más acertados.