Insuficiencia Cardaca Dr Ricardo Curc GENERALIDADES La primera

































- Slides: 33
Insuficiencia Cardíaca Dr. Ricardo Curcó
GENERALIDADES: • La primera causa de Insuficiencia cardiaca derecha es la I. C. Izquierda. • La principal causa de I. C. Izquierda es la Hipertensión Arterial Sistémica (HAS) con o sin Cardiopatía Isquémica. • En EU existen 5 millones de casos con IC y anualmente 500, 000 más. • Predomina en > 65 años con peor pronóstico que Ca. Colon, mama y próstata
Insuficiencia Cardiaca: DEFINICION: Es la incapacidad del corazón como bomba para satisfacer las necesidades metabólicas del organismo.
Insuficiencia Cardiaca: CLASIFICACION: 1. - Sistólica - Diastólica 2. - Gasto Disminuido – Elevado 3. - Derecha - Izquierda 4. - Aguda - Crónica 5. - Anterógrada - Retrógrada
DISFUNCION SISTOLICA: • Disminución de la función de bomba, con disminución de la fracción de expulsión (< 50%). • Etiología: Cardiomiopatía dilatada, Cardiopatía Isquémica, Hipertensión, Valvulopatías.
DISFUNCION DIASTOLICA: • Trastorno en la relajación con llenado anormal que produce congestión pulmonar y disminución del volumen sistólico. • Etiología: Hipertensión, Cardiopatía Isquémica, Cardiomiopatía Hipertrófica, Cardiomiopatía Restrictiva
Gasto Cardiaco Elevado: • • • Tirotoxicosis Fístula AV grande Anemia Crónica Beriberi Enfermedad de Paget Sepsis
Gasto Cardiaco Disminuido: • • • Cardiopatía Isquémica Hipertensión Valvulopatías Cardiomiopatías Cardíopatías Congénitas Miopericarditis
Fisiopatología: Los principios básicos en la IC son la retención de sodio y agua con la consecuente congestión pulmonar y el edema periférico. Este aumento de retención líquida corporal es el resultado de la disfunción ventricular (bajo gasto cardiaco).
Efectos de Angiotensina II: u Vasoconstricción de arteriolas aferentes y eferentes por influjo de calcio u Contracción mesangial con reducción de la superficie de filtración glomerular u Arritmias asociadas a hiponatremia u Reflejo central dipsogénico
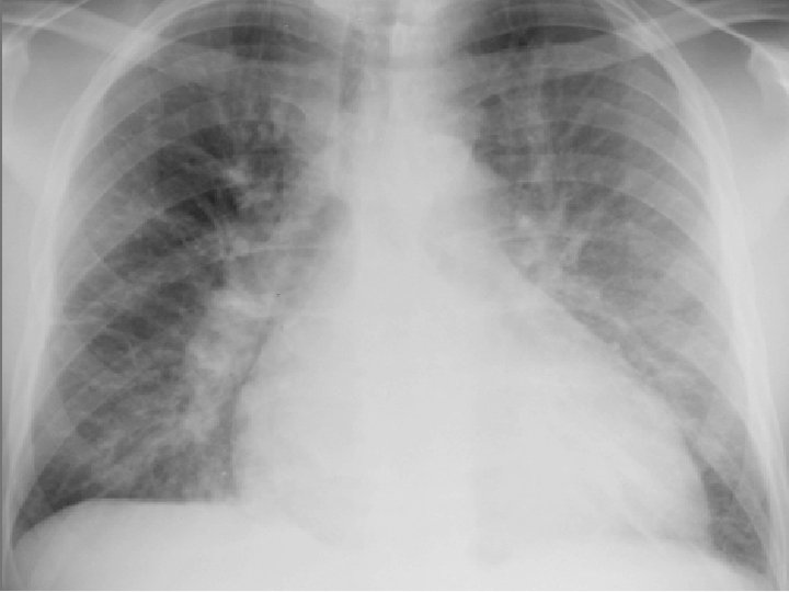
Insuficiencia C. Izquierda: • • Fatiga Intolerancia al ejercicio Nicturia Disnea de esfuerzos Palpitaciones, angina, síncope Extremidades frías Tos seca nocturna EDEMA AGUDO PULMONAR
Insuficiencia C. Derecha: • • Náusea, anorexia Ascitis, anasarca Dolor hepático de esfuerzo Edema periférico, postural Venas varicosas y pulsátiles Ingurgitación facial Pulsación de vasos de cara y cuello
Síntomas debidos a Tx. en IC • Náusea, anorexia (Digoxina) • Gota, impotencia, diabetes, debilidad hipokalémica (Tiazidas) • Hipotensión postural (Vasodilatadores) • Tos seca nocturna (Inhibidores ECA) • Cefalea y migraña (Nitratos)
Clasificación de la NYHA: • Clase 1: Pacientes cardiópatas asintomáticos • Clase 2: Síntomas con actividad física ordinaria
Clasificación de la NYHA: • Clase 3: Síntomas con actividad física menor a la habitual • Clase 4: Síntomas en reposo
Criterios de Framingham u MAYORES: Presión venosa central > 16 cm H 20 Reflujo hepato yugular Edema pulmonar agudo Disnea paroxística nocturna Ingurgitatión yugular Cardiomegalia Estertores S 3
Criterios de Framingham: u MENORES: Tos seca nocturna Capacidad Vital disminuida (1/3) Hepatomegalia Edema postural Disnea de esfuerzo Derrame pleural Taquicardia > 120 X’
Criterios de Framingham: u MAYOR o MENOR: Pérdida de peso de > 4. 5 Kg, después de 5 días de tratamiento médico DIAGNOSTICO DE I. CARDIACA: 1 Criterio Mayor y al menos 2 Menores.
Examen Físico: • • Ataque al estado general Disnea Cianosis periférica Presión del pulso disminuida Aumento del pulso venoso yugular Hepatomegalia, ascitis, edema Pulso alternante
Examen Físico del Tórax: • • • Desplazamiento apical por cardiomegalia doble levantamiento apical, frémito, etc. Precordio enérgico paraesternal (HAP) S 3 o galope ventricular, Soplos Derrames, estertores.
ECG en I. Cardiaca: u Las arritmias ventriculares son causa de Muerte Súbita (MS) u La muerte súbita es el evento final en el 35 -50% de los pacientes con IC. u Las Arritmias Ventriculares aumentan con la disfunción ventricular izquierda u La MS es más frecuente en la IC.
CONCLUSIONES: • La IC es un síndrome de diagnóstico clínico, la clasificación más importante es por tipo de disfunciòn: Sistólica/Diastólica. • Se debe estratificar según NYHA y el daño estructural (ABCD). • A mayor comprensión de la Etiología y Fisiopatología, el diagnóstico y el tratamiento serán más acertados.