InfectionTriggered Familial or Recurrent Cases of Acute Necrotizing

  • Slides: 5
Download presentation
Infection-Triggered Familial or Recurrent Cases of Acute Necrotizing Encephalopathy Caused by Mutations in a

Infection-Triggered Familial or Recurrent Cases of Acute Necrotizing Encephalopathy Caused by Mutations in a Component of the Nuclear Pore, RANBP 2 Derek E. Neilson, Mark D. Adams, Caitlin M. D. Orr, Deborah K. Schelling, Robert M. Eiben, Douglas S. Kerr, Jane Anderson, Alexander G. Bassuk, Ann M. Bye, Anne-Marie Childs, Antonia Clarke, Yanick J. Crow, Maja Di Rocco, Christian Dohna-Schwake, Gregor Dueckers, Alfonso E. Fasano, Artemis D. Gika, Dimitris Gionnis, Mark P. Gorman, Padraic J. Grattan-Smith, Annette Hackenberg, Alice Kuster, Markus G. Lentschig, Eduardo Lopez-Laso, Elysa J. Marco, Sotiria Mastroyianni, Julie Perrier, Thomas Schmitt-Mechelke, Serenella Servidei, Angeliki Skardoutsou, Peter Uldall, Marjo S. van der Knaap, Karrie C. Goglin, David L. Tefft, Cristin Aubin, Philip de Jager, David Hafler, Matthew L. Warman The American Journal of Human Genetics Volume 84 Issue 1 Pages 44 -51 (January 2009) DOI: 10. 1016/j. ajhg. 2008. 12. 009 Copyright © 2009 The American Society of Human Genetics Terms and Conditions

Figure 1 The American Journal of Human Genetics 2009 8444 -51 DOI: (10. 1016/j.

Figure 1 The American Journal of Human Genetics 2009 8444 -51 DOI: (10. 1016/j. ajhg. 2008. 12. 009) Copyright © 2009 The American Society of Human Genetics Terms and Conditions

Figure 2 The American Journal of Human Genetics 2009 8444 -51 DOI: (10. 1016/j.

Figure 2 The American Journal of Human Genetics 2009 8444 -51 DOI: (10. 1016/j. ajhg. 2008. 12. 009) Copyright © 2009 The American Society of Human Genetics Terms and Conditions

Figure 3 The American Journal of Human Genetics 2009 8444 -51 DOI: (10. 1016/j.

Figure 3 The American Journal of Human Genetics 2009 8444 -51 DOI: (10. 1016/j. ajhg. 2008. 12. 009) Copyright © 2009 The American Society of Human Genetics Terms and Conditions

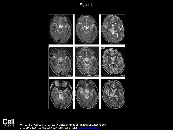
Figure 4 The American Journal of Human Genetics 2009 8444 -51 DOI: (10. 1016/j.

Figure 4 The American Journal of Human Genetics 2009 8444 -51 DOI: (10. 1016/j. ajhg. 2008. 12. 009) Copyright © 2009 The American Society of Human Genetics Terms and Conditions