INFECO MORTE CELULAR AGUDA E DESTRUIO TECIDUAL INFECO






















- Slides: 22
INFECÇÃO: MORTE CELULAR AGUDA E DESTRUIÇÃO TECIDUAL
INFECÇÃO: MORTE CELULAR AGUDA E DESTRUIÇÃO TECIDUAL Este grande grupo de processos infecciosos está associado, principalmente, com bactérias que se reproduzem extracelularmente. Como resultado do crescimento bacteriano, combinações que destroem as células e o tecido ou que estimulam a resposta inflamatória aguda causam uma reação histológica que é destrutiva. Embora as bactérias são os agentes etiológicos primários aqui, é importante reconhecer outros tipos de agentes infecciosos, como vírus, que também podem causar uma resposta inflamatória aguda. Os tipos de necrose tecidual são variáveis, dependendo do caminho patogênico que se segue.
INFECÇÃO: MORTE CELULAR AGUDA E DESTRUIÇÃO TECIDUAL Inflamação piogênica: A resposta mais comum para este grupo de patógenos é a geração de uma intensa resposta inflamatória aguda que resulta na formação de pus Pus é um exsudato amarelo-verde grosso composto de polimornucleares - neutrófilos, macrófagos, fluido proteináceo e fragmentos bacterianos ou fúngicos. Pus é essencialmente a resposta inflamatória aguda, como o produzido por um corte superficial ou abrasão, levado ao extremo. A diferença entre um dano não-infeccioso agudo e uma infecção bacteriana é a presença de dano auto-reprodutível no processo infeccioso.
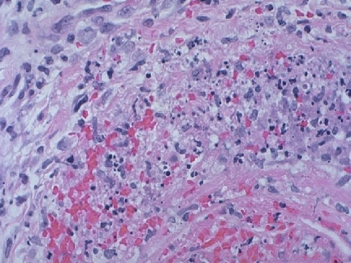
INFECÇÃO: MORTE CELULAR AGUDA E DESTRUIÇÃO TECIDUAL Muitas bactérias produzem toxinas ou enzimas que danificam as células e os tecidos. As enzimas incluem proteases, elastases, colagenases e várias citotoxinas. As próprias bactérias e as células lesadas liberam substâncias quimiotáticas que atraem neutrófilos - polimorfonucleares para o tecido inflamado. Ativação da cascata do sistema complemento através de endotoxinas bacterianas é um gerador potente da inflamação tecidual aguda. Uma vez que os neutrófilos entram no tecido, eles também contribuem para o dano do tecido porque eles produzem proteases adicionais na tentativa de destruir os invasores bacterianos. Caso ilustrativo: meningite por Streptococcus agalactiae (Group B beta hemolytic streptococcus)
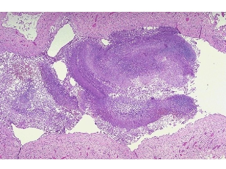
INFECÇÃO: MORTE CELULAR AGUDA E DESTRUIÇÃO TECIDUAL A combinação da replicação bacteriana e destruição tecidual pode resultar em um processo necrotizante e conseqüente formação de um abscesso. Abscesso é importante por diversos fatores na resposta tecidual contra agentes infecciosos: 1) antibióticos penetram pobremente no centro de um abscesso, de forma que eles são menos efetivo na eliminação do agente estimulante. 2) Ambos, antibióticos e também neutrófilos, funcionam menos no ambiente anaeróbio e ácido de um abscesso o que eles fazem melhor dentro de tecidos mais neutros e oxigenados e viáveis. 3) destruição da rede de suporte normal dos órgão significa que se eventualmente ocorrer a cura, será acompanhada, mais provavelmente, por perda permanente da função do tecido e então alguma perda da função fisiológica. O tecido cicatricial é mais provável resultar após a formação de um abscesso.
INFECÇÃO: MORTE CELULAR AGUDA E DESTRUIÇÃO TECIDUAL Alguns dos patógenos bacterianos importantes que produzem uma resposta piogênica incluem: - Estafilococos - Estreptococos e enterococos - Enterobacteriaceae (E. coli, Klebsiella, Enterobacter, etc. ) - Pseudomonas
INFECÇÃO: MORTE CELULAR AGUDA E DESTRUIÇÃO TECIDUAL Necrose coagulativa: Algumas bactérias e fungos mostram o seu efeito patogênico em todo ou em parte através de lesão dos vasos sanguíneos. Nestes exemplos, o efeito nos tecidos é dominado pela isquemia e a aparência do tecido lesionado é primariamente a de um infarto. Se as bactérias se multiplicarem no tecido isquemico, um processo purulento pode ser sobreposto na necrose coagulativa, processo conhecido como infarto séptico.
INFECÇÃO: MORTE CELULAR AGUDA E DESTRUIÇÃO TECIDUAL Necrose coagulativa Exemplo clássico deste tipo de processo é a inflamação dos pequenos vasos sanguíneos (vasculite) produzida pela Neisseria meningitidis (meningococcus). Lipopolissacarides na parede da célula bacteriana pode ativar a cascata da coagulação, resultando em trombose. Adicionalmente, as bactérias são levadas pelas células endoteliais para os pequenos vasos que são lesados pelas bactérias conduzindo a trombose local. O resultado final é a necrose do tecido e hemorragia através dos vasos sanguíneos enfraquecidos. Caso ilustrativo: Meningococemia em uma criança.
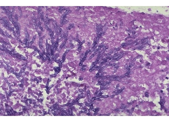
INFECÇÃO: MORTE CELULAR AGUDA E DESTRUIÇÃO TECIDUAL Necrose coagulativa Um segundo exemplo é a invasão dos vasos sanguíneos (angioinvasão) por certos tipos de fungos filamentosos. Estes fungos patógenos são relativamente de baixa virulência e ordinariamente não infectam as pessoas normais, mas podem produzir infecção letal nos imunossuprimidos. Os fungos mais comum que produzem esta resposta são Aspergillus fumigatus e o zygomycetes. Caso ilustrativo: Doença pulmonar invasiva secundária a Aspergillus fumigatus.
INFECÇÃO: MORTE CELULAR AGUDA E DESTRUIÇÃO TECIDUAL Complexidades e Exceções: Também é provável que algumas infecções viróticas que causam destruição lítica da célula infectada gerem uma resposta inflamatória aguda. Um exemplo bom de tal infecção lítica é a pneumonia produzida pelo vírus herpes simples ou adenovirus. A resposta histológica para estas infecções, oposta a raiva, é a inflamação aguda. Em várias ocasiões a etiologia destas pneumonias foi designada incorretamente a uma bactéria desconhecida, porque foi assumido que uma resposta inflamatória purulenta não pôde ser o resultado de uma infecção VIRÓTICA. A intensidade da inflamação e a extensão da destruição do tecido normalmente é menos em infecções viróticas que em infecções bacterianas. Abscessos não acontecem em infecção virótica.