IN THE NAME OF GOD EXTRACTION OF FIRST
































- Slides: 32
IN THE NAME OF GOD EXTRACTION OF FIRST PERMANENT MOLARS Dr: Nahvi
� THE EFFECT OF LOSS OF THE FIRST PERMANENT MOLAR � Diminished local function � Drifting of teeth � Continued eruption of opposing teeth � Midline deviation � Increasing overbite Shaheed Beheshti University of Dental Journal
FACTORS TO CONSIDER WHEN PLANNING EXTRACTION OF FIRST PERMANENT MOLARS �the restorative state of the tooth �presence and condition of the other teeth � dental age of the patient �the occlusal relationship Dental update 2001
the restorative state of the tooth
presence and condition of the other teeth • If any are absent, extraction of the first permanent molar in that quadrant should be avoided. � The absence of third molars does not generally contraindicate the extraction of FPMs. However, the presence of mesially directed forces from developing third molars may aid space closure. Dental update 2001
presence the other teeth(same quadrant) No yes
dental age of the patient � Ideal time to extract first molar is 8. 5 -10 years � Earlier extraction : second premolar have a tendency to drift distally � Delayed extraction : the second molars will show less bodily movement and more tilting Journal of dentitry Tehran university of medical sciences 2002
Mcdonald 2011
A greater degree of movement will occur in children in the 8. 5 to 10 year age group radiographic evidence of early dentine calcification within the second molar root bifurcation Journal of dentitry Tehran university of medical sciences 2002
Dental calcification stages(Nolla)
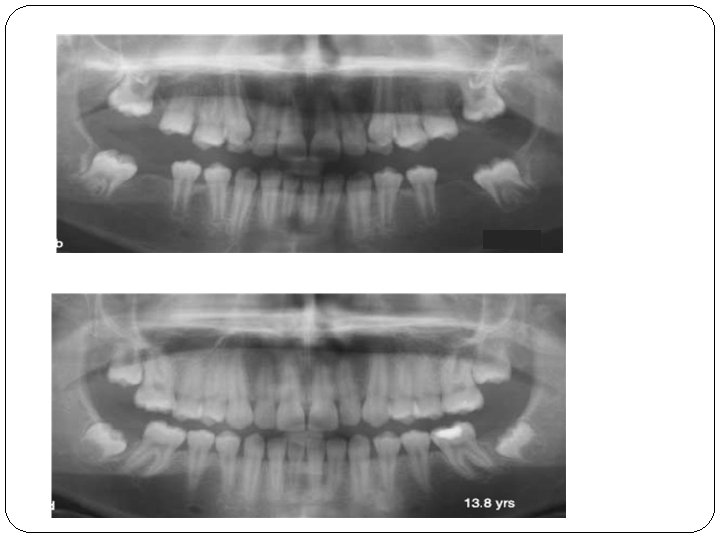
Radiographs taken at 6 -month intervals after the loss of a maxillary first molar Mcdonald 2011
After extraction of the mandibular primary teeth and first permanent molars 3. 2 years after extraction of the first permanent molars
dental age of the patient In maxilla Permane nt dentition 7 -11. 5 dental age of the patient in mandible other s 8. 510
The occlusal relationship �class I �with labial segment crowding �with buccal segment crowding Dental update 2001
�class II division 1 �class II division II �extractions in the lower arch should be avoided if at all possible in deep bite cases �class III Dental update 2001
class II division class I 1 mandibl e maxilla labial segment crowding class II division II mandible maxilla buccal segment crowding class III mandil e maxilla
Ideal condition �presence and condition of the other teeth �class I �with buccal segment crowding �In children in the 8. 5 to 10 year age group
Balancing and compensating extractions Compensating involves extraction of an antagonistic molar to prevent its overeruption of the upper FPM can prevent mesial migration of the mandibular second permanent molar. Balancing involves removal of a contralateral tooth, which needn’t necessarily be a FPM, to preserve the dental midline. Dental update 2001
One carious first permanent molar BRITISH DENTAL JOURNAL 2001
One carious first permanent molar (Upper) mandibl e maxilla One carious first permanent molar (lower) mandibl e maxilla
Two carious first permanent molars BRITISH DENTAL JOURNAL 2001
Two carious first permanent molars (lowers) Two carious first permanent molars (uppers) mandible maxilla One upper and one lower(different sides) mandibl e maxill a maxilla
Three carious first permanent molars BRITISH DENTAL JOURNAL 2001
Three carious first permanent molars Maxilla and mandible
Prevalence of Loss of Permanent First Molars in a Group of Romanian Children and Adolescents �Anca Maria Rãducanu, Victor Feraru Distribution of loss of permanent first molars by quadrant. OHDMBSC, 2009
Effects of early loss of permanent first molars on the development of third molars �Panoramic radiographs and dental casts of 165 adolescent patients (103 boys, 62 girls) with unilateral early loss of a permanent first molar were used to assess the developmental stages of the third molars. The formation stages of third molars on the extraction sides were evaluated, and the formative conditions of the contralateral teeth were used as controls. Early loss of the permanent first molars might have an accelerating effect on the development of the third molar on the extraction side compared with the contralateral teeth. Therefore, emergence of the third molars on the extraction side might be hastened, and these teeth might erupt earlier than the contralateral teeth.
Evaluation of spontaneous space closure and development of permanent dentition after extraction of hypomineralized permanent first molars BIRGITTA JÄLEVIK & MARIE MÖLLER Twenty-seven children who had one to four permanent first molars extracted due to severe MIH. Each case was followed up on individual indications 3. 8– 8. 3 (median 5. 7) years after extractions. The eruption of the permanent dentition, and space closure were documented by orthopantomograms, casts, photographs, and/or bitewings. Fifteen children were judged to have a favourable spontaneous development of their permanent dentition without any orthodontic intervention. Seven children were or should be subjected to orthodontic treatment for other reasons registered prior to the extraction. Five International children were Journal judged of to Paediatric have a treatment at least caused by 2007 the extractions, but three of them Dentistry
7. 7 8. 8 7, 7 10. 2 13. 8 International Journal of Paediatric
Thank You