IN THE NAME OF GOD Case report 35

  • Slides: 21
Download presentation
IN THE NAME OF GOD

IN THE NAME OF GOD

Case report 35 years old G 2 L 2 C/S Last delivery: 93/7/16 At

Case report 35 years old G 2 L 2 C/S Last delivery: 93/7/16 At 16 w of last pregnancy complex ovarian cysts were found as an accidental founding There was no treatment untile she was terminated left cystectmy &Right salpangoophorectomy was performed during c/s High grade papillary serous carcinoma

93/8/19 CA 125: 3315 CA 19 -9: 68. 29 There was left ovarian mass

93/8/19 CA 125: 3315 CA 19 -9: 68. 29 There was left ovarian mass &seeding of tumor to abdominal wall , bowel, anterior wall of rectom TAH &BSO&OMENTECTOMY& EXISION of SEEDING was performed

Figure 2 (A–C) Left ovary showing areas of invasive mucinous carcinoma Seminars in Oncology

Figure 2 (A–C) Left ovary showing areas of invasive mucinous carcinoma Seminars in Oncology 2010 37, 314 -320 DOI: (10. 1053/j. seminoncol. 2010. 06. 013) Copyright © 2010 Elsevier Inc. Terms and Conditions

Figure 1 Left ovary showing areas of mucinous carcinoma of low malignant potential. Seminars

Figure 1 Left ovary showing areas of mucinous carcinoma of low malignant potential. Seminars in Oncology 2010 37, 314 -320 DOI: (10. 1053/j. seminoncol. 2010. 06. 013) Copyright © 2010 Elsevier Inc. Terms and Conditions

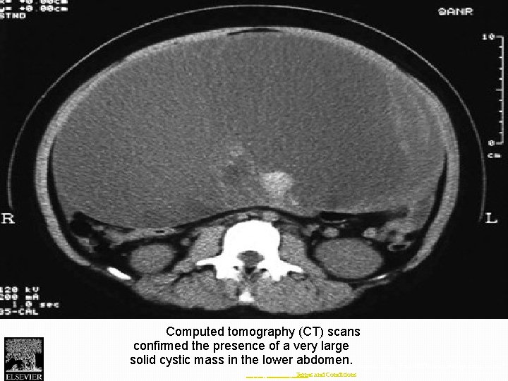
Fig. 1 Computed tomography (CT) scans confirmed the presence of a very large solid

Fig. 1 Computed tomography (CT) scans confirmed the presence of a very large solid cystic mass in the lower abdomen. Journal of Pediatric Surgery Case Reports 2013 1, 174 -176 DOI: (10. 1016/j. epsc. 2013. 05. 010) Copyright © 2013 Terms and Conditions

Mucinous cystadenocarcinoma; Unilateral multilocular ovarian mass with solid portion (arrow). T 2 -weighted axial

Mucinous cystadenocarcinoma; Unilateral multilocular ovarian mass with solid portion (arrow). T 2 -weighted axial sequence (a)

T 1 -weighted axial sequence (b),

T 1 -weighted axial sequence (b),

diffusion-weighted axial sequence b 1000 (c),

diffusion-weighted axial sequence b 1000 (c),

T 1 -weighted fat sat axial sequence after gadolinium injection (d).

T 1 -weighted fat sat axial sequence after gadolinium injection (d).

Macroscopic view (e) of the ovarian mass: multilocular cystic tumor with solid component (arrow

Macroscopic view (e) of the ovarian mass: multilocular cystic tumor with solid component (arrow

 Histological appearance x 10 magnification (f): tumor proliferation with stromal invasion and cytonuclear

Histological appearance x 10 magnification (f): tumor proliferation with stromal invasion and cytonuclear atypia