Imunidade e imunopatologia nas doenas infecciosas Hiro Goto























































- Slides: 55
Imunidade e imunopatologia nas doenças infecciosas Hiro Goto Laboratório de Soroepidemiologia e Imunobiologia do Instituto de Medicina Tropical de São Paulo Departamento de Medicina Preventiva da FMUSP
Nas infecções, a doença se manifesta por falha na resposta imune? Como o microrganismo sobrevive na presença de resposta imune? A resposta imune só atua na proteção? A resposta imune pode ser responsável pelas manifestações patológicas nas infecções?
Alguns patógenos causadores de doenças no homem
IMUNIDADE INATA Primeira linha de defesa contra organismos patogênicos
IMUNIDADE INATA: BARREIRAS NATURAIS Área da pele: 2 metros quadrados Massa de microrganismos no intestino: 2 - 3 quilos
IMUNIDADE INATA: INTERAÇÕES MOLECULARES vesículas toxinas Bactérias extracelulares Interação com NLR
RESPOSTA INATA: EFEITOS • Inicia o burst oxidativo • Produção de pepetídeos antimicrobianos • Produção de citocinas pró-inflamatórias que alertam outras células para a infecção • Recrutamento de outras células • Induz resposta sistêmica como febre • Ativação do sistema complemento • Resposta inata e a presença do antígeno leva à indução da resposta imune adaptativa
IMUNIDADE ADAPTATIVA NA AÇÃO ANTIMICROBIANA A regra não é absoluta
IMUNIDADE ADAPTATIVA: MEMÓRIA IMUNOLÓGICA
RESPOSTA IMUNE PRIMÁRIA E SECUNDÁRIA Na resposta secundária ocorre: • Aumento da quantidade • Melhora na qualidade (maturação da afinidade) • Mudança de isótipo (Ig. M para Ig. G, Ig. M para Ig. A, Ig. M para Ig. E, etc. )
IMUNOPATOLOGIA Resposta imune leva a lesões Hipersensibilidade = resposta imune que leva a lesão tecidual
Hipersensibilidade Tipo II Tipo I anticorpos Ig. G ou Ig. M anticorpos Ig. E alérgeno fagocitos celula K mastócito enzimas Fce R lesao anticorpos Ig. G Tipo III lesao ADCC mediadores Mf Ag membrana MAC C 3 b Fc. R CR lesao complemento imunocomplexos soluveis PMN citocinas Ba aminas vasoativas Fc. R C 3 a. C 5 a complemento enzimas plaquetas
Hipersensibilidade tipo IV linfocitos T CD 4+ ou CD 8+ APC T citotóxico CTL citocinas enzimas Mf perforina Inflamação quimiocinas
IMUNIDADE A BACTÉRIAS EXTRACELULARES
IMUNIDADE A BACTÉRIAS EXTRACELULARES Imunidade resultando em cura Pneumonia por Streptococcus pneumoniae Cura quando o anticorpo antipolissacarídeo da cápsula da bactéria atinge níveis elevados Imunidade resultando em lesão a distância Faringite ou impetigo por Streptococcus beta- hemoítico nefritogênico Indução de glomerulonefrite difusa aguda
IMUNIDADE A BACTÉRIAS INTRACELULARES
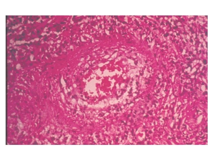
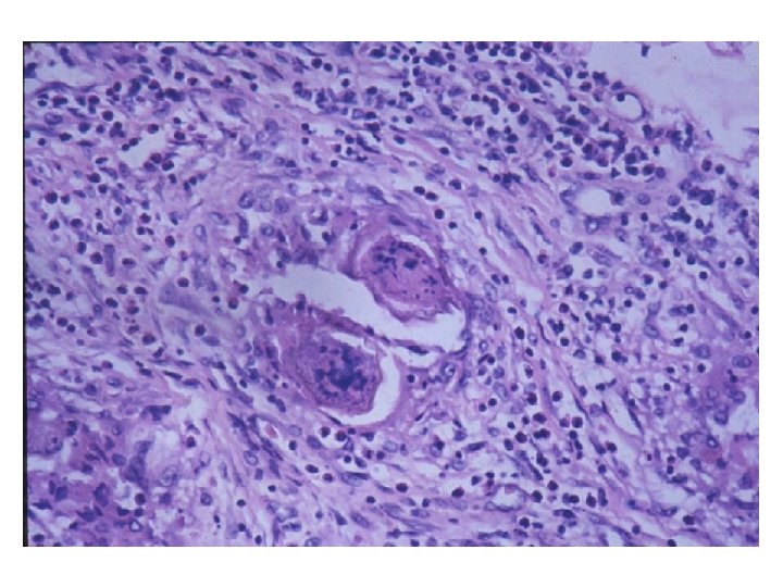
IMUNIDADE A BACTÉRIAS INTRACELULARES Imunidade resultando em cura Mycobacterium tuberculosis Rx de tórax mostrando calcificação no hilo pulmonar esquerdo após cura da tuberculose primária Alteração da resposta imune resultando em lesão Mycobacterium leprae pólo tuberculóide pólo lepromatoso M. tuberculosis Granuloma pulmonar
IMUNIDADE A VÍRUS
IMUNIDADE A VÍRUS
IMUNIDADE A VÍRUS Imunidade resultando em cura Sarampo Primeira infecção Existe segundo episódio de sarampo?
IMUNIDADE A VÍRUS Alteração da resposta imune resultando em manifestação patológica - AIDS
IMUNIDADE A FUNGOS
IMUNIDADE A FUNGOS Imunidade e tratamento resultando em cura Alteração da resposta imune resultando em lesão Paracoccidioides brasiliensis
IMUNIDADE A PARASITOS PECULARIEDADE DA INFECÇÃO POR PARASITOS Tempo de replicação relativamente longo Necessidade de permanência de maior tempo do parasito dentro do hospedeiro para possibilitar a transmissão Evasão do parasito Modulação da resposta imune do hospedeiro
Sistema imune reconhece o parasito? Schistosoma spp • Vermes não se multiplicam no hospedeiro • Ovos – produção • Ovos nos tecidos patologia
üPresença de várias espécies numa mesma área üCiclo eritrocítico – 48 – 72 h (1 32) • • • Encobrimento de imunógeno importante na superfície de esporozoito por CSP Escape para dentro de hemácias (não expressa MHC) Diferentes antígenos para diferentes fases do ciclo Defeito na apresentação de antígeno Imunossupressão
Trypanosoma brucei Anticorpos não são eficientes?
Trypanosoma cruzi
Formas clínicas de leishmanioses Leishmaniose visceral Leishmaniose cutânea Leishmaniose mucocutânea
Burst oxidativo Lise Evasão
Suscetibilidade
PECULIARIDADE DA INFECÇÃO POR PARASITOS Tempo de replicação relativamente longo Evasão do parasito Modulação da resposta imune do hospedeiro Consegue permanência por tempo maior do parasito dentro do hospedeiro Resposta imune mantém-se ativa Lesões são provocadas pela resposta imune
Nas doenças infecciosas humanas muitas lesões ocorrem por mecanismos de hipersensibilidade