IMAGING OF HEAD TRAUMA dr Sianny Suryawati Sp














































































- Slides: 78
IMAGING OF HEAD TRAUMA dr. Sianny Suryawati, Sp. Rad Departemen Radiologi Fakultas Kedokteran Universitas Wijaya Kusuma Surabaya
GARIS BESAR n Indikasi klinis untuk pemeriksaan imaging n Teknik imaging n Perdarahan extraaxial n Jejas intraaxial n Herniasi otak n Fraktur skull
PENDAHULUAN n Trauma kepala merupakan penyebab utama kematian pada usia < 30 tahun n Frekuensi cedera kepala pada pria 2 -3 x wanita n Terutama akibat kecelakaan sepeda motor
Klasifikasi TBI (Traumatic Brain Injury) n Primer n Injury to scalp, skull fracture n Surface contusion/laceration n Intracranial hematoma n Diffuse axonal injury, diffuse vascular injury n Sekunder n Hypoxia-ischemia, swelling/edema, raised intracranial pressure n Meningitis/abscess
TEKNIK IMAGING n Adanya fraktur skull meningkatkan resiko adanya lesi intrakranial posttraumatic n Namun, ketiadaan fraktur skull tidak menyingkirkan suatu brain injury, dan hal ini terutama benar pada penderita anak-anak karena kapasitas skull untuk meregang n TIDAK ADA PERAN FOTO POLOS PADA TRAUMA KEPALA AKUT
TEKNIK IMAGING n CT tanpa kontras merupakan modalitas pilihan pada trauma akut (cepat, tersedia luas, sensitif terhadap perdarahan subarachnoid akut dan fraktur skull) n MRI berguna pada trauma kepala non-akut (sensitivitas lebih tinggi daripada CT untuk cortical contusions, diffuse axonal injury, abnormalitas fossa posterior)
PROTOKOL CT n “RUTIN”: fossa posterior dan regio supratentorial (ketebalan irisan= 5 mm) n “TRAUMA”: fossa posterior (2. 5 mm), regio supratentorial (5 mm) n “TEMPORAL BONE”: <1 mm pada irisan axial atau coronal n “ORBITS/FACIAL BONES”: 1. 25 mm axial/coronal orbits
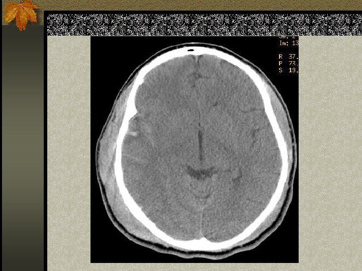
PENDEKATAN PADA CT OTAK n Lihat pada scout film: adakah fraktur pada n n n upper cervical spine atau skull Lihat adakah asimetri otak Lihat pada sulci, Sylvian fissure dan cisterns untuk menyingkirkan perdarahan subarachnoid Ubah kondisi untuk menilai subdural collection Lihat pada kondisi tulang untuk fraktur Tentukan lesi tersebut intraaxial (di dalam otak) atau extraaxial (di luar otak)
SCALP INJURY
SCALP INJURY n Cephalohematoma: darah di antara tulang dan periosteum. Tidak dapat melewati garis sutura. n Subgaleal hematoma: darah di antara tulang periosteum dan aponeurosis. Dapat melewati garis sutura. n Caput Succ: pembengkakan melewati garis tengah dengan scalp moulding. Menghilang spontan.
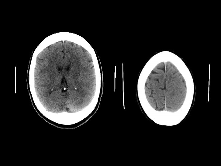
Kumpulan cairan ekstraaksial n Subarachnoid hemorrhage(SAH) n Subdural hematoma(SDH) n Epidural hematoma n Subdural hygroma n Intraventricular hemorrhage
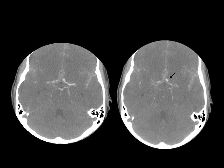
Subarachnoid hemorrage n Dapat timbul dari jejas langsung ke pembuluh darah, contused cortex atau perdarahan intraventricular n Lihat pada sisterna interpeduncular dan fisura Sylvii n Biasanya focal (namun dapat difus kalau berasal dari aneurisma) n Dapat menyebabkan communicating hydrocephalus
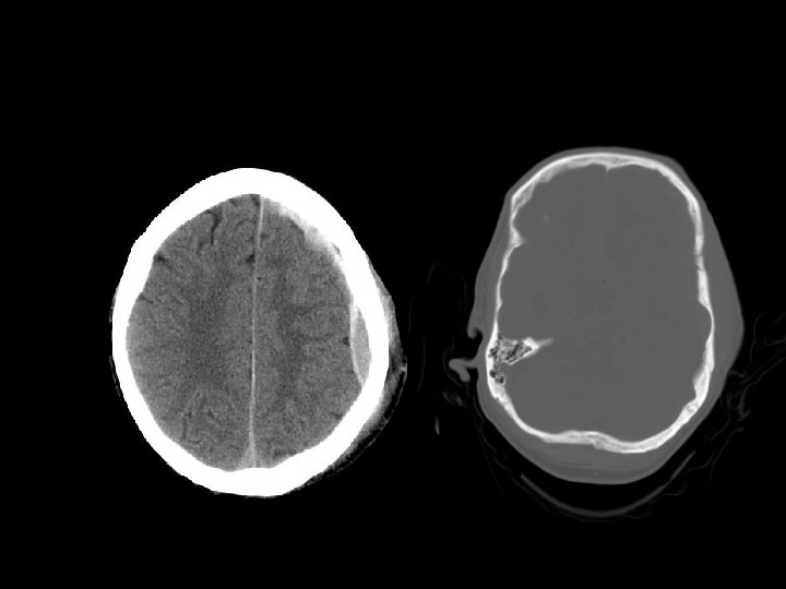
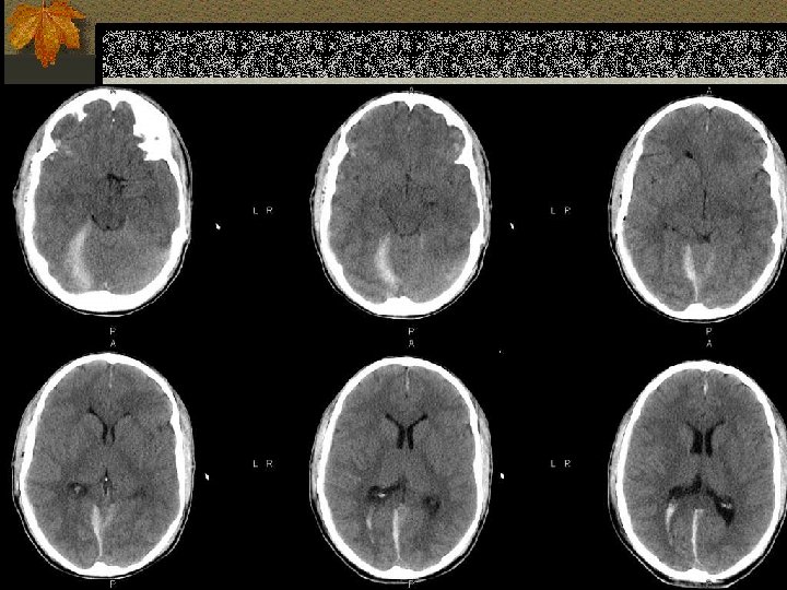
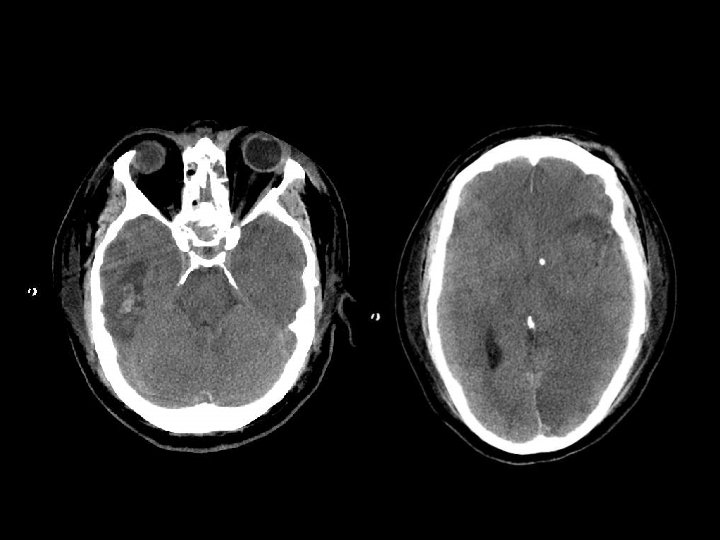
SUBDURAL HEMATOMA n Timbul antara dura dan arachnoid n Dapat melewati sutura n Timbul akibat disrupsi bridging cortical veins n Bentuk konkaf n Hipodens(hiperakut, kronis), isodens(subakut), hiperdens(akut)
W=33 L=41
PENANGANAN SDH n SDH akut dengan ketebalan > 10 mm atau pergeseran midline > 5 mm harus dievakuasi n Pasien yang koma dengan penurunan GCS >2 poin dengan SDH harus menjalani operasi evakuasi
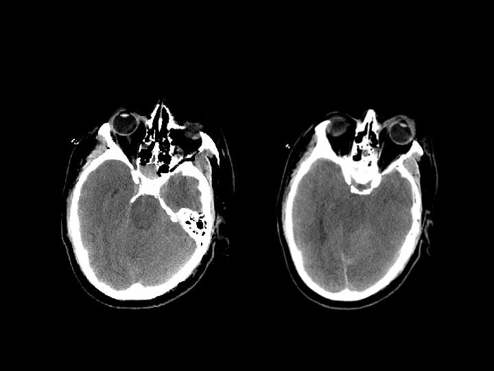
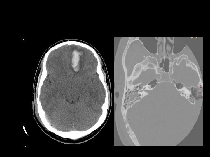
EPIDURAL HEMATOMA n Berlokasi antara skull dan periosteum n Akibat laserasi arteri meningea media atau vena dural n Dibatasi oleh sutura n Bentuk lentiform / bikonveks
PENANGANAN EDH n EDH > 30 cm 3 harus dievakuasi n EDH < 30 cm 3 dan ketebalan <15 mm dan pergeseran midline < 5 mm dan GCS >8 dapat diobservasi dengan serial CT
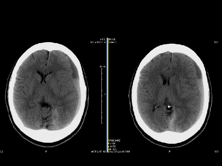
Perdarahan Intraventricular n Paling sering akibat ruptur pembuluh darah subependymal n Dapat timbul akibat refluks dari SAH atau perluasan dari perdarahan intraserebral n Lihat adanya blood-cerebrospinal fluid level di occipital horns
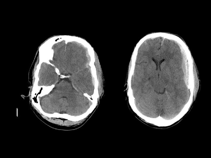
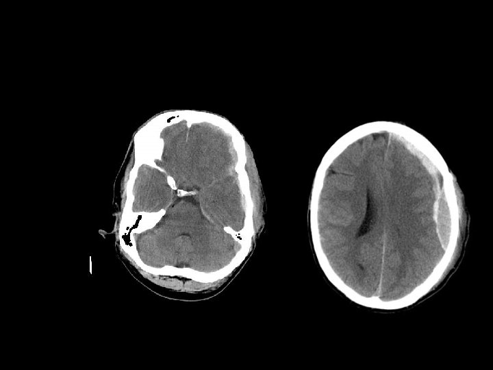
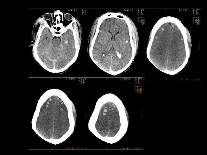
INTRA-AXIAL INJURY n Surface contusion/laceration n Intraparenchymal hematoma n White matter shearing injury/diffuse axonal injury n Post-traumatic infarction n Brainstem injury
CONTUSION/LACERATIONS n Sumber tersering SAH traumatik n Contusion : harus melibatkan superficial gray n n matter Laceration: contusion + robekan piaarachnoid Mempengaruhi the crests of gyri Perdarahan dijumpai pada 50% kasus dan timbul pada sudut yang tepat terhadap permukaan kortikal Terletak dekat kontur tulang yang ireguler : poles of frontal lobes, temporal lobes, inferior cerebellar hemispheres
Intraparenchymal hematoma n Kumpulan darah fokal yang tersering timbul dari shear-strain injury pada pembuluh darah intraparenkim n Umumnya berlokasi pd frontotemporal white matter atau basal ganglia n Hematoma di dalam parenkim otak yang normal n DDx: DAI, hemorrhagic contusion
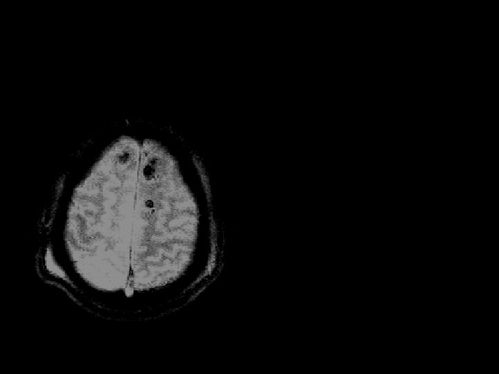
DIFFUSE AXONAL INJURY n Jarang terdeteksi pada CT ( 20% dari lesi DAI berupa perdarahan) n MRI: T 1, T 2 GRE, SWI
DAI n Akibat akselerasi / deselerasi terhadap white matter + hipoksia n Patients have severe LOC at impact n Grade 1: kerusakan axonal pada WM saja -67% n Grade 2: WM + corpus callosum (posterior > anterior) – 21% n Grade 3: WM + CC + brainstem
DAI n Beberapa jam : n Perdarahan dan robekan jaringan n Axonal swellings n Axonal bulbs n Beberapa hari/minggu : clusters of microglia and macrophages, astrocytosis n Beberapa bulan/tahun : Wallerian degeneration
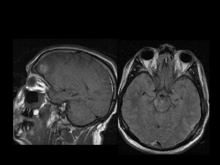
Sagittal T 1 -W images
Axial FLAIR images
AXIAL FLAIR
AXIAL T 2 GRADIENT-ECHO
BRAINSTEM INJURY n Akibat direct or indirect forces n Paling sering dihubungkan dengan DAI n Melibatkan dorsolateral midbrain dan upper pons dan biasanya hemorrhagic n Duret hemorrhage merupakan contoh indirect damage: tearing of the pontine perforators menyebabkan perdarahan pada herniasi transtentorial n <20% lesi batang otak terlihat pada CT
HERNIASI OTAK
HERNIASI SUBFALCIAL n Subfalcial: pergeseran girus cingulatum di bawah tepi bebas falx bersama dengan arteri pericallosal. n Dapat menimbulkan infark arteri serebri anterior
HERNIASI UNCAL n Pergeseran medial lobus temporal melalui n n n tentorial notch Pergeseran midbrain Effacement of the suprasellar cistern Pergeseran pedunculus cerebri kontralateral terhadap tentorium Pelebaran ipsilateral cerebello pontine angle Penekanan arteri serebri posterior
DOWNWARD HERNIATION n Caudal displacement of the thalamus and midbrain n Effacement of the perimensencephalic cistern and 4 th ventricle. n Dapat menyebabkan palsi N. III dan merusak pembuluh darah pons yang bisa menyebabkan perdarahan batang otak
UPWARD HERNIATION n Akibat massa fossa yang menyebabkan pergeseran vermis ke superior displacement of the vermis melalui tentorial incisura n Penekanan ventrikel IV dan effacement of the quadrigeminal plate cistern. n Kompresi arteri cerebellar superior
TONSILLAR HERNIATION n Pergeseran tonsil serebelli ke inferior melalui foramen magnum n Dapat menyebabkan infark arteri serebelli posterior
EXTERNAL HERNIATION n Akibat defek pada skull dengan kombinasi peningkatan tekanan intrakranial n Obstruksi vena dapat timbul pada tepi defek
SIGNIFICANT SKULL FRACTURES n “Depressed”: tabula interna tertekan melebihi ketebalan skull n Overlie major venous sinus, motor cortex, middle meningeal artery n Melewati sinus-sinus n Lihatlah sutural diastasis (lambdoid)
FRAKTUR OS TEMPORAL n Lihat opasifikasi mastoid n Longitudinal: 70%, parallel to long axis of petrous bone, conductive hearing loss (from ossicular dislocation), facial nerve paralysis (20%) n Transverse: 20%, sensorineural hearing loss, facial nerve paralysis (50%) n Kompleks n Komplikasi : meningitis, abscess
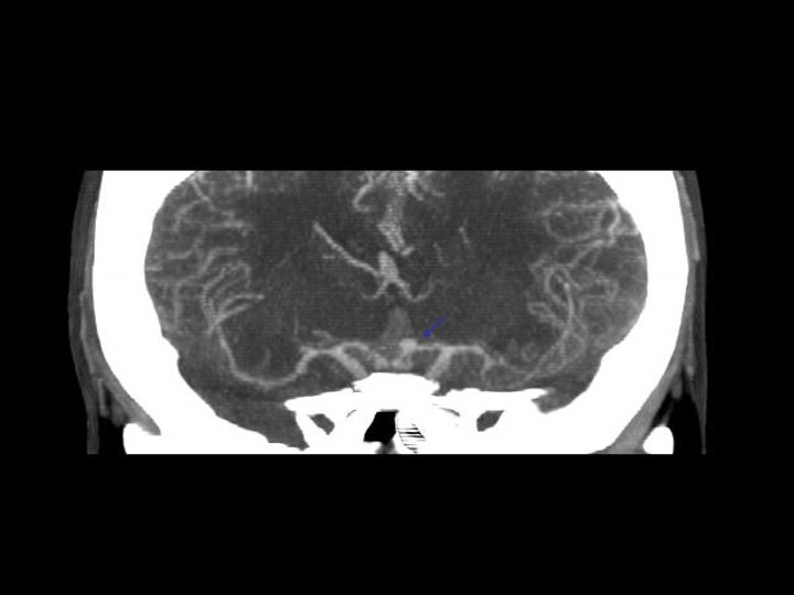
POST TRAUMATIC SEQUELAE n Carotid-cavernous fistula(CCF) n Dissection/pseudoaneurysm n Infarction n Atrophy/encephalomalacia n Infection n Leptomeningeal cyst