IMAGERIE DE LA CHEVILLE ET DU PIED Dr









































- Slides: 41
IMAGERIE DE LA CHEVILLE ET DU PIED Dr X. NICOLAY ALÈS
PATHOLOGIES n Les lésions ligamentaires : n n n Lésions fraîches du LCL Les complications des lésions du LCL Lésions de la syndesmose tibio-fibulaire Lésions du ligament collatéral médial (LCM) Entorses du médio-pied Les lésions tendineuses : n n Le tendon calcanéen (tendon d’ACHILLE) Les tendinopathies du tibial postérieur Les tendinopathie des fibulaires Les tendinopathies du long fléchisseur de l’hallux
PATHOLOGIES n Les lésions osseuses : n n n Lésions ostéchondrale du dome talien Fractures et fractures parcellaires Pathologie du tubercule postéro-latéral du talus Fractures de contrainte (de fatigue) Ostéophytose tibio-talienne antérieure (cheville dégénerative) Lésions de l’aponévrose plantaire superficielle : n n n Enthésopathie Myoaponévrosite Rupture
Radiographie conventionnelle n Trop souvent systématique n Critères cliniques d’ Ottawa permettent de réduire les prescriptions de 30 à 50% n différencient les douleurs n n du tarse radiographie du pied n de la cheville radiographie de la cheville
Critères d’OTTAWA n Sujet 18 ans à 60 ans. n Impossibilité de faire deux double pas dans la salle d’urgence. n Présence d’une douleur élective localisée : n n Versant postérieur ou pointe de malléole externe = Rx cheville Versant médial du naviculaire ou base du 5 ème métatarsien = Rx pied
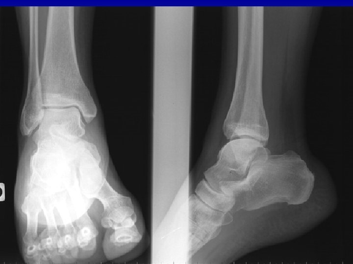
Cheville : quels clichés standard ? n Bilan radiologique: 3 incidences n « face + profil classique » (comparatif chez enfant). n « face rotation interne 20 ° » = incidence de mortaise: malléoles dans le plan frontal, visualise le dôme du talus, recherche de diastasis bimalléolaire (lésion tibio-fibulaire inférieure). n But de l’imagerie à ce stade: Diagnostiquer ou Eliminer une fracture n Recher une lésion associée n
Entorse grave de l’articulation de Lisfranc Fracture de Maisonneuve Fracture de la base du 5ème métatarse
Entorse récente : clichés dynamiques n Méconnaissance d’une entorse grave sur 2. n Risque d’aggravation des lésions de gravité moyenne. ÇA FAIT MAL ! pas d’indication en urgence
ECHOGRAPHIE Entorse récente du LCL : FA Entorse du TAFA : interruption et rétraction extrémité fibulaire
Entorse récente du LCL : FC Entorse du FC : ligt bépaissi, hypoéchogéne, épaississement des tendons fibulaires
IRM Contusion astragalienne après entorse de la cheville, expliquant les douleurs persistanates à 2 mois et demi
Plan n Les lésions ligamentaires : n n n Lésions fraîches du LCL Les complications des lésions du LCL: INSTABILITÉ Lésions de la syndesmose tibio-fibulaire Lésions du ligament collatéral médial Entorses du médio-pied Les lésions tendineuses : n n Le tendon calcanéen Les tendinopathies du tibial postérieur Les tendinopathie des fibulaires Les tendinopathies du long fléchisseur de l’hallux
Laxité talo-crurale : Épreuves dynamiques Comparatifs +++ n Bâillement tibio-talien latéral (par rapport au côté sain, FA et FC): n >5° = rupture du FA n >10°= rupture FA + FC (Δa : 3°) n n Tiroir antérieur( FA ++): n >5 mm = signe de gravité
Laxité talo-crurale : Arthro. TDM, IRM ? préopératoire si laxité clinique et radiographique n ou n Pour bilan lésionnel si clichés dynamiques non significatifs n n Lésions ligamentaires : Arthro-TDM ou IRM Si suspicion lésion os ou ostéochondrale: Arthro. TDM
Instabilité talo-crurale : Arthro - TDM n Intérêts : n Etude fine et spécifique: n des ligaments et de la capsule n du cartilage tibio-fibulo-talien n des tendons fibulaires (inconstant) Recherche de corps étranger n Etude du squelette et du ligament talocalcanéen. n
Laxité talo-crurale : Arthro - TDM n Rupture du TAFA Diagnostic difficile car ligt grele et peu étendu en hauteur n Meilleur signe = moignon du TAFA flottent dans le contraste n passage de PC au delà de l ’emplacement normal du ligament. Le PC peut remplir une poche pré-malléolaire Attention aux faux négatifs : rupture ancienne cicatrisée ou n
Conflit antéro-latéral n Comblement de la gouttière n Tissu fibreux n Diagnostic définitif =
Entorse tibio-fibulaire inférieure n RX: n n n Diastasis tibio-fibulaire (il peut ne pas se voir !) Fractures Echographie: n Epaississement du tibio-fibulaire antérieur
Entorse de la médio-tarsienne (Chopart) n Signes radiologiques: n Pied de Profil n n n gonflement des partie molles Avulsion osseuse de l ’insertion talienne et/ou naviculaire du ligament talonaviculaire dorsal Fracture-arrachement du rostrum du calcanéus
Entorse de la tarso-métatarsienne (Lisfranc) n Diagnostic essentiellement clinique mais souvent méconnue, leur mise en évidence repose sur le SCANNER n Tableau stéréotypé: n n traumatisme en torsion avec douleur du médiopied RX normales ou sub-normales
Atteintes tendineuses
Tendinopathies chroniques ECHOGRAPHIE IRM
Tendinopathie nodulaire Enthésopathie
Lésions ostéochondrales du talus
RX ET ARTHRO-SCANNER Clarté sous chondrale, ostéosclérose sous chondrale
Syndrome du carrefour postérieur RX ET IRM n Os trigone (1, 4 % pop) n Anomalie osseuse : fracture inflammation du spongieux, , fragmentation, pseudarthrose n Anomalie parties molles : synovite tibio-talienne,
Fractures de fatigue = IRM
Pathologie traumatique de l ’aponévrose plantaire n Sportifs jeunes : impulsions et réceptions brutales n IRM +++ n 3 types de pathologies : n n n Rupture Enthésopathies Myoaponévrosite
Rupture de l ’aponévrose plantaire n + rare que la fasciite; impotence fonctionnelle complète n Récente : rupture HS T 2 n Tardif : zone de rupture moins nette +/ - kystique, fibreuse
La radiographie standard Dans la pathologie sportive de la cheville n n C ’est la 1ère étape obligatoire dans l ’exploration de la pathologie sportive de la cheville et du pied 3 incidences de bases n Recherche de fractures (fatigue +++), n d ’avulsions, de luxations Recherche de corps étrangers Recherche de « prédisposition » n n Les clichés dynamiques ont un intérêt sur une cheville indolore
L ’échogaphie Dans la pathologie sportive de la cheville n En association avec la RX elle permet de faire le « tour » du syndrome du carrefour latéral Ligaments: TAFA, FC, TIFA, LCM n Tendons: rupture, tendinopathie, luxation, subluxation +++ n Sinus du tarse: recherche d ’une infiltration en regard n
Le SCANNER Dans la pathologie sportive de la cheville n Complément utile des RX standards quand on soupçonne une lésion osseuse
L ’arthro-Scanner Dans la pathologie sportive de la cheville n Examen de choix dans le bilan préthérapeutique d ’une entorse grave du LCL ET n Recherche et bilan de lésion ostéochondrale n Recherche de corps étrangers intra-
L ’IRM Dans la pathologie sportive de la cheville n n n Méthode non invasive Permet une étude globale de la cheville Moins précise que l ’arthrosanner en cartilagineux Très sensible et précoce dans les fractures de fatigue Examen privilégié des atteintes tendineuses