Il ruolo della diagnostica per immagini Rimini 27













































- Slides: 45
Il ruolo della diagnostica per immagini Rimini, 27. 10. 2018 Enrico Cavagna Dipartimento Diagnostica per Immagini AUSL Romagna
ECOGRAFIA (1° livello) TC (2° livello) RISONANZA MAGNETICA (3° livello, problem solver) ECO-ENDOSCOPIA (4° livello, problem solver) PET (stadiazione corpo intero)
ECOGRAFIA: 1° livello
Pro Non invasiva poco costosa ubiquitaria ECOGRAFIA
Contro ECOGRAFIA costituzione paziente Meteorismo (pancreas non visualizzabile) Dimensioni neoplasia sede neoplasia (corpo e coda) esperienza operatore
ECOGRAFIA Sensibilità controversa, bassa per lesioni piccole Quindi se positiva per k 2° livello, presa in carico Se negativa, e sospetto clinico fondato 2° livello con TC addome con mdc
ECOGRAFIA Se sospetto forte e ECO negativa, NON FIDATEVI !
TC: 2° livello esame di scelta per diagnosticare e stadiare il k pancreas
Diagnosi di tumori anche “piccoli” (< 2 cm), grazie ai segni diretti e indiretti Sensibilità per T < 2 cm attorno al 77% Strumento potente nella stadiazione locale e a distanza Monitoraggio dopo Chemio e/o Chirurgia
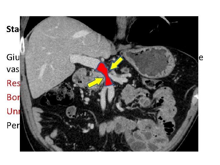
Stadiazione locale: Giudizio di resecabilità sulla base dell’infiltrazione vascolare Resectable Borderline resectable Unresectable perchè localmente avanzato Per metastasi a distanza
Stadiazione a distanza con TC Limiti: sottostima le piccole metastasi al fegato RM o del peritoneo Laparoscopia
“Screening” con TC ? Non utilizzabile nella sorveglianza di pazienti a rischio perchè accuratezza bassa per lesioni < 1 cm Radiazioni X
OBT: diagnosticare tumori “piccoli” segni diretti segni indiretti
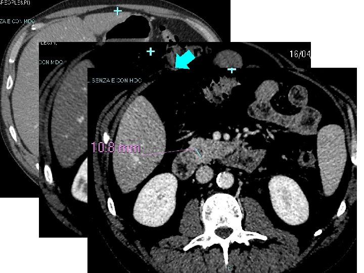
Il problema del tumore piccolo • Effetto massa minimo non distinguibile dal resto della ghiandola (non segni diretti) • Ancora non ha dato segni indiretti • Talvolta è vascolarizzato come il restante parenchima (ha la stessa densità alla TAC contrasto della ghiandola normale) ISODENSO • Nel dubbio, RM e/o Eco-endoscopia • Nel dubbio fondato si opera !
88% dei T < 2 cm e isodensi alla TAC ha (fortunatamente) segni secondari
pancreas normale (non dilatazione del DP, non atrofia ghiandolare a monte)
Dilatazione del dotto pancreatico Non sempre è così evidente….
Atrofia pancreas a monte della neoplasia Dilatazione dotto pancreatico
Sproporzione coda - testa Adenocarcinoma duttale
Sproporzione fra corpo-coda e testa pancreas La testa è troppo grossa
processo uncinato «arrotondato»
Papilla protrudente (bulging) Distensione idrica e ipotonizzazione
Perdita del piano di clivaggio intorno alla AMS e VMS tipico dei T a sviluppo perineurale-perivascolare AGOBIOPSIA
Quando la TC non evidenzia malattia certa ma vi è forte sospetto clinico, 3° e 4° livello con RM e Eco-Endoscopia
Cortesia di Nino Grillo, U. O. Gastroenterologia Rimini Stenosi biliare
RM addome superiore con mdc + Colangio -Wirsung-RM Studio multiparametrico complesso, ma nella pratica non troppo diverso dalla TC (anatomia, comportamento dopo mdc…) Anatomia del dotto pancreatico e delle vie biliari con Colangio-Wirsung-RM PLUS
RM addome + Colangio-Wirsung-RM La usiamo nello “screening” dei pazienti a rischio (non radiazioni)
Testa grossa, perdita lobulazione ghiandolare Interruzione del dotto pancreatico principale Dilatazione a monte del dotto pancreatico Stenosi del coledoco
IL CANCRO COME CAUSA DELLA PANCREATITE ACUTA
Dal 6. 8% al 13. 8% dei cancri si presenta precocemente con pancreatite acuta Perchè il cancro crea ostruzione In pazienti con P. A. con eziologia non chiara dovrebbe essere eseguita TC o RM, anche se la pancreatite è lieve J Hepatobiliary Pancreat Sci. 2013 Aug; 20(6): 628 -33. Pancreatic cancer causing acute pancreatitis: a comparative study with cancer patients without pancreatitis and pancreatitis patients without cancer. Minato Y 1 et al Medicine (Baltimore). 2017 Jan; 96(3): e 5908. Acute pancreatitis in patients with pancreatic cancer Timing of surgery and survival duration. Shaojun Li, M. Med and Bole Tian, Ph. D∗
1 mese dopo
3 mesi dopo…
Biopsia
I PAZIENTI CON PANCREATITE CRONICA
Pancreatite cronica o cancro ?
A favore della pancreatite cronica: Dilatazione irregolare del dotto pancreatico Calcificazioni intraduttali o parenchimali Scarsa atrofia del pancreas Restringimento graduale (non brusco) del dotto pancreatico dilatato o del coledoco • «Duct penetrating sign» : il dotto dilatato appare penetrare nella «massa» • •
Però la distinzione tra tumore e P. C. può essere difficile: In una serie di 442 pazienti operati di DCP per sospetto di malignità il 10. 6% (47 pazienti) aveva patologia benigna Abraham SC, Wilentz RE, Yeo CJ, et al. Pancreaticoduodenectomy (Whipple resections) in patients without malignancy: are they all ‘chronic pancreatitis’? Am J Surg Pathol. 2003; 27(1): 110 -120.
CONCLUDO
ECOGRAFIA: primo step Se negativa e forte sospetto: procedere con TC con mdc Se TC non dirimente: RM con colangio-RM dà valore aggiunto In casi dubbi: Eco-Endoscopia (Gastroenterologia) con biopsia (citologico) Se ancora dubbio: biopsia percutanea (istologia) Nei pazienti a rischio “screening” con RM «La prossima volta dobbiamo arrivare prima»
GRAZIE