II Memorial Maurizio di Gruttola Ospedale Cardarelli Napoli
































































































- Slides: 96
II Memorial “Maurizio di Gruttola” Ospedale Cardarelli Napoli 26 -27 Novembre 2004
Il dolore addominale acuto Giovanni Esposito UOPC di pediatria-Ospedale A. Cardarelli
Le linee guida servono per: Garantire al paziente l’intervento teoricamente più appropriato (la pratica deve tener conto anche degli individui e delle situazioni). n Dare uniformità al lavoro di uno o più gruppi. n Raccogliere dati omogenei a livello nazionale ed internazionale. n
Ma servono anche per: Evitare esami/interventi inutili (con risparmio di tempo e di risorse). n Accreditare/certificare la qualità professionale. n
Strumenti per dubitare delle linee guida: Strength of evidence: class I, class III n Clinical recommendation : recommendation, guideline, option. n Clinician’s brain: passive, alert, investigative n
Definizione Dolore insorto da non più di 24 -48 ore, d’intensità tale da compromettere le consuete attività di vita del bambino.
Generalità n n E’ un problema comune in tutta l’età pediatrica. Può rappresentare il segnale di malattie di organi diversi, sia intra che extra addominali. Spesso banale ed autolimitato, può essere la spia di un’emergenza medica o chirurgica. La vera difficoltà è nel porre la diagnosi in tempo utile per iniziare il trattamento ed evitare la morbilità.
Fisiopatologia del dolore n n n La maggiore difficoltà diagnostica del dolore addominale è legata al fatto che la sua localizzazione non consente di risalire alla sede ove si è prodotta la patologia. Clinicamente distinguiamo 4 categorie di dolore addominale: Dolore viscerale o splancnico Dolore parietale o somatico Dolore riferito o riflesso Dolore senza apparente riferimento.
Dolore viscerale o splancnico n n Si manifesta quando viene interessato un viscere come lo stomaco o l’intestino: l’insulto(torsione, infiammazione, ischemia), stimola le fibre sensitive. Queste, bilaterali, non mielinizzate, entrano nel midollo a vari livelli. Il dolore viscerale è solitamente non localizzzato e percepito sulla linea mediana. Gli stimoli provenienti da strutture “foregut”(basso esofago), causano dolore periombelicale, quelli “bindegut” (grosso intestino) dolore addominale basso. Non causa mai resistenza della parete addominale.
Dolore parietale o somatico n n n Si verifica quando la noxa patogena stimola il peritoneo parietale. Lo stimolo viene trasmesso tramite fibre afferenti mielinizzate allo specifico ganglio dorsale, allo stesso livello dermatomerico del punto ove ha origine il dolore Il dolore parietale è breve, intenso e localizzato. Viene accentuato dal movimento e dalla tosse.
Dolore riflesso - Dolore senza riferimento Ha le caratteristiche del dolore parietale ma è prodotto in aree satelliti dello stesso dermatomero dell’organo affetto Es: la polmonite che dà dolore addominale perché il dermatomero T 9 è comune al polmone ed all’addome. E’ il dolore che accompagna alcune patologie e che non trova una spiegazione neuro fisiologica per es: la faringite, l’otite, la sinusite, la MNI. E’ verosinile ipotizzare la concomitanza di una adenite mesenterica.
DOLORE ADDOMINALE Localizzazione
ORIGINE DOLORE ADDOMINALE
DOLORE ADDOMINALE Irradiazione
Cause di dolore addominale acuto Gastroenteriche Genitourinarie Gastroenterite acuta Appendicite Linfoadenite mesenterica Stipsi Traumi addominali Volvolo Occlusione NEC SEU Peritonite Tossinfezione alimentare Esofagite, NERD, ulcera peptic Compasso mesenterico Meckel IVU Calcolosi Dismenorrea Rottura follicolare Malattia infiammatoria pelvica Gravidanza Extra Torsione ovarica Torsione testicolare Orchiepididimite Endometriosi Ematocolpo
Cause di dolore addominale acuto Fegato, milza, vie biliari Epatite Colecistite Colelitiasi Rottura splenica Infarto splenico Pancreatite Malattie metaboliche Ketoacidosi diabetica Insuff. surrenalica Porfiria Farmaci/tossine Macrolidi Salicilati Fans Intossicazione da Pb. Miscellanea Malattie polmonari Polmonite Pleurite diaframmatica Coliche gassose Dolore funzionale Faringotonsillite Rinosinusite Malattia reumatica Vasculite Emoglob. S Febbre mediterranea familiare
Dimensione del problema ed incidenza per patologie
Incidenza percentuale delle varie patologie in bambini con dolore addominale acuto Da Dalt e coll. -Padova, 1985 N° 566 accessi per dolore add. DA d’incerta origine 30% Stipsi 19% Tonsillite. IPVA 12% Coliche gassose 7% Enterite 6% IVU 5% Polmonite 2% Alimenti 2% Farmaci 2% Patologie chirurgiche 10% Altro 5% Cardarelli. Napoli, gen/giug. 2004 N° 672 accessi per dolore add. DA d’incerta origine 11. 0% Stipsi 0. 6% Tonsillite. IPVA 10. 5% Coliche gassose 0. 2% MRGE-vomito-gastralgia 8. 7% Enterite 22. 4% IVU/calcolosi 1. 8% Polmonite 2. 5% Tossinf. aliment/farmaci 1. 4% Patologie chirurgiche 3. 8% Altro (vascul. , Seu, epatite) 3. 2%
INCIDENZA PERCENTUALE DELLE VARIE PATOLOGIE Scholer SJ. 1996 Indianapolis N° 1141 paz. (5. 1% degli accessi) Età: 2 -12 anni IPVA 18. 6% DA d’incerta origine 15. 6% Faringite 16. 6% Gastroenterite 10. 9% Malattia febbrile ac. 7. 8% Patologia chirurgica 1. 0% Erkan T. 2000 Istanbul N° 399 pazienti(5. 4% degli accessi)Età: 2 -16 anni IPVA/otite/sinusite 23. 7% DA d’incerta origine 15. 4% Gastroenterite 15. 4% Stipsi 9. 4% IVU 8. 0% Patologia chirurgica 9. 0% Operati 2. 0%
ANAMNESI: frequenza relativa delle patologie secondo l’età 0 -24 mesi Coliche gas Gastroent. Stipsi Ivu Invaginaz. Volvolo Ernia stroz. Hirsprung 2 -5 anni Gastroent. Stipsi Appendicite Ivu Invaginaz. Trauma Ipva Vasc. di S. H Adenomes. 6 -11 anni Gastroent. Appendicit Stipsi Dolore funz. Trauma Faringite Polmonite Vasc. di SH 12 -16 anni Appendicite Gastroent. Stipsi Dismenor. Rottura foll. Inf. pelvica Grav. extra Aborto rite Tors. test/ov.
ANAMNESI del dolore n n n Le notizie raccolte dai familiari vanno valutate con prudenza. Utili le notizie riguardanti le patologie familiari (diabete, anemia falciforme, porfiria) o particolari situazioni nelle teenager (menarca, traumi, dismenorrea, uso dello YUD). Nelle tossinfezioni alimentari è tipico il coinvolgimento d’interi gruppi familiari. L’etnia può evocare particolari patologie(anemia falciforme febbre mediterranea familiare). I b. <6 anni presentano spesso segni tipici della malattia.
ANAMNESI del dolore n n n La sequenza di dolore che cambia di sede localizzandosi prima nell’emiaddome sn. , è tipico dell’appendicite ma può mancare nei b. che non collaborano e che si presentano già al 2° stadio del dolore addominale. Qualunque b. che presenti dolore nei quadranti inferiori di dx. , dovrebbe essere sospettato di avere un’appendicite. La localizzazione, la severità, la durata e l’irradiazione del dolore risultano importanti se valutati nel contesto dell’età e delle condizioni socioeconomiche del b.
Sintomi associati Nell’addome chirurgico il vomito precede sempre il dolore. Viceversa accade nelle patologie mediche. n Ogni b. con vomito biliare è sospetto di occlusione intestinale n La diarrea è sintomo prevalente nelle enteriti e nelle tossinfezioni ma può accompagnare altre patologie. n
Sintomi associati La presenza sangue nelle feci è suggestiva di colite infettiva ma si ritrova anche nella SEU e nelle MICI n Le classiche feci a “gelatina di ribes” suggeriscono un’invaginazione intestinale. n Il mancato passaggio di aria o di feci fa pensare all’occlusione intestinale. n
Sintomi associati La pollachiuria, la stranguria indicano spesso IVU. n Lo scolo purulento vaginale suggerisce una salpingite. n La tosse e la dispnea indirizzano verso una patologia polmonare. n
Sintomi associati n n La poliuria e la polidipsia sono segni classici del diabete mellito. La presenza di porpora e/o di artralgie suggerisce una vasculite di S. H. Interventi chirurgici pregressi possono far supporre una occlusione da briglie aderenziali. Un “frequentatore abituale “del PS ha sicuramente un DAR.
ESAME CLINICO Valutare le condizioni generali del bambino, il colorito, l’idratazione, la postura. n Il b. con dolore addominale tende ad impallidire durante le contrazioni peristaltiche. Il b. con peritonite, al contrario , rimane sofferente. n Un subittero può indicare epatite, anemia emolitica, colangite, calcolosi biliare. n
Esame clinico n n n La presenza di febbre sottende un’infezione. Febbre elevata con brivido è tipica della polmonite e della pielonefrite. Pallore+ittero fanno pensare all’anemia falciforme. Dolore violento in un ragazza a metà del ciclo mestruale fa pensare alla rottura di un follicolo ovarico.
Esame clinico Ipertensione può accompagnare la SEU e la m. di S. H. n Tachicardia e ipotensione suggeriscono ipovolemia. n Il respiro di Kusmaull è tipico della chetoacidosi diabetica. n
PALPAZIONE ADDOMINALE Osservare il modo di respirare del b. ed invitarlo a distendere l’addome. n Farsi indicare ed individuare l’area di maggiore dolorabilità. n Palpare l’addome con delicatezza muovendosi intorno all’area dolente. n Esplorare le sedi erniarie ed i genitali. n
Palpazione addominale n n n Saggiare l’peralgesia della parete muscolare, la sua rigidità e la dolorabilità al rilascio. Ricercare i segni di Rowsing , dello psoas e dell’otturatore e la dolorabilità del punto di Blumberg. Un Murphy positivo suggerisce colecistite o colelitiasi. Un Giordano +pielonefrite o nefrolitiasi. La percussione può elicitare dolore riflesso. La palpazione profonda, quando possibile, è utile per evidenziare masse od organomegalie.
ESPLORAZIONE RETTALE Questa manovra va eseguita con giudizio, a causa del discreto grado d’invasività. n L’esplorazione rettale può dar informazioni sul dolore, sul tono sfinterico, sulla presenza di feci, di masse, di melena. Nei piccoli può rilevare tracce ematiche e far sospettare un’invaginazione n
ESPLORAZIONE PELVICA Nei maschi l’esame dei genitali può evidenziare lesioni del testicolo, nelle femmine una leucorrea vaginale od un imene imperforato. n L’esplorazione pelvica a due mani può evidenziare la presenza di masse uterine o annessiali. n
Algoritmo diagnostico per la valutazione del dolore addominale acuto nel bambino Segni di trauma? no Febbre? Si Lesione accidentale Child abuse Si IVU Faringite Gastroenterite Adenite mesenterica Polmonite Appendicite Mal. iinfiam. pelvica no Presenza di emazie falciformi? Si Crisi di sequestro no Dolore localizzato a sn. ? no Si Stipsi Torsione ov/test. Rottura follicolo
Algoritmo per la valutazione del dolore addominale ac. nel bambino no Adenite mesenterica Rottura follicolo Presente in familiari Si Tossinfez. alimentare Gastroenterite no Sessualmente attivo? Si Mal. infiamm. pelvica Gravidanza extra no Pallore/porpora? no Si SEU Vasculite di S. H.
Algoritmo per la valutazione del dolore addominale ac. nel bambino n Sangue nelle feci? Si no n Ematuria? Si no n Evidenza di occlusione? no Osservazione/trasferimento Si Enterocolite MICI SEU Vasculite di S. H. Nefrolitiasi Trauma renale Ivu Malrotazione Volvolo Invaginazione
DIAGNOSTICA DI LABORATORIO Emocromo: può evidenziare perdite ematiche, reticolocitosi, anomalie morfologiche delle emazie. n Una leucocitosi neutrofila (>15. 000) con granulazioni tossiche allo striscio, indica infezione. n
Diagnostica di laboratorio Un’eosinofilia marcata può svelare una parassitosi. n L’es. urine può identificare infezione o calcoli. n Un esame glicemico, le transaminasi , la lipasi, danno utili informazioni sugli organi. n
t’s … in n Ultrasuoni t? Computerizzata n Medicina Nucleare n Risonanza Magnetica n Endoscopia ou n Tomografia t’ s ha Convenzionale W n Radiologia ha W Imaging
Radiologia Convenzionale (RC) Esame diretto • • • Calcoli Corpi estranei Gas libero Livelli idro-aerei Gas intramurale e sottomucoso Gas sistema venoso portale
N. E. C. : gas sottomucoso/intramurale
Radiologia Convenzionale (RC) • Transito gastrointestinale Contrastografia • Clisma opaco • Clisma mdc idrosolubile
Invaginazione
Invaginazione ileo-cecale
Malrotazione
Malrotazione
Poliposi intestinale
ECOGRAFIA E’ l’esame più utilizzabile nella patologia addominale Possiede: elevata specificità(91 -96%) valore predittivo più elevato versus esame clinico(88>69%).
Ecografia n n E’ una tecnica accurata nell’evidenziare : infiammazioni peri-appendicolari, ileite terminale, adenite mesenterica. invaginazione intestinale patologia testicolare e ginecologica Il limite di questa tecnica è che la qualità della lettura è molto legata alla capacità ed all’esperienza dell’operatore
Adenite mesenterica (US)
SEU: pseudoinvaginazione intestinale
Vasculite di S-H
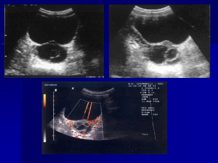
Cisti ovarica
Torsione ovarica
Colelitiasi
TC Gas intraperitoneale n Fluidi n Visceri rotti n Danno pluridistrettuale n Lesioni scheletriche associate n GOLD per la diagnosi di appendicite. n Limiti della metodica: invasività, disponibilità, costi. n
Tumore surrenalico
Tumore di Wilms
Epatoblastoma: TC, RMN.
MEDICINA NUCLEARE n Diverticolo di meckel e duplicazioni intestinali (tecnezio 99) n Malattie infiammatorie (tecnezio 99 HMPAO)
Diverticolo di Meckel
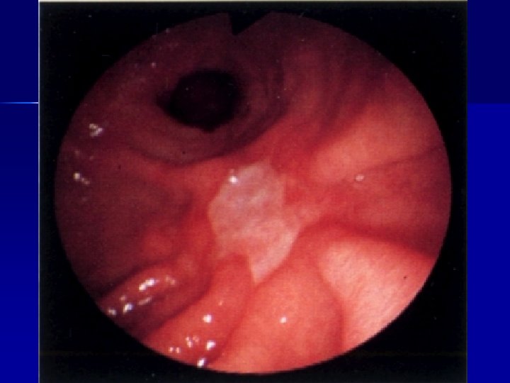
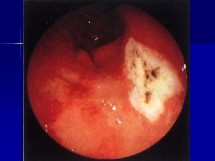
ENDOSCOPIA Lesioni del basso esofago n Patologia gastroduodenale(gastrite, ulcere, ernia iatale, corpi estranei) n Patologia rettocolica (colite ulcerosa, aspecifica, allergica, m. di Chronn) n
Caso 1 n n V. P. a 8, ricoverato per violento dolore epigastrico irradiato a tutto l’addome Coesistono intensi conati di vomito. Il dolore sarebbe insorto dopo un pasto di carne. Esame fisico negativo Il p. viene osservato per alcune ore quindi , persistendo la sintomatologia dolorosa, viene inviato al GE del PS. Questi, prima di procedere all’endoscopia, fa eseguire un esofago baritato. Vediamo l’esame…
Bolo esofageo
Caso 2 : bambino con anemia grave e dolore addominale intenso. S. D. , a 8: si ricovera per pallore e dolori addominali intensi. n Da circa 4 anni presenta anemia microcitica importante, iposideremia con ipoferritinemia, crisi dolorose addominali violente. Alterna periodi di malattia e di relativo benessere. Ha beneficiato di un trattamento marziale. Ha subito 3 ricoveri, effettuato accurate indagini in strutture private, senza esito. n
Caso 2 In particolare non si è rilevata perdita macroscopica od occulta di sangue, né segni di emolisi od emoglobinopatie; negative rinoscopia, Rx digerente , 3 endoscopie EG e RC. , TC addominale, scintigrafie polmonari ed intestinali con emazie e con leucociti marcati, scan con Tc per la ricerca del Meckel.
Caso 2 Nell’ultimo ricovero, viene trasfuso 2 volte. Per la comparsa improvvisa di ematemesi vengono ripetute le endoscopie, senza esito. Non si riesce a documentare l’origine della perdita ematica e del dolore addominale. Decidiamo di assistere alle sue evacuazioni durante la crisi di dolore e finalmente compare un fiotto di sangue fecale. Eseguiamo subito un’arteriografia e…….
Arteriografia : arteria pancreaticoduodenale
Arteriografia : sanguinamento in corso di esame.
Controllo TC dopo embolizzazione con microspirale metallica e colla acrilica.
…. per concludere….
Tre regole sagge per evitare gli errori più grossolani: n n n In caso di dubbio, rivedere il bambino a breve distanza di tempo, anche più volte. Praticare uno screening minimo di accertamenti: emocromo con formula, , es. urine, ecografia dell’addome. Evitare terapie alla cieca (antibiotici, antispastici, antidolorifici) finchè non sia stata ragionevolmente esclusa una emergenza chirurgica.
Ma non saranno luoghi comuni dettati dalla nostra paura di sbagliare ? Mai trattare con farmaci sintomatici un dolore addominale ….
IINDICAZIONI PER LA CONSULTAZIONE CHIRURGICA n n n n Dolore addominale incalzante con segni di progressivo peggioramento. Vomito biliare o fecale. Contrattura o rigidità addominale Distensione addominale con timpanismo. Segni di liquido o sangue in addome. Trauma addominale importante. Sospetta origine chirurgica del dolore. Dolore addominale senza causa apparente.
Grazie per la pazienza !