Idskor aggkor srltek traumatolgiai elltsa Srvry Andrs Semmelweis





































- Slides: 37
Időskorú, aggkorú sérültek traumatológiai ellátása Sárváry András Semmelweis Egyetem Traumatológiai Tanszék Péterfy Kórház, Baleseti Központ Szakmai igazgató: Prof. Sárváry András
2050 -re a csípőtáji törések száma a jelenleginek kétszeresére emelkedik. CÉL: életminőség, önellátó képesség helyreállítása. REHABILITÁCIÓ: 1/3 baleset előttivel megegyező 1/3 segítségre szorul 1/3 teljeskörű ápolásra szorul „ki fizeti a révészt? ”
„ki fizeti a révészt? ” 20 % a sérülést követő 1. év végére –leggyakrabban kardiovaszkularis szövődmény miatt – meghal. A finanszírozás korlátai kényszerítenek, hogy kezelési protokollokban optimalizáljuk a jó késői funkcionalis eredmények és a költséghatékonyság arányait.
1. Koponyasérülések Időskori koponyasérülések jellemzői: - agyállomány sorvadása, - tág liquorterek - banális trauma - térszűkület tünetei észrevétlenül, későn jelentkeznek - személyiségváltozás (környezet, háziorvos)
1. Koponyasérülések Krónikus subduralis haematoma neurologiai tünetek nélkül Pachymeningitis chronica személyiség-változás
2. Gerincsérülések Elesés (hyperextensios vagy flexios mechanizmus). A panaszok jelentéktelenek, neurologiai eltérés kezdetben nincs, mert a gerinccsatorna ezen a szakaszon tág.
2. Gerincsérülések Dens epistrophei törés: kényszertartás. Gipszrögzítés a légzést nehezíti. Jó eredmény csak a műtétes kezeléstől várható (halo fixateur-rögzítés, csavaros synthesis)
2. Gerincsérülések Dorsolumbalis átmenet Compressios törések (osteoporosis következtében, ülepre eséskor) - neurologiai tünetek nélkül - rendszerint konzervatívan kezelhetők. Instabilitás: a corsette helyett fixateur interne műtét! (korai mobilisatio, jó betegkomfortot, légzésfunctiot nem rontja) Pathologiás törés: „halcsigolyák” csontcementes feltöltése
3. Mellkasi sélrülések Contusio, bordatörések Fájdalomcsillapítás!!! (légzőmozgások beszűkülése). 2 borda egyidejű törése halálos szövődményt jelenthet. radiologiai kontroll! (5 -8 nap után kialakuló PTX, HTX) sorozat-és/vagy ablakos bordatörések epidural-canül, korai légzőtorna gépi lélegeztetés? ? ? aortaív alatt intima berepedése
4. Hasi sérülések Parenchymás szervsérülések Ritkák (szívós, sorvadt állomány) Kivétel: lép kóros megnagyobbodása, véralvadási zavarok. Tápcsatorna fedett rupturái Elnézhetők! Sonographia (gáz-vagy folyadékgyülem) CT-vizsgálat retroperitoneumhoz is!
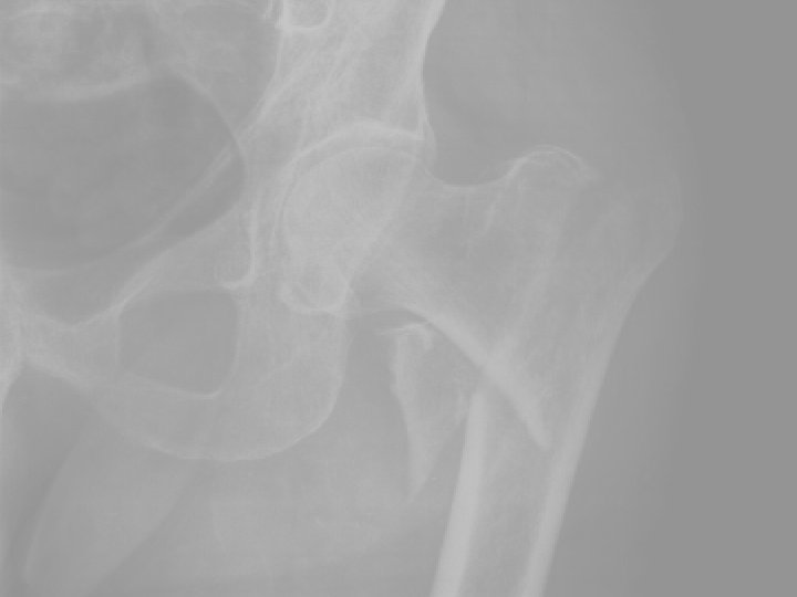
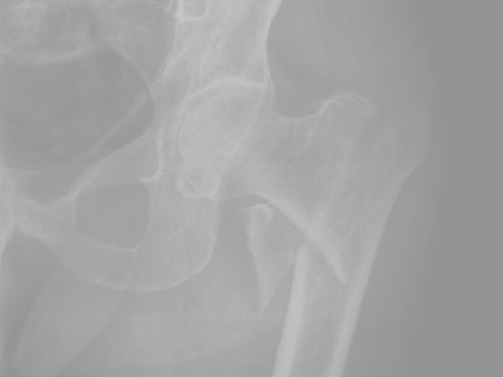
5. Medence, csípótáji törések. Az időskori sérülések halálos szövődményei több mint 50%-ban ebből a csoportból kerülnek ki. > peremtörés, szemérem- és az ülőcsont szártörései, Konzervatív kezelés < transacetabularis törések Operatív/konzervatív kezelés
5. Medence, csípótáji törések A csípőtáji törések a leggyakrabban előforduló időskori törések. A tokon belüli törés szövődménye a fejelhalás, ami az esetek 25 -35 %-ában bekövetkezik. A tokon kívüli törések gyógyhajlama jó. A leggyakoribb szövődmény a thromboembolia, mely a az első postoperatív évben 20 -25%-os halálozással jár.
Prothesis vagy Girdlestone állapot?
Prothesis vagy Girdlestone állapot?
Delayed revision 73 y female. Failed primary stabilisation, Delayed septic complication Pyarthros coxae, septic diaphyseal nonunion. Exarticulation?
Delayed revision Op. sec. Girdlestone+open plate-osy. Secondary wound granulation
6. A proximalis humerusvég törései Idős betegek vállficam helyett a szenvedik el. A törés több darabos, porotikus. A konzervatív kezelés késői functionalis eredménye nem rosszabb, mint a műtétes kezeléseké. A vállprothesis eredményei messze elmaradnak a csípőízületi prothesisek késői funkcionalis eredményeitől.
8. Csuklótörések Az idős kor második leggyakoribb sérülése. Konzervative is jól kezelhető. A nagyfokban instabil töréseket fixateur externnel rögzítjük.
Keresztek… T. M. 60 é. Nő -6 év: Fr. cruris l. s. Műtétek: Felfúráros velőűrszegezés UTN ENDER-szegezés, fibula-OT ASP DC-lemezelés ASP Mankóval jár 2006 05 10 fémkivétel, decorticatio, ASP Sebgyógyulás után járógipsz 2006 07 07 Kontroll: gipszeltáv. 2006 07 17 fedett FRVSZ 2006. 09. 08 Kontroll: 1 bottal jár a biztonságért. Térdflexio 0 -120, bokamozgás 0 -0 -30. Terhelve járhat, kontroll decemberben, pénteki napon
67é nő, szártörés, -2év, 3 revisio, fertőzés 85é nő, önellátó, 2 bottal jár Keresztek…
„LIFE before LEG” A sikeres kezelés alapja az interdisciplinaris együttműködés. A finanszírozás korlátai kényszerítenek, hogy kezelési protokollokban optimalizáljuk a jó késői funkcionalis eredmények és a költséghatékonyság arányait.