I Une cellule compartimente II La cellule eucaryote








































- Slides: 40
I. Une cellule compartimentée II. La cellule eucaryote : une cellule spécialisée 1 - La cellule pancréatique acineuse spécialisée dans la synthèse protéique a) Etanchéité, cohésion et coopération grâce à des systèmes jonctionnels membranaires - Etanchéité = Z. O (Zonula occludens ou tight junction) - Cohésion et souplesse = Z. A (Zonula adherens) + Desmosomes maculaires + Interdigitations - Coopération = Jonctions communicantes (ou lacunaires ou Gap junctions, formées de connexons)
Lumière de l'acinus
Réseau d'occludine + Z. O. 1 + Z. O. 2 + cinguline Z. O. 1 + spectrine + actine
Interdigitations (pas dans le pancréas mais dans l'épithélium intestinal par ex. )
Desmosomes maculaires
20 nm
a) Etanchéité, cohésion et coopération C. L connexon Canal fermé : pas de passage Canal ouvert : passage 1, 5 nm (ions, petites molécules<1200 D)
Regroupement temporaire des jonctions en plaques 6 CONNEXINES (Cx) par hémiconnexon 4 reploiements en hélice par connexine interaction entre hémiconnexons par 2 boucles intercellulaires OUVERTURE/ FERMETURE réversibles (commande Ca 2+/P)
Ex. ISOFORMES : Expression de Cx 43 ds Ilôts de Langerhans et de Cx 26 et Cx 32 (oncogène) ds acini.
BILAN fonctionnel des JONCTIONS - ségrégation entre membranes (MApx / MBL), - ségrégation entre espace luminal / espace extra-cellulaire baso-latéral CONSEQUENCES : UNE CELLULE POLARISEE échange moléculaire passif lumière/base spécificité prot de mb des 2 compartiments. : Exemples - récepteurs hormonaux sur MBL - sites de reconnaissance stéréospécifiques des Zymogènes sur MApx exocytose dirigée des cellules de l’acinus équilibre de p. H entre les cellules passage de petits messagers (Ca++ , nucléotides cycliques)
lamelle moyenne ZO paroi pectocellulosique membranes plasmiques des cellules 1 et 2 plasmodesme Des communications directes également chez les végétaux! LES PLASMODESMES
Structure d'un plasmodesme
Mécanismes du Transport supramoléculaire via les plasmodesmes
a) Systèmes jonctionnels b) Flux protéique dans la cellule pancréatique acineuse - Méthode = cf. Expérience de Pallade (1970)
a) Systèmes jonctionnels b) Flux protéique dans la cellule pancréatique acineuse - Méthode = cf. Expérience de Pallade (1970) - Résultats : cyto REG golgi zymogene - Interprétation : flux protéique polarisé!
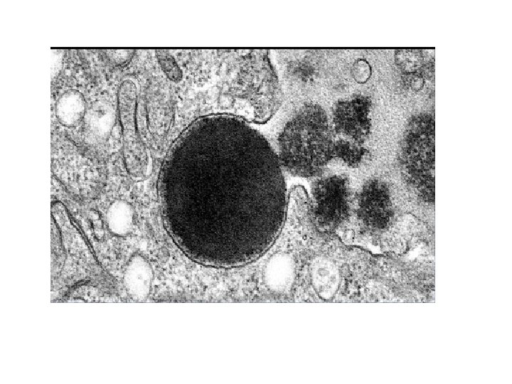
Stockage des grains de zymogènes / exocytose déclenchée Maturation potéique ds le Golgi et tri (lysosome/vacuole de condensation) Synthèse protéique ribosomiale du REG et tri (séquence signal) pinocytose de nutriments (ravitaillement sanguin)
a) Systèmes jonctionnels b) Flux protéique dans la cellule pancréatique acineuse c) Mécanismes des flux membranaires : endocytose/exocytose - Modalités de l'absorption = pinocytose > 0, 1 µm phagocytose > 1 µm endocytose 1µm > > 0, 1 µm (recyclage membranaire apical avec ou sans feutrage de clathrine)
0, 15 µm Cellules d'hépatocyte. Marquage à l'anti-dynamine
MECANISME de l'ENDOCYTOSE à puits de CLATHRINE
Ex de Phagocytose
Ex de Phagocytose de bactérie par macrophage
c) Mécanismes des flux membranaires : endocytose/exocytose - Modalités de la secrétion - déclenchée (CCKPZ) constitutive
Diversité des modalités de sécrétions MEROCRINE (cf Pancréas exocrine) APOCRINE HOLOCRINE (cf glandes sudoripares) (cf glandes sébacées)
- Modalités de la secrétion - déclenchée (CCKPZ) constitutive - intervention de l'actine (cytochalasine. D) - fusion cellulaire SNAP / SNARE - recyclage membranaire + crinophagie
MECANISME schématique de FUSION membranaire
II. La cellule eucaryote : une cellule spécialisée 1 - La cellule pancréatique acineuse spécialisée dans la synthèse protéique 2 - La cellule palissadique spécialisée dans la photosynthèse a) Rôle des Chloroplastes dans la photosynthèse - Originalités liées à la Semi autonomie génétique : Photosystèmes / RUBISCO - Conversions d'énergie solaire/chimique sur les membranes internes des thylakoïdes
a) Rôle des Chloroplastes dans la photosynthèse b) Systèmes d'optimisation intracellulaire de la photosynthèse - Position de PSI et PSII sur grana / saccules
b) Systèmes d'optimisation intracellulaire de la photosynthèse - Position de PS et antennes collectrices sur membranes des thylakoïdes
b) Systèmes d'optimisation intracellulaire de la photosynthèse - CYCLOSE des chloroplastes