I Les Imageries 1 Radiographie du cur et










































- Slides: 42
I. Les Imageries 1. Radiographie du cœur et du poumon ou « radio du thorax » 2. Echographie Doppler 3. Scanner 4. IRM 5. Scintigraphie 6. coronarographie
II. Examens biologiques 1. bilan lipidique 2. enzyme cardiaque 3. CRP 4. BNP 5. Surveillance du traitement anticoagulant TP, TCA III. Autres examens 1. ECG 2. Epreuve d’effort 3. La mesure ambulatoire de la pression artérielle ou MAPA ou Holter tensionnel
Le scanner : • Il sert à apporter des informations précieuses en cas de suspicion de déchirure de l’aorte dans le thorax. Il donne des informations spécifiques sur l’aorte thoracique et sur le péricarde (l’enveloppe du cœur). • Le scanner utilise les rayons x mais à une dose beaucoup plus faible que la radio. L’émetteur et le récepteur des rayons x sont situés sur un anneau qui tourne autour du patient. Les informations recueillies sont ensuite traitées par un puissant ordinateur, qui reconstitue les images en coupes de 1 à 10 mm d’épaisseur.
• Le patient est allongé sur le dos sur un lit d’examen, qui se déplace doucement à l’intérieur du large anneau pendant que les images sont enregistrées (cela nécessite une parfaite et complète immobilité lors de la rotation du tube). • Les médecins et techniciens se trouvent dans une salle adjacente, derrière une vitre. A l’aide d’un micro, ils demandent, quand cela est nécessaire, d’arrêter de respirer (pendant 2 à 30 secondes). Ils observent et peuvent entendre le patient pendant tout l’examen.
L’IRM (imagerie à résonance magnétique) : • C’est une technique d’imagerie très performante, indolore et sans danger, qui n’utilise pas de rayons x. • L’IRM se fonde sur le principe de la résonance magnétique des protons du corps humain au sein d’un champ électromagnétique, créé par un aimant géant en forme de tunnel au sein duquel le patient est placé. • L’IRM donne à la fois des informations sur l’anatomie du cœur (taille d’un infarctus, maladies du muscle cardiaque) et sur son fonctionnement (débit, oxygènation). • Le patient est allongé sur le dos sur un lit d’examen, déplacé doucement à l’intérieur d’un cylindre pendant que les images sont enregistrées.
• L’examen est formellement contre-indiqué si le patient porte un stimulateur cardiaque implanté. Des bouchons d’oreille permettent de ne pas être gêné par les bruits (claquements) assez forts et répétés, émis par la machine. • Il est inutile d’être à jeun. • Si le patient est claustrophobe, l’examen est déconseillé.
La scintigraphie : • Elle renseigne sur le fonctionnement du muscle du cœur c’està-dire sur la contractilité du myocarde et sur la qualité de sa perfusion (irrigation) par les coronaires. • Le patient est placé sur une table d’examen. • Une substance radioactive (du thallium généralement) est administré dans une veine. Elle se fixe sélectivement sur le cœur. • Une fois que le marqueur a bien diffusé dans l’organisme, des enregistrements d’émission de la radioactivité sont réalisés. Une caméra à scintillation, plaçée au-dessus de la table d’examen, enregistre la radioactivité émise. Les informations sont présentées sous la forme d’un document photographique.
• Quelques précautions : l’examen est contreindiqué chez la femme enceinte. • Il est souvent nécessaire d’être à jeun. • Le cardiologue demande parfois l’arrêt de certains médicaments la veille de l’examen. • Le thallium s’élimine naturellement après quelques heures.
1. Radiographie du cœur et du poumon ou « radio du thorax » La radiographie est faite dans de multiples circonstances. Dans un contexte de dépistage, elle est pratiquée en l'absence de symptômes (médecine du travail par exemple). Avec un objectif diagnostique : elle est nécessaire en cas de signes pulmonaires (gêne respiratoire) ou cardiaques (douleur dans le thorax). But La radio du thorax permet de visualiser « par transparence » , le coeur (forme et taille), les poumons et les os du thorax (côtes et clavicules). Deux clichés sont habituellement réalisés, l'un de face, l'autre de profil. Déroulement Habituellement, il faut rester debout le temps du cliché, bien inspirer à fond puis bloquer quelques secondes la respiration, quand cela est demandé. Le plus souvent, le cliché est aussitôt remis au patient. Précautions Il faut éviter de faire une radiographie du thorax en cas de grossesse. Dans certaines situations L’examen dure 5 à 10 minutes, y compris le temps de se déshabiller et de se rhabiller.
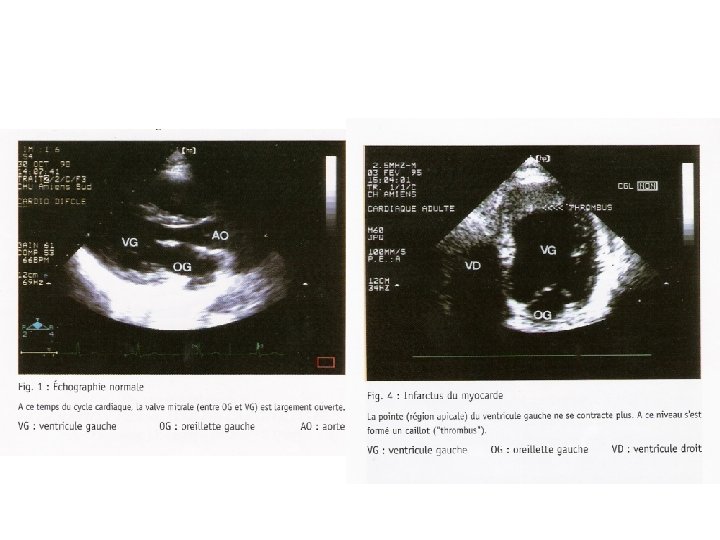
2. Echographie Doppler L’échographie est une technique d’exploration de l’intérieur du cœur par des ultras sons. Le médecin place une sonde sur la poitrine du patient qui est torse nu et allongé sur le coté gauche. La sonde envoie un faisceau d’ultra son dans la zone à explorer. Selon la nature des tissus, ces ondes sont réfléchies avec plus ou moins de puissance. Ces échos sont analysés en temps réel par l’ordinateur intégré à l’échographie, qui en déduit la forme et les mouvements du cœur. C’est un examen indolore qui permet d’observer la contraction du muscle cardiaque et les mouvements des valves.
Avantages du Doppler : • court 15 à 30 mns et décisif, • observer la circulation du sang au sein des cavités cardiaques et à travers les valves, • mesurer avec précision la vitesse d’écoulement du sang, • surveiller les valves artificielles
L’ARTERIOGRAPHIE • L’artériographie est un examen radiologique dont le but est de visualiser les artères. • Cet examen nécessite l’injection dans les artères d’un produit opaque aux rayons X de manière à pouvoir bien visualiser l’ensemble du réseau artériel. • L’artériographie peut être réalisée au niveau des artères des membres supérieurs, des membres inférieurs et des artères de la tête.
• Il s’agit d’un examen invasif, pouvant être responsable de complications qui sont rares. Cet examen est généralement indolore. Il dure de 15 à 20 minutes en moyenne mais peut être plus long selon les artères étudiées et les procédures techniques. Son résultat est immédiat.
DEROULEMENT PRATIQUE DE L’EXAMEN • Afin d’injecter ce produit dans les artères, il est impératif d’introduire un tuyau creux jusqu’à leur niveau de manière à ce que le produit opaque aux rayons X puisse être injecté. Ainsi, ce tuyau est introduit par une artère, puis chemine dans le réseau artériel jusqu’au niveau ou les médecins désirent réaliser une exploration.
• La première étape de ce travail consiste, après anesthésie locale, à ponctionner une artère d’un membre de manière à mettre en place un tuyau de gros calibre qui constitue en fait un introducteur. • L’artère située au pli de l’aine, l’artère fémorale, est souvent choisie pour réaliser une artériographie des membres inférieurs ou des artères de la tête. Parfois (et de plus en plus souvent), l’artère radiale (artère du bras) peut être utilisée.
Mise en place de l’introducteur dans l’artère fémorale au pli de l’aine
• Une fois en place, le produit de contraste radiologique sera injecté très rapidement, de manière à opacifier cette artère. De façon concomitante, un film radiologique est enregistré et permet d’observer l’ensemble de l’artère. • Une compression de l’artère est réalisée durant 10 à 30 minutes de manière à ce que le sang ne ressorte pas ce qui permet d’éviter la constitution d’un hématome
ROLE INFIRMIER • S’assurer que le patient n’est pas allergique à l’iode en particuliers car, dans ce cas, il devra lui administrer des médicaments anti-allergiques tels que les corticoïdes et les anti-histaminiques (la veille de l’examen). • Faire une préparation de bloc classique • Des médicaments contre l’angoisse sont parfois prescrits juste avant la réalisation de l’artériographie, le malade est à jeun et les traitements anti-coagulants sont de préférence arrêtés. • Lors de la réalisation de l’artériographie, le malade est nu, en position allongée sur le dos.
LE SCANNER CORONAIRE • Le scanner coronaire ou CT-Scanner était est un examen de tomodensitométrie qui permet de visualiser et les artères du cœur (artères coronaires). • Le scanner est un examen tomodensitométrie qui permet de visualiser l'intérieur du corps de manière non invasive, avec ou sans injection de produits de contraste.
• Il sert à apporter des informations précieuses en cas de suspicion de déchirure de l’aorte dans le thorax. Il donne des informations spécifiques sur l’aorte thoracique et sur le péricarde (l’enveloppe du cœur). • • Le scanner utilise les rayons x mais à une dose beaucoup plus faible que la radio. L’émetteur et le récepteur des rayons x sont situés sur un anneau qui tourne autour du patient. Les informations recueillies sont ensuite traitées par un puissant ordinateur, qui reconstitue les images en coupes de 1 à 10 mm d’épaisseur.
• Le patient est allongé sur le dos sur un lit d’examen, qui se déplace doucement à l’intérieur du large anneau pendant que les images sont enregistrées (cela nécessite une parfaite et complète immobilité lors de la rotation du tube). • Les médecins et techniciens se trouvent dans une salle adjacente, derrière une vitre. A l’aide d’un micro, ils demandent, quand cela est nécessaire, d’arrêter de respirer (pendant 2 à 30 secondes). Ils observent et peuvent entendre le patient pendant tout l’examen.
L’EPREUVE D’EFFORT • Une épreuve d’effort consiste à enregistrer des paramètres cardiologiques durant un effort. Les paramètres mesurés sont le pouls, la tension artérielle, et surtout l’électrocardiogramme. • Il s’agit d’un examen très fréquemment réalisé en cardiologie, dont les complications sont rarissimes.
REALISATION PRATIQUE • - La nature de l’effort • Il existe plusieurs types d’efforts: celui qui fait intervenir les jambes et celui qui fait travailler les bras. Les protocoles d’épreuve d’effort les plus souvent employés font appels au vélo, ou au tapis roulant. Les épreuves d’effort à bras, réalisées sur un appareil ressemblant à un rameur, sont relativement rares et généralement pratiquées chez les sujets très sportifs.
Le protocole d’effort • Selon les paramètres des malades et leur condition physique, un protocole d’effort sera défini par le médecin responsable de l’examen. Dans les situations les plus classiques, ce protocole correspond à un effort augmentant de 30 watts toutes les 3 minutes.
Les enregistrements des paramètres • La tension artérielle est recueillie au bras par l’infirmière, toutes les 2 minutes en moyenne, à l’aide d’un brassard et d’un stéthoscope. • La fréquence cardiaque est mesurée grâce à l’électrocardiogramme. • Pour la réalisation de l’électrocardiogramme, l’infirmière doit brancher un certain nombre d’électrodes sur la personne qui bénéficie de l’épreuve d’effort. • Ces électrodes sont réparties comme suit: • Six électrodes sont placées sur le thorax, à des endroits bien précis. Quatre électrodes sont placées dans le dos de manière à ne pas gêner l’effort. • Avant la réalisation de l’effort, le médecin réalise un enregistrement de l’électrocardiogramme.
La pratique de l’effort • Au fur et à mesure de l’effort, celui-ci devient de plus en plus difficile. En effet, la puissance à fournir par le malade est augmentée à intervalles réguliers (en règle générale toutes les 2 à 4 minutes). • La durée de cet examen dépend donc de la capacité du patient à réaliser l’effort, mais en règle générale une épreuve d’effort dure de 9 à 15 minutes. Le médecin reste très attentif à l’ensemble des paramètres durant la réalisation de l’épreuve d’effort.
RESULTATS • Le résultat porte sur plusieurs paramètres: l’intensité de l’effort réalisé, le profil de la tension artérielle durant l’effort et l’enregistrement de l’électrocardiogramme. Les critères cliniques ont également une importance capitale (douleur dans la poitrine, malaise. . . ). • Cet enregistrement peut en effet montrer l’apparition d’un trouble du rythme du cœur, et surtout un signe de souffrance du muscle cardiaque.
Visualisation du tracé de l’électrocardiogramme durant l’effort.
INDICATIONS DE L’EPREUVE D’EFFORT • L’épreuve d’effort peut être prescrite par votre médecin à la recherche : • - D’une maladie des artères du cœur ; - D’un trouble du rythme du cœur ; - De l’évaluation de l’efficacité du traitement administré ; - D’une hypertension artérielle à l’effort ; - De l’évaluation de la capacité d’effort. • L’indication principale est la recherche d’une maladie des artères du cœur : en effet, lors de l’effort le muscle du cœur se contracte de façon plus vigoureuse, ce qui nécessite donc plus d’oxygène. • Or, si une artère du cœur est bouchée partiellement, l’effort permettra de révéler une souffrance du muscle du cœur qui ne reçoit plus assez d’oxygène. • Une épreuve d’effort peut ainsi être réalisée pour établir le diagnostic de maladie des artères du cœur mais peut aussi être réalisée pour évaluer l’efficacité d’un traitement dont le but est de traiter cette maladie. • Chez le sportif, l’épreuve d’effort est couplée à la mesure des gaz respiratoire et notamment à la mesure de VO 2 max, qui représente la capacité aérobie de l’organisme.
COMPLICATIONS • Les complications sont rares, de l’ordre de 1 pour 10 000 examens réalisés. • La complication principale est l’apparition d’une tachycardie ventriculaire qui doit être prise en charge très rapidement. • Pour cette raison, les médecins disposent d’un matériel de réanimation dans la salle ou est réalisé l’épreuve d’effort, ce matériel étant par ailleurs obligatoire.
L’ELECTROCARDIOGRAMME • Comme tout muscle, celui du cœur est capable d’émettre une certaine quantité d’électricité lorsqu’il est en action. Cette électricité émise peut être enregistrée par un appareil qui est appelé un électrocardiographe. • L’enregistrement de cette activité électrique du cœur s’appelle un électrocardiogramme
REALISATION PRATIQUE • L’infirmière (ou le médecin) doit brancher un certain nombre d’électrodes sur la personne qui bénéficie de l’électrocardiogramme. • Ces électrodes sont réparties comme suit: • Une électrode est placée au niveau de chaque membre, les deux bras et les deux jambes. Six électrodes sont placées sur le thorax, à des endroits bien précis. • La durée de cet examen est de 2 à 5 minutes et il est totalement indolore.
RESULTATS • Le tracé d’un électrocardiogramme est réalisé sur 12 dérivations, correspondant donc à 12 enregistrements électriques (tracés) réalisés à des emplacements différents qui sont standardisés.
Tracé d’un électrocardiogramme. L’onde P correspond à la contraction de l’oreillette, les ondes QRS correspondent à la contraction des ventricules et l’onde T correspond à l’onde de repolarisation des ventricules.
Ces dérivations permettent de mesurer l’activité électrique du muscle du cœur dans tous les plans de l’espace.
La mesure ambulatoire de la pression artérielle ou MAPA ou Holter tensionnel
But Cet examen est utile chez les patients qui ont • une pression artérielle variable dans le temps. • Cela permet de détecter des périodes d’hypertension (pression artérielle trop élevée) • ou d’hypotension (pression artérielle trop basse).
Déroulement • Le Holter tensionnel est un petit appareil d’enregistrement, porté à la ceinture, relié à un brassard, mis en place autour du bras. Ce brassard est installé le matin par le cardiologue à son cabinet ou à l'hôpital. Pendant toute la journée, • le patient pratique ses activités quotidiennes, • en notant les horaires de la prise des repas, • de l’absorption des médicaments et de ses activités physiques. Le lendemain, le matériel est retiré. La seule contrainte est de garder le bras immobile chaque fois que le brassard gonfle, • pour la prise des mesures de la pression artérielle (toutes les 15 minutes le jour et toutes les • 30 minutes la nuit). L’enregistrement garde en mémoire les différentes pressions artérielles mesurées.
Précautions • Aucune. Il faut au contraire conserver une activité habituelle.