I INTRODUCTION II PHYSIOPATHOLOGIE III CLINIQUE IV MOYENS
















































































- Slides: 80
I. INTRODUCTION II. PHYSIOPATHOLOGIE III. CLINIQUE IV. MOYENS D’EXPLORATION V. DIAGNOSTIC POSITIF VI. FORMES CLINIQUES VII. EVOLUTION VIII. SURVEILLANCE POST THERAPEUTIQUE IX. CONCLUSION
*INTRODUCTION
• Pathologie fréquente : prévalence 10 % de l’ensemble de la population. • Lithiase réno-urétérale : 90 % des cas. • Plusieurs types de calculs de structures et de compositions chimiques différentes. • Souvent latence clinique • Complications: Récidive dans 60 % des cas. Colique néphrétique Insuffisance rénale • Imagerie : - Diagnostic et bilan de la maladie lithiasique en dehors de la période aiguë. - En urgence = diagnostic et sévérité de l'atteinte rénale. - Recherche d'étiologie - Apprécier l'efficacité des traitements de la maladie lithiasique.
*EPIDEMIOLOGIE
Affection très fréquente. Prévalence : 10 % de l'ensemble de la population. Pic de fréquence : 30 et 50 ans. Lithiase réno-urétérale : 90 % des calculs. Calculs vésicaux : rares. Facteurs favorisants extrinsèques : üFacteur climatique : DSH. üFacteur nutritionnel. üEnvironnementaux.
*PHYSIOPATHOLOGI E
1. Lithogenèse • • - Nature minérale (phosphate ou oxalate de calcium) Organique (acide urique, cystine). Mécanismes physicochimiques mal connus. Le facteur infectieux +++ PH urinaire. Les calculs du rein se forment initialement dans les voies urinaires proximales et passent ensuite dans le reste du système collecteur. Deux grands groupes étiopathogéniques : a-La lithiase d’organisme : Anomalies métaboliques b-La lithiase d’organe : Modifications anatomiques locorégionales = stase urinaire -Stase urinaire (quel qu'en soit le niveau), -Anomalies congénitales, -Infection urinaire -Néphrocalcinose.
2 - Structure et composition des calculs urinaires a- Lithiase calcique Fréquents+++ Anomalie métabolique = 60% cas b- Lithiase infectieuse Lithiase phospho-ammoniaco-magnésienne, ou struvite 10 à 20 % des infection urinaire Coraliforme des vois urinaires supérieures c- Lithiase urique 10 % des calculs, C'est la plus fréquente des lithiases organiques. Sexe masculin +++ Radio-transparente e- Types rares Lithiase médicamenteuse : indinavir = hypodense au scanner Lithiase compliquant une maladie inflammatoire du tube digestif = 2 à 12 %
* CLINIQUE
-Asymptomatique -Douleurs vagues -Infection urinaire -Hématurie -Crise de colique néphrétique avec expulsion d'un calcul ou des récidives -Complications : insuffisance rénale.
* MOYENS D’EXPLORATION
I. ECHOGRAPHIE: l'examen de choix qui, combiné avec les clichés standards, résout la presque totalité des problèmes cliniques. * Technique : Voie trans-pariétale/ endorectale, endovaginale Sonde de 3, 5 et 5 Mhz * Intérêt : Bonne étude des deux reins, de la vessie Le doppler = Indice de résistance des artères intrarénales l’état de tension des cavités rénales. * Limites : bruit de fond, artefacts acoustiques. Aucune étude de la fonction rénale. Uretères fins Urètre. En cas de dilatation, ne différencie pas entre une distension et une hypotonie
* Résultats: détecter les calculs mesurant 5 mm voire 3 mm Arc hyperéchogène + ombre acoustique Aspect identique quelle que soit la composition chimique du calcul. En pratique: le diagnostic de calcul est fiable en échographie ≥ 4 mm. * Diagnostic différentiel: interfaces acoustiques entre les différents constituants du sinus. calcifications athéromateuses des parois vasculaires. calcifications séquellaires du parenchyme au contact du sinus. air dans les cavité
II. TDM: * Technique : -acquisition hélicoïdale -avant et après injection intraveineuse de produit de contraste. -des coupes fines de 5 mm et 2 mm. -une analyse en fenêtres parenchymateuse et osseuse. -sans injection détecte les calculs. -série après injection réalisée au temps excréteur pour l’analyse des voies excrétrices. -reconstructions multiplanaires et volumiques sont indispensables. - scanner multibarettes +++
* Indications : -actuellement remplaçant le couple ASP- echographie. -Détection de calculs de faible opacité , de petite taille. -Analyse des complications infectieuses du parenchyme rénal et de l'espace périrénal -Analyse de l'état du parenchyme rénal * Avantages: Bonne qualité d’image. Courte durée d’acquisition. * Limites : Calcul pelvien sans graisse rétropéritonéale >>>Dc ≠ phlébolithe pelvien Seule les lithiases d’indinavir ( ttt sida) passent inaperçues au scanner.
Lombalgie droite Calcification pelvienne : calcul? injection>>> Phlébolithe pelvien
Intérêt de la dilution de l’urine: Urine non diluée a densité >>> celle de la plupart des calculs. >>> La plupart des calculs sont masqués. >>>>phase sans injection++ *Améliorer la visibilité des calculs sur la phase excrétoire: >>>>diluer les urines et distendre les cavités : ( densité< 500 UH). - absorption d’un litre d’eau – perfusion de 250 ml de sérum φ – furosémide : 10 mg IV
Le calcul caliciel supérieur n’est pas visible dans l’urine non diluée
La densité de l’urine est < 500 UH La densité du calcul est très supérieure
III. AUSP Technique : De face : Excellente qualité Pôle supérieur des deux reins jusqu’à l’urètre. Décubitus dorsal Compression ou le procubitus : dégager les projections digestives Clichés numériques = traitement de l’image. Incidence oblique: ( de Abreu ou profil de rein). Calcifications rénales/ des calcifications extra rénales antérieures (vésicule, cartilages costaux) Localisation anatomique sur le trajet de la voie excrétrice. Indications : L’association AUSP-écho: si TDM non réalisée en première intention Limites : Petites lithiases Lithiases radio transparentes ou de faible densité
Résultats: 90 % des calculs rénaux sont radio-opaques. Le degré d'opacité // composition chimique et du volume des calculs. Taille variable: Punctiforme. Calcul coralliforme = pyélocaliciel avec une ou plusieurs branches(dilatation des voies urinaires en amont). Calcul coralliforme phosphoammoniaco-magnésium (struvite) faiblement opaque
Sémiologie radiologique des calculs
types de calcul en radiologie conventionnelle. 1. Phosphate de calcium 2. oxalate de calcium 3. calcul phospho-ammoniaco-magnésium (struvite) 4. acide urique 5. cystine 6. boue calcique.
IV. UIV Technique : Pas d’UIV standard; doit être adaptée à chaque patient. La vidange vésicale en début d’examen est indispensable pour obtenir une meilleure étude de la muqueuse vésicale Compressions : CI : Sd ostructif , Suites immédiates d’une laparotomie , Contusion du haut appareil urinaire , Anévrisme de l’aorte abdominale Intérêt : Explorer la totalité de l’arbre urinaire sur le plan morphologique et fonctionnel topographie à l'intérieur du système excréteur calcul radiotransparent : lacune de forme géométrique, arrondie ou ovalaire, de contours lisses, souvent légèrement mobile Limites : L’irradiation, allergie au pc, l’IR Les calculs de petite taille.
V. IRM : -L’uro-IRM offre une représentation frontale ou sagittale, voire oblique de l’ensemble de l’appareil urinaire avec un temps d’acquisition de quelques secondes. -Sans injection de produit de contraste : indépendante de la fonction rénale et uniquement morphologique en cas de dilatation de l’axe urinaire. Sensibilité : 100 % confirmer la dilatation et localiser le niveau de l’obstacle. l’infiltration oedémateuse et l’épanchement périrénal. Le calcul : structure sans signal à l’extrémité de l’uretère dilaté en T 2 -Si elle est réalisée avec injection de produit de contraste, ses performances sont liées (comme pour l’UIV) à l’intensité de l’obstruction.
IRM sans inj colique nephretique: dilatation cavités T 2 axial : formation arrondie sans signal (flèche) entourée par un oedème inflammatoire de la paroi et du fascia périrénal antérieur.
* CAT DIAGNOSTIQUE
A. La lithiase en dehors du contexte de l’urgence : *La démarche diagnostique concerne les calculs rénaux asymptomatiques ou peu symptomatiques avec ou sans infection chronique.
1 - Échographie • Association d’un arc hyperéchogène avec son ombre acoustique. • Permet de détecter les calculs mesurant 4 mm voire 3 mm dans les conditions techniques optimales. L’aspect échographique est identique quelle que soit la composition chimique du calcul et son aspect radiologique. Limitée: pour évaluer la taille exacte et le nombre. • AUSP+ l’échographie : Dg 98 % des cas. • Une dilatation des cavités excrétrices permet de mieux distinguer un calcul baignant dans un milieu anéchogène des parois vasculaires
*Doppler : Les calcifications = artefact de scintillement imagerie couleur : une mosaïque de couleurs se propageant dans le cône d'ombre. analyse spectrale par des bandes à haute énergie saturant le spectre >>>séparer les zones hyperéchogènes calcifiées de celles qui ne le sont pas
Calcul bloqué en amont du méat urétéral gauche Doppler couleur : artefact de scintillement derrière le calcul partiellement obstructif avec un jet urétéral faible Doppler pulsé : Élévation de l’index de résistance (0, 75 à gauche avec 0, 65 à droite) avec dilatation modérée des cavités.
Diagnostic différentiel: -Interfaces acoustiques entre les différents constituants du sinus, -Calcifications athéromateuses des parois vasculaires -Air dans les cavités.
2 - AUSP : -La radiologie standard ne met en évidence que les calculs radio-opaques : 80 et 90 % -Le degré de radio-opacité dépend de la composition chimique et du volume du calcul. -Le calcul de phosphate ammoniacomagnésien pur ou struvite. >>faible opacité; de type coralliforme, avec couches concentriques radio opaques et radios transparentes. -Approche du volume de la lithiase(traitement). - peu d exactitude (lithiases irrégulières).
Diagnostic différentiel: calcul rénal: -Papille calcifiée en cas de nécrose papillaire. -Tumeur urothéliale calcifiée. -Calculs vésiculaires( incidence obliques). -Calcifications des cartilages costaux. calcul urétéral Calcifications artérielles, phlébolithes pelviens : centre plus clair. Calcifications ganglionnaires(mûriformes, mobiles). Pointe d’une apophyse transverse. Clips d'une ligature des trompes. calcul vésical Calcifications pelviennes d’origine génitale (fibrome, kyste dermoïde). calcul uréthral Calcifications prostatiques.
3 - TDM : -Quels qu’en soit la composition chimique, tous les calculs sont détectables, car spontanément denses. -Les coupes de 5 mm jointives : calculs supérieurs ou égaux à 3 mm -analyse morphologique : • forme, le nombre exact et les dimensions des calculs dans les trois plans de l’espace. • la composition chimique est correctement évaluée dans 64 % à 81 % des cas. -acide urique : 200 à 630 UH ; -les xanthines : 200 à 630. -Les calculs de cystine : 500 et 600 UH -Les calculs phospho-ammoniaco-magnésiens ou struvite : 860 à 1000 UH, -les oxalates de calcium : 1 400 à 1 930 UH, -les calculs mixtes d’oxalate et de phosphate de calcium : 850 à 1 600 UH -le phosphate de calcium : 2 000 et 2 400 UH. • la surface et le volume du calcul : lithiases complexes. - Etude des cavités excrétrices et parenchyme rénal.
TDM hélicoïdale sans injection. Coupe de 2 mmd’épaisseur. Petit calcul de 1 mm au fond d’un groupe caliciel moyen du rein gauche
Calcul d’acide urique pyélique droit. Urographie intraveineuse (UIV) , lacune radiotransparente à contour lisse entourée de contraste. TDM coupe axiale sans injection. calcul très dense, déclive dans le bassinet exorénal.
4 - UIV : Un calcul radio-opaque se trouve noyé dans le PDC Un calcul radio-transparent: • Lacune arrondie ou ovalaire, • Contours lisses, • Légèrement mobile sur les clichés successifs. L’UIV apprécie le retentissement du calcul sur les cavités urinaires : -L’irritation locale avec oedème de la muqueuse aboutissant à un spasme musculaire Au niveau du pyélon : Rétraction sur le calcul + une hypotonie d’aval. Au niveau de l’uretère : Aspect effilé de part et d’autre du calcul Diagnostic différentiel surtout si contexte hématurique : • Un caillot. • Une tumeur des voies excrétrices • Une nécrose papillaire détachée.
B. Lithiase urinaire compliquée :
1 - la colique néphrétique : -Episode douloureux dû à l'engagement d'un calcul dans la voie excrétrice : jonction urétérovésicale+++ -Le passage spontané du calcul responsable de l’obstruction aiguë dépend de sa topographie et sa taille. -Rétrécissements physiologiques ( points d’enclavement possible) : jonction pyélo-urétérale, croisement des vaisseaux iliaques, croisement du ligament large chez la femme ou des déférents chez l'homme, méat urétéral. q- l’imagerie: confirmer le diagnostic sur deux faisceaux d’arguments ( les signes d’obstruction urinaire aiguë et la visualisation du ou des calculs) Bilan : nombre. localisation. dimensions du ou des calculs. la composition. éliminer les complications. une éventuelle cause lithogène diagnostics différentiels.
a. TDM: Très performante La valeur prédictive positive en cas de crise de colique néphrétique est de 93 à 98 % la valeur prédictive négative de 83 à 97 %. Sans nécessité d’injection du PC Signes directs : - visualisation du calcul (1 mm) - œdème de la paroi urétérale ou « rim sign » Signes indirects - urétérohydronéphrose/néphromégalie - pyélectasie isolée - infiltration graisse périrénale - infiltration graisse périurétérale - épaississement des fascias périrénaux et du retropéritoine.
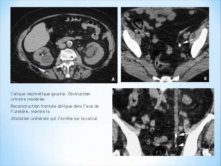
Dilatation modérée des cavités gauches +rem aniements inflammatoires de la graisse. Retard d’opacification du parenchyme Reconstruction 2 D frontale oblique. Arrêt de la dilatation au niveau du calcul avec oedème de la graisse périurétérale.
Colique néphrétique gauche. Obstruction urinaire modérée. Reconstruction frontale oblique dans l’axe de l’uretère. montre la dilatation urétérale qui s’arrête sur le calcul
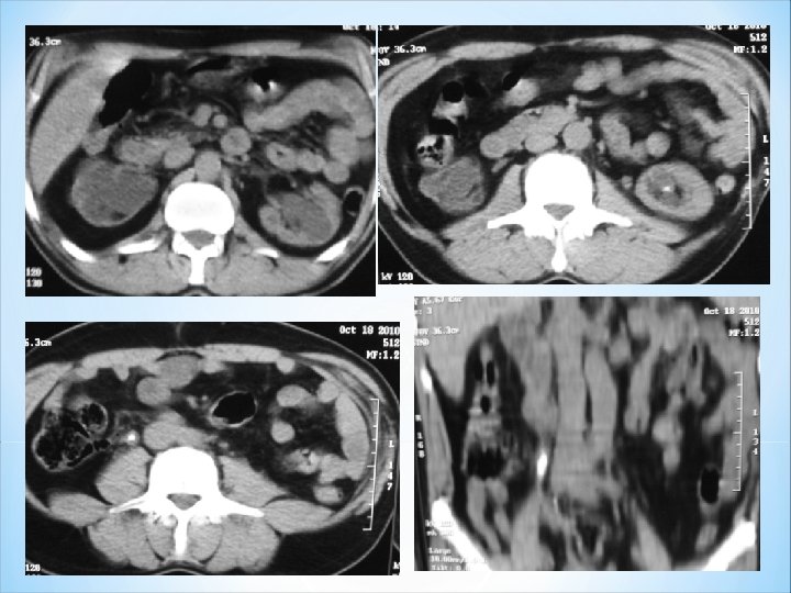
sans injection : . Dilatation modérée des cavités pyélocalicielles+ collection liquidienne périrénale. + Calcul bloqué dans le méat urétéral droit avec sédiments denses déclives correspondant à l’hématurie modification de la densité de la graisse interséminovésicale et d’une hypertrophie des plexus vasculaires latérovésicaux droits après injection coupes tardives: rupture des cavités avec extravasation de PDC
Sans injection : volumineux calcul coralliforme complet bilatéral avec multiples fragments séparés. Avec injection : importante dilatation des cavités pyélocalicielles avec images en « boules » des fonds de calices.
b. AUSP La sensibilité de l’ASP varie de 44, 5 à 95 % et sa spécificité de 65 à 90 %. Toujours associé à un autre moyen d’imagerie : écho+++. Limites : taille du calcul et/ou sa faible tonalité et les projections digestives majorées par l’iléus réflexe Résultats= opacité : -Contours lisses ou parfois spiculés ; -Forme allongée, ovoïde en « noyau de datte » , en « bâtonnet » , ou parfois triangulaire. -Topographie est celle du trajet urétéral : à grand axe vertical pour le segment lombaire. oblique en bas et en dedans/segment pelvien, presque horizontal/segment intramural.
Echographie : faux négatifs : 21 à 35 % si échographie réalisée seule. -Affirmer la dilatation des cavités pyélocalicielles et de l'uretère ( tiges calicielles dilatées, bassinet > 3 cm de diamètre antéropostérieur). -Préciser le niveau de l'obstacle et son type -Evaluer le parenchyme rénal, en particulier son épaisseur qui reflète la détérioration rénale et l'ancienneté du processus. -Une extravasation = liséré anéchogène périrénal ou collection périrénale Doppler pulsé et couleur du rein Calcul des indices de résistances. Jet urinaire.
UIV : * l’UIV sera évitée car l’hyperpression du produit de contraste intracavitaire entraîne une majoration des douleurs et risque de produire une rupture des cavités avec extravasation. * Objectifs : Affirmer le dg si doute avec les autres méthodes Niveau et type d’obstacle Retentissement Perméabilité des voies excrétrices Possibilité d’élimination spontanée
Resultats: § Sd obstructif: opacification de l’uretère dilaté peut être retardée §Spasme sus et sous jacent au calcul: aspect de calcul suspendu §Calcul totalement obstructif: image d’arrêt convexe vers le bas §Calcul du méat= œdème= lacune periorificielle= signe de vespignani
2. Infection -Tout calcul peut être responsable ou entretient une infection urinaire. -Unilatéral 8 % des cas. Les calculs bilatéraux s'accompagnent quasi systématiquement d'une infection urinaire. -Infection banale, récidivante ou non. - sans obstruction de la voie excrétrice. -Pyélonéphrite aiguë lithiasique, l'obstruction est fréquente et facteur de gravité
a- Pyélonéphrite aiguë TDM+++ : lésion hypodense après C+ Typiquement triangulaire, à base corticale et à sommet hilaire Echographie : zone hypo / hyperechogène, peu vascularisée, cavités dilatées avec contenu échogène.
b- Pyélonéphrite emphysémateuse : Infection nécrosante du parenchyme rénal : gaz Diffusion dans l'espace péri rénal Diabète+++ Pyélonephrite emphysémateuse droite: aspect hétérogène du parenchyme+ bulles d’ait ds loge rénale.
c- Pyélonéphrite xanthogranulomateuse: *Subaigu ou chronique. *Destruction progressive du parenchyme rénal à bas bruit. *Le diagnostic est anatomopathologique. *L'aspect en imagerie est variable et peu spécifique *Calculs = coralliformes de type struvite *Syndrome obstructif *Perte de la fonction rénale.
Pyélonéphrite xanthogranulomateuse du rein droit avec calcul pyélique Destruction du parenchyme rénal+ microabcès.
d-Hydronéphrose infectée et pyonéphrose L’échographie : hydronéphrose ou une urétérohydronéphrose souvent avec calcul(s) : rétention d'urine purulente dans des cavités distendues par une obstruction sous-jacente. ØContenu échogène des cavités dilatées. ØHydronéphrose infectée: parenchyme rénal d’épaisseur normale. ØPyonephrose: Amincissement, voire la disparition du parenchyme rénal. TDM: densité cavités dilatées élevée 25 à 30 U. +++ponction échoguidée: diagnostique et thérapeutique.
Collection périnephrétique sur lithiase
e- Pyélonéphrite chronique : *La lithiase est la cause la plus fréquente des pyélonéphrites chroniques. *30 % des causes d'insuffisance rénale chronique par néphrite interstitielle chronique. *calculs coralliformes ++ *Obstruction prolongée + facteur infectieux. *Evolution à bas bruit Ønon obstructive: atrophie focale lobaire corticale et la médullaire. petits reins irréguliers avec des zones d'atrophie corticale en regard d'un fond de calice déformé. ØObstructive: cortex est aminci en regard de la dilatation des calices
3. Insuffisance rénale aigue *Lithiase = 2 eme cause IRA= 40% *Calcul d’acide urique *Peut être révélatrice de lithiase *UIV est CI *Dg= echo+ TDM C- voir IRM
* FORMES CLINIQUES
Colique néphrétique durant la grossesse: * débute entre 6 et 10 semaines d’aménorrhée. * 90 % des cas: troisième trimestre. * L’échographie : évitant l’irradiation du foetus et l’injection de produit de contraste. Ødilatation non spécifique des cavités pyélocalicielles. Ø Une dilatation gauche prédominante associée à une douleur du flanc gauche est suggestive de pathologie obstructive. Ø Le doppler couleur : * distinguer l’uretère dilaté des vaisseaux iliaques ou d’une veine ovarienne élargie. * Si l’uretère est dilaté en dessous du promontoire avec ou sans calcul urétéral visible = obstacle.
Lithiase et dérivation urinaire *favorisent la lithogenèse. *varie de 5 % dans les urétéro-iléostomies à 20 % dans les entérocystoplasties. *Le risque d’insuffisance rénale chronique à long terme est élevé. *La TDM : bilan complet. * en cas d’obstruction : uro-IRM. Lithiase et corps étrangers urinaires: incrustations à la surface d’un corps étranger en contact prolongé avec l’urine
Calculs vésicaux: *Unique ou multiples * médians, mobiles, déclives. *volontiers volumineux. *plus fréquents dans un diverticule. * siège fixe. *stase urinaire+++ *RX std: aspect stratifié. *calcul rénal associé: 30 % des cas.
Ureterocèle sur calcul méat urétéral
ÉVOLUTION
*L'évolution spontanée est imprévisible: migration ( <4 mm) , croissance. *récidive après traitement+++ *Le retentissement dépend du siège. *Pyélonéphrite chronique.
* SURVEILLANCE POST THERAPEUTIQUE
q TDM hélicoïdale est le meilleur examen en postthérapeutique. *bonne position d’une éventuelle sonde double J. *la disparition de la dilatation des cavités. *Diagnostiquer, dénombrer et localiser les fragments résiduels après LEC même avec une sonde double J. *contrôler la dissolution d’un calcul urique. *surveiller la récidive. q l’échographie *recherche une dilatation des cavités associée : LEC. *complications : infection, hématome sous-capsulaire ou périrénal. *Doppler: plus sensible que la TDM parenchymateuse. fistule artérioveineuse
Contrôle échographique après mep d’une sonde JJ
Évaluation après pose d’une sonde JJ en post-lithotritie extracorporelle (LEC). Coupe axiale: calcul se dégage de la sonde JJ. Reconstruction 2 D courbe frontale: calcul résiduel autour de la sonde.
Contrôle TDM après LEC: -c: Hématome avec brèche parenchymateuse et persistance d’un minime calcul dans un groupe caliciel moyen non dilaté. +c: Hématome antérieur + contusion rénale. Contenu dense des cavités excrétrices.
CONCLUSION
Affection très fréquente. Tableau clinique variable. Récidive+++ Complications rénales redoutables >>> insuffisance rénale. Rôle de l'imagerie : Ødiagnostic et le bilan de la maladie lithiasique ØSévérité de l’atteinte rénale. ØSurveillance post thérapeutique. TDM hélicoïdale = efficacité diagnostique +++