I CURSO DE CONDUTAS MDICAS NAS INTERCORRNCIAS EM






































- Slides: 38
I CURSO DE CONDUTAS MÉDICAS NAS INTERCORRÊNCIAS EM PACIENTES INTERNADOS CONSELHO FEDERAL DE MEDICINA CREMEC/Conselho Regional de Medicina do Ceará Câmara Técnica de Medicina Intensiva Câmara Técnica de Medicina de Urgência e Emergência FORTALEZA(CE) MARÇO A OUTUBRO DE 2012
Condutas Médicas no Paciente com Dor Torácica Aguda SANLIO CIRNE, MEDICO CARDIOLOGISTA.
DOR TORÁCICA • 5 MILHÕES DE CONSULTAS NA EMERGÊNCIA (EUA) • 4 MILHOES (BRASIL) • DÇS CARDIOVASCULARES RESP 1/3 MORTES • ALTO CUSTOS COM INTERNAMENTO DESNECESSÁRIOS • AUMENTO ÔNUS SOCIAL • AUMENTO DE LITIGIO POR MÁ PRATICA MÉDICA
DOR TORÁCICA • AVALIAR E CONDUZIR PACIENTES COM DOR TORÁCICA AGUDA INTERNADOS, DE UMA FORMA SEQUENCIAL E LÓGICA COM FIM DE AFASTAR AS DÇ MAIS PREVALENTES AMEAÇADORAS A VIDA.
ICO? TEP? Dissecção Ao? Pneumotórax? Refluxo ? Osteomuscular? Psicossomática?
DOR TORACICA AGUDA • Anamnese • Exame físico • Exames complementares
DOR TORACICA • Caracterizar dor torácica – Anginosa: ICO – Não anginosa • Potencialmente catastrofica (Pneumotorax; dissecção de aorta; Pericardite; TEP • Não catastroficas: PNM; DRGE; Dor referida; osteomuscular.
DOR TORÁCICA AGUDA • Dor torácica anginosa • Ventilatório dependente • De forte intensidade, irradia-se para dorso, região interescapular, não cede com terapêutica habitual • Associado a refluxo gastroesofágico • Mecânica
DOR TORÁCICA AGUDA • • DM 2 HAS; TABAGISMO; IDADE; SEXO DLP ICO HF + Neoplasias Cirurgia Recente Procedimento Cirurgico torácico
DOR TORÁCICA • • ECG ENZIMAS CARDIACAS D-DIMERO* RAIO X DE TORAX ECOTT ECOTE ANGIO TC/ TC Helicoidal USG DOPPLER MMII
DOR TORÁCICA • AR: Taquipnéia ; MV abolido; atrito pleural; Timpanismo; crepitações, sibilos • ACV: Atrito pericárdico; diferença de pulsos • Sinais de déficit neurológico; • Reprodução da dor com palpação tórax.
DOR TORACICA ANGINOSA • Elevar cabeceira • ECG em 10 min e repetir a cada 3 h ou se novo episódio de dor • Nitrato SL, até 3 x se necessário com intervalos 5 min • Seriar enzimas CK-MB massa; Troponinas Mioglobina • Morfina EV (3 -4 MG/Dose) até Máx de 10 -15 mg) • Beta-bloqueador • AAS • Raio de tórax; ECOTT
Dor Torácica Anginosa: ECG • NORMAL • NÃO DIAGNOSTICO • SUPRA ST 2 DERIVAÇÕES CONSECUTIVAS MESMA PAREDE • INFRA DE ST • INVERSÃO DE ONDA T • BRE • ALTERAÇÕES DIN MICAS DE ST.
Dor Torácica Anginosa + ECG com Supra de ST • • Terapêutica inicial Estatina Ieca Clopidogrel 300 mg VO Ticagrelor 90 mg 2 comp VO Transferir para UTI Terapia de reperfusão – Angioplastia (Ver contraindicações) – Trombolitico
Dor Torácica Anginosa + ECG com Alterações de isquemia ou não • SÍNDROMES CORONARIANAS AGUDAS SEM SUPRA DE ST
Dor Torácica Anginosa
Dor Torácica Anginosa • • • PACIENTE DE ALTO RISCO NITRATO AAS MORFINA HBPM ou HNF BETA–BLOQ/ACC ESTATINA TIENOPIRIDINAS INIBIDORES IIb/IIIa Cate em ate 48 h
Dor Torácica Anginosa • • • PACIENTE DE RISCO intermediário NITRATO -AAS -MORFINA -HBPM ou HNF -BETA–BLOQ/ACC TIENOPIRIDINAS ESTATINA CATE NO INTERNAMENTO *
Dor Torácica Anginosa • • PACIENTE DE BAIXO RISCO NITRATO -AAS -MORFINA -HBPM ou HNF -BETA–BLOQ/ACC TESTE PROVOCATIVO ELETIVAMENTE
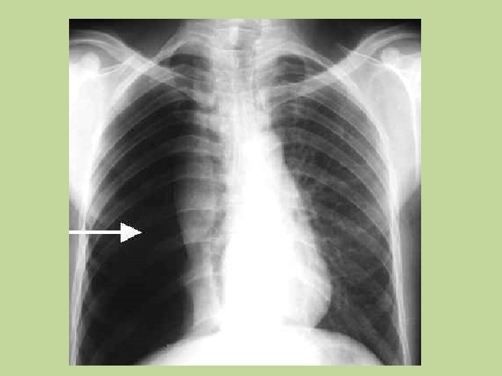
Dor Torácica P. Catastróficas VENT DEPENDENTE • Associado a dispnéia; MV abolido, e timpanismo =>(Pneumotorax) – Raio x de tórax; Analgésicos; • Associado a dispnéia, taquicardia, hemoptóicos, hipoxemia: TEP – Estratificação de Risco* – USG com Doppler MMII; ECOTT; TC helicoidal – Heparina /Trombolítico/ Tromboembolectomia.
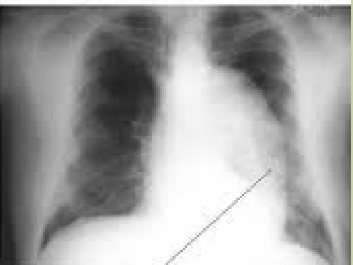
Dor Torácica P. Catastróficas • Dor forte irradiando para dorso , região interescapular, não cede com terapêutica habitual, associada a diferença de pulsos, sinais neurológicos sopro diastólico foco aórtico = Dissecção de aorta; • RAIO-X DE TORAX: Alargamento de mediastino. • ECOTT • ECOTE • Angio Tc de Torax e Abdomen • Vasodilatadores, beta bloq; opióide, • Transferir para UTI
Dor Torácica P. Catastróficas • Dissecção de aorta tipo A: – Nitroprussiato de sódio EV – Opióide EV – Beta-bloqueador – Cirurgico É a regra • Dissecção de aorta tipo B – Nitroprussiato de sódio EV – Opióide EV – Beta-bloqueador – Cirurgico ( Minoria)
Dor Torácica ventilatório dependente Não catastróficas • Pneumonia: Febre, tosse cheia; expectoração; crepitações e infiltrado pulmonar • Colher culturas e iniciar antibiotico precoce
Dor Torácica P. Catastróficas • Dor persistente com piora progressiva, dispnéia, sudorese fria, enfisema cutâneo => Rotura de esôfago: – Raio x de tórax ( pneumomediastino + consolidação pulmonar) – Antibiótico precoce – Eda; – TC de tórax
DOR TORÁCICA MEC NICA • OSTEOMUSCULAR – – Dipirona AINES Tramadol Opióide • TRATO DIGESTÓRIO ( lembrar de pancreatite e colelitiase, pois pode se tratar de dor referida) – INIBIDOR DE BOMBA DE PROTONS – DIMETICONA – ESCOPOLAMINA
DOR TORÁCICA PSICOGÊNICA • DIAGOSTICO DE EXCLUSÃO – ANSIOLITICOS – ANTIDEPRESSIVOS.
Dor Torácica ANGINOSA POT. CATÁSTROFICA TEP PNEUMO TORAX ROT. ESOFÁGICA • Pericardite TGI LITIASE BILIAR; PANCREATITE; DRGE SCASST IAM COM SUPRA Dissecção Aorta MUSCULAR
ANGINOSA IAM COM SUPRA SCASST ECG ISQUEMICO ENZIMAS SUPRA TESTE PROVOCATIVO TERAPIA ANTI ISQUEMICA ANALGESIA ANTIAGREGANTE ANTITROMBÓTICA ATC 1ª TROMBOLITICO UTI • UCO ECG E ENZIMAS NORMAIS APÓS 12 H E SEM DOR NEGATIVO POSITIVO
DOR TORÁCICA POT. CATÁSTROFICA ECG; ECOTT AINES; CORTICOIDE ECOTT; ECO TE ANGIO TC TEP PNEUMO TORAX ROT. ESOFÁGICA ESCORE RAIO X WELLS; TC DE TORAX ECOTT DOPPLER MMII TC HELICOIDAL OBS DRENAGEM TIPO A TIPO B CIRUR CLINICO GICO HEPARINA TROMBOLITICO TROMBOEMB. RAIO X; TC DE TORAX EDA ANTIBIOTICO CIRURGIA • Pericardite Dissecção Aorta
Dor Torácica MUSCULAR TGI PSICOGÊNICA TC DE ABD; USG ABD LITIASE BILIAR; PANCREATITE; DRGE • DIPIRONA AINES TRAMADOL OPIÓIDE*
DOR TORÁCICA • Lembrem-se que nenhum algoritmo ou fluxograma substitui o julgamento clínico • Algoritmos, fluxogramas e rotinas norteiam, são trilhas que nos orientam mas não são trilhos • “Mais vale o bom senso que o consenso” • Reavaliar sempre
BIBLIOGRAFIA SUGERIDA • NICOLAU, J. C. ; TIMERMAN, A. ; PIEGAS, L. S. ; MARIN-NETO, J. A. ; RASSI, A. JR. Guidelines forn Unstable Angina and Non-ST-Segment Elevation Myocardial Infarction of the Brazilian Society of Cardiology (II Edition, 2007). Arq Bras Cardiol , 89 (4): e 89 -e 131, 2007. • PIEGAS, L. S. ; FEITOSA, G. ; MATTOS, L. A. ; NICOLAU, J. C. ; ROSSI NETO, J. M. ; TIMERMAN, A. et al. Sociedade Brasileira de Cardiologia. Diretriz da Sociedade Brasileira de Cardiologia sobre Tratamento do Infarto agudo do Miocárdio com Supradesnível do Segmento ST. Arq Bras Cardiol. 93(6 supl. 2): e 179 -e 264, 2009. • MARTINS, HERLON SARAIVA et al. Emergências clínicas: abordagem prática. 3. ed. ampl. e rev. Barueri, SP: Manole, 2007. • MCPHEE, STEPHEN J; PAPADAKIS, MAXINE A. Current: Medical Diagnosis e Tratamento. 50 th ed. [S. l. ]: Mc. Graw-Hill, 2011.
• OBRIGADO