How to Read a Head CT or How

























































































- Slides: 89
How to Read a Head CT (or “How I learned to stop worrying and love computed tomography”) 1
Andrew D. Perron, MD, FACEP EM Residency Program Director Department of Emergency Medicine Maine Medical Center Portland, ME 2 Andrew D. Perron, MD, FACEP
Head CT • Has assumed a critical role in the daily practice of Emergency Medicine for evaluating intracranial emergencies. (e. g. Trauma, Stroke, SAH, ICH). • Most practitioners have limited experience with interpretation. • In many situations, the Emergency Physician must initially interpret and act on the CT without specialist assistance. 3 Andrew D. Perron, MD, FACEP
Head CT • Most EM training programs have no formalized training process to meet this need. • Many Emergency Physicians are uncomfortable interpreting CTs. • Studies have shown that EPs have a significant “miss rate” on cranial CT interpretation. 4 Andrew D. Perron, MD, FACEP
Head CT • In medical school, we are taught a systematic technique to interpret ECGs (rate, rhythm, axis, etc. ) so that all aspects are reviewed, and no findings are missed. 5 Andrew D. Perron, MD, FACEP
Head CT • The intent of this session is to introduce a similar systematic method of cranial CT interpretation, based on the mnemonic… 6 Andrew D. Perron, MD, FACEP
Head CT “Blood Can Be Very Bad” 7 Andrew D. Perron, MD, FACEP
Blood Can Be Very Bad • Blood • Cisterns • Brain • Ventricles • Bone 8 Andrew D. Perron, MD, FACEP
Blood Can Be Very Bad • Blood • Cisterns • Brain • Ventricles • Bone 9 Andrew D. Perron, MD, FACEP
Blood Can Be Very Bad • Blood • Cisterns • Brain • Ventricles • Bone 10 Andrew D. Perron, MD, FACEP
Blood Can Be Very Bad • Blood • Cisterns • Brain • Ventricles • Bone 11 Andrew D. Perron, MD, FACEP
Blood Can Be Very Bad • Blood • Cisterns • Brain • Ventricles • Bone 12 Andrew D. Perron, MD, FACEP
CT Scan Basics • Introduced in 1974 by Sir Jeffrey Hounsfield. • The original “Siretom” Circa 1974 13 Andrew D. Perron, MD, FACEP
CT Scan Basics • A CT image is a computer-generated picture based on multiple x-ray exposures taken around the periphery of the subject. • X-rays are passed through the subject, and a scanning device measures the transmitted radiation. • The denser the object, the more the beam is attenuated, and hence fewer x-rays make it to the sensor. 14 Andrew D. Perron, MD, FACEP
CT Scan Basics • The denser the object, the whiter it is on CT – Bone is most dense = + 1000 Hounsfield U. – Air is the least dense = - 1000 H Hounsfield U. 15 Andrew D. Perron, MD, FACEP
CT Scan Basics: Windowing Focuses the spectrum of gray-scale used on a particular image. 16 Andrew D. Perron, MD, FACEP
2 Sheet Head CT 17
Posterior Fossa • Brainstem • Cerebellum • Skull Base –Clinoids –Petrosal bone –Sphenoid bone –Sella turcica –Sinuses 18 Andrew D. Perron, MD, FACEP
CT Scan 19 Andrew D. Perron, MD, FACEP
CT Scan 20
Sagittal View 21
Cisterns 22 Andrew D. Perron, MD, FACEP
CT Scan 23 Andrew D. Perron, MD, FACEP
Brainstem Lateral View 24 Andrew D. Perron, MD, FACEP
nd 2 25 2 nd Key Level Sagittal View Andrew D. Perron, MD, FACEP
Cisterns at Cerebral Peduncles Level 26 Andrew D. Perron, MD, FACEP
CT Scan 27 Andrew D. Perron, MD, FACEP
Suprasellar Cistern 28 Andrew D. Perron, MD, FACEP
CT Scan 29
rd 3 30 Key Level Sagittal View Andrew D. Perron, MD, FACEP
Cisterns at High Mid-Brain Level 31 Andrew D. Perron, MD, FACEP
CT Scan 32
Ventricles 33 Andrew D. Perron, MD, FACEP
CSF Production 34 • Produced in choroid plexus in the lateral ventricles Foramen of Monroe IIIrd Ventricle Acqueduct of Sylvius IVth Ventricle Lushka/Magendie • 0. 5 -1 cc/min • Adult CSF volume is approx. 150 cc’s. • Adult CSF production is approx. 500700 cc’s per day. Andrew D. Perron, MD, FACEP
CT Scans 36 Andrew D. Perron, MD, FACEP
Trauma Pictures 37
PATHOLOGY 38
B is for Blood • 1 st decision: Is blood present? • 2 nd decision: If so, where is it? • 3 rd decision: If so, what effect is it having? 39 Andrew D. Perron, MD, FACEP
B is for Blood • Acute blood is bright white on CT (once it clots). • Blood becomes isodense at approximately 1 week. 40 • Blood becomes hypodense at approximately 2 weeks.
B is for Blood • Acute blood is bright white on CT (once it clots). • Blood becomes isodense at approximately 1 week. 41 • Blood becomes hypodense at approximately 2 weeks.
B is for Blood • Acute blood is bright white on CT (once it clots). • Blood becomes isodense at approximately 1 week. 42 • Blood becomes hypodense at approximately 2 weeks.
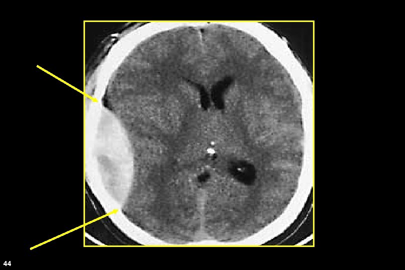
Epidural Hematoma • Lens shaped • Does not cross sutures • Classically described with injury to middle meningeal artery • Low mortality if treated prior to unconsciousness ( < 20%) 43 Andrew D. Perron, MD, FACEP
CT Scan 44
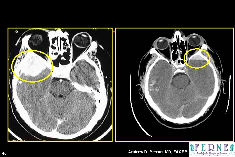
CT Scans 45 Andrew D. Perron, MD, FACEP
Subdural Hematoma 46 • Typically falx or sickleshaped. • Crosses sutures, but does not cross midline. • Acute subdural is a marker for severe head injury. (Mortality approaches 80%) • Chronic subdural usually slow venous bleed and well tolerated. Andrew D. Perron, MD, FACEP
CT Scan 47 Andrew D. Perron, MD, FACEP
CT Scan 48 Andrew D. Perron, MD, FACEP
Subarachnoid Hemorrhage 49 Andrew D. Perron, MD, FACEP
Subarachnoid Hemorrhage • Blood in the cisterns/cortical gyral surface – Aneurysms responsible for 75 -80% of SAH – AVM’s responsible for 4 -5% – Vasculitis accounts for small proportion (<1%) – No cause is found in 10 -15% – 20% will have associated acute hydrocephalus 50 Andrew D. Perron, MD, FACEP
CT Scan Sensitivity for SAH • 98 -99% at 0 -12 hours • 90 -95% at 24 hours • 80% at 3 days • 50% at 1 week • 30% at 2 weeks ØDepends on generation of scanner and who is reading scan. 51 Andrew D. Perron, MD, FACEP
CT Scan 52 Andrew D. Perron, MD, FACEP
CT Scan 53 Andrew D. Perron, MD, FACEP
Intraventricular/ Intraparenchymal Hemorrhage 54 Andrew D. Perron, MD, FACEP
CT Scan 55 Andrew D. Perron, MD, FACEP
C is for CISTERNS (Blood Can Be Very Bad) • 4 key cisterns – Circummesencephalic – Suprasellar – Quadrigeminal – Sylvian 56 Andrew D. Perron, MD, FACEP
Cisterns • 2 Key questions to answer regarding cisterns: – Is there blood? – Are the cisterns open? 57 Andrew D. Perron, MD, FACEP
58 Andrew D. Perron, MD, FACEP
59 Andrew D. Perron, MD, FACEP
60 Andrew D. Perron, MD, FACEP
B is for BRAIN (Blood Can Be Very Bad) 61 Andrew D. Perron, MD, FACEP
62 Andrew D. Perron, MD, FACEP
Tumor 63 Andrew D. Perron, MD, FACEP
Atrophy 64 Andrew D. Perron, MD, FACEP
Abscess 65 Andrew D. Perron, MD, FACEP
Hemorrhagic Contusion 66 Andrew D. Perron, MD, FACEP
67 Andrew D. Perron, MD, FACEP
68 Andrew D. Perron, MD, FACEP
Mass Effect 69 Andrew D. Perron, MD, FACEP
Stroke 70 Andrew D. Perron, MD, FACEP
71 Andrew D. Perron, MD, FACEP
72 Andrew D. Perron, MD, FACEP
Intracranial Air 73 Andrew D. Perron, MD, FACEP
Intracranial Air 74 Andrew D. Perron, MD, FACEP
Intracranial Air 75 Andrew D. Perron, MD, FACEP
V is for VENTRICLES (Blood Can Be Very Bad) 76 Andrew D. Perron, MD, FACEP
77 Andrew D. Perron, MD, FACEP
78 Andrew D. Perron, MD, FACEP
Ex-Vacuo Phenomenon 79 Andrew D. Perron, MD, FACEP
80 Andrew D. Perron, MD, FACEP
81 Andrew D. Perron, MD, FACEP
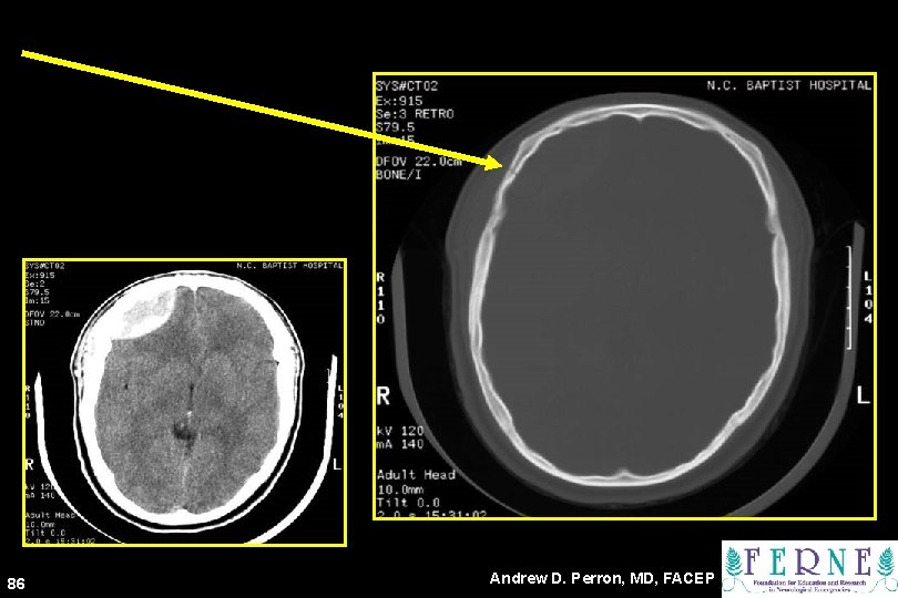
BONE 82 Andrew D. Perron, MD, FACEP
83 Andrew D. Perron, MD, FACEP
84 Andrew D. Perron, MD, FACEP
85 Andrew D. Perron, MD, FACEP
86 Andrew D. Perron, MD, FACEP
Three Stooges 87
Blood Can Be Very Bad If no blood is seen, all cisterns are present and open, the brain is symmetric with normal graywhite differentiation, the ventricles are symmetric without dilation, and there is no fracture, then there is no emergent diagnosis from the CT scan. 88 Andrew D. Perron, MD, FACEP
RIP 89
Questions www. ferne. org ferne@ferne. org Andrew D. Perron, MD, FACEP perroa@mmc. org (207) 662 -7015 ferne_acep_2005_spring_perron_ich_bcbvb. ppt 90 12/7/2020 4: 05 AM Andrew D. Perron, MD, FACEP