How to Advance Your Career in Interventional Cardiology

  • Slides: 43
Download presentation
How to Advance Your Career in Interventional Cardiology: Why Andreas Gruentzig was so successful

How to Advance Your Career in Interventional Cardiology: Why Andreas Gruentzig was so successful Spencer B. King, III, MD President St Joseph’s Heart and Vascular Institute Professor Emeritus Emory University Atlanta

DISCLOSURES Spencer B. King, III, MD No conflicts

DISCLOSURES Spencer B. King, III, MD No conflicts

What can you learn from Gruentzig’s successes and failures?

What can you learn from Gruentzig’s successes and failures?

Gruentzig’s Path

Gruentzig’s Path

Is non-traditional education an option for you?

Is non-traditional education an option for you?

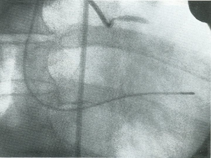
The first coronary angioplasties in Zurich • Stiff wire with a C-shaped tip introduced

The first coronary angioplasties in Zurich • Stiff wire with a C-shaped tip introduced through a plastic catheter (arrow) into the leg artery of a dog

Keep it simple

Keep it simple

The first coronary angioplasties in Zurich • Gruentzig’s famous kitchen table, where the first

The first coronary angioplasties in Zurich • Gruentzig’s famous kitchen table, where the first balloon catheters were • fabricated

Know it when you see it

Know it when you see it

Establishing Collaborations

Establishing Collaborations

 • Martin Kaltenbach

• Martin Kaltenbach

The first coronary angioplasties in Zurich • Initial site of Schneider Medintag in the

The first coronary angioplasties in Zurich • Initial site of Schneider Medintag in the late 1970 s, at the time the only producer of coronary angioplasty balloons

Sharing Credit

Sharing Credit

The first coronary angioplasties in Zurich • Photograph of the cases jotted down on

The first coronary angioplasties in Zurich • Photograph of the cases jotted down on the blackboard by Gruentzig during the last live course in Zurich, Switzerland, in

Mentoring

Mentoring

Being innovative

Being innovative

Delegating Authority

Delegating Authority

Being a physician

Being a physician

Andreas Gruentzig in Atlanta

Andreas Gruentzig in Atlanta

Failures

Failures

Willingness to Relinquish Control

Willingness to Relinquish Control

“If I have an enemy, I will teach him angioplasty. ” Andreas R. Gruentzig,

“If I have an enemy, I will teach him angioplasty. ” Andreas R. Gruentzig, MD

For patients, safety came first. For himself, not necessarily.

For patients, safety came first. For himself, not necessarily.

Andreas Gruentzig in Atlanta

Andreas Gruentzig in Atlanta

Conclusion: How to succeed like Andreas Gruentzig? It’s simple. 1. 2. 3. 4. 5.

Conclusion: How to succeed like Andreas Gruentzig? It’s simple. 1. 2. 3. 4. 5. Have a brilliant, organized mind Be driven Identify unmet needs Invent a transforming technology Be charismatic

Or, find your own path.

Or, find your own path.