How do you look at chest x ray

  • Slides: 82
Download presentation

How do you look at chest x ray? Avoid tunnel vision

How do you look at chest x ray? Avoid tunnel vision

* bones; lesions or fractures * soft tissue ; mastectomy or soft tissue tumors

* bones; lesions or fractures * soft tissue ; mastectomy or soft tissue tumors

 * trachea ; position & caliber * hila : lymphadenopathy * mediastinum contour

* trachea ; position & caliber * hila : lymphadenopathy * mediastinum contour : ? mass * heart : cardiac configuration Mediastinum, heart and hila

 opacity or lucency lungs

opacity or lucency lungs

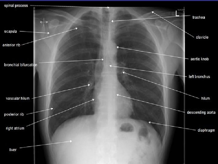
How to read a chest x ray ? • 1 - chest wall, bones

How to read a chest x ray ? • 1 - chest wall, bones and abdomen * bones; lesions or fractures * soft tissue ; mastectomy or soft tissue tumors • 2 - heart and mediastinum * trachea ; position & caliber * hila : lymphadenopathy * mediastinum contour : ? mass * heart : cardiac configuration • 3 - lungs opacity or lucency

Body habitus

Body habitus

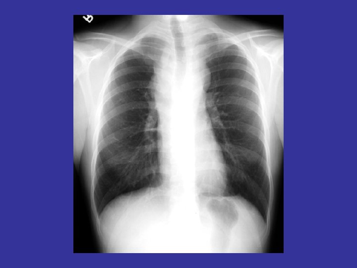
Right ventricular enlargement

Right ventricular enlargement

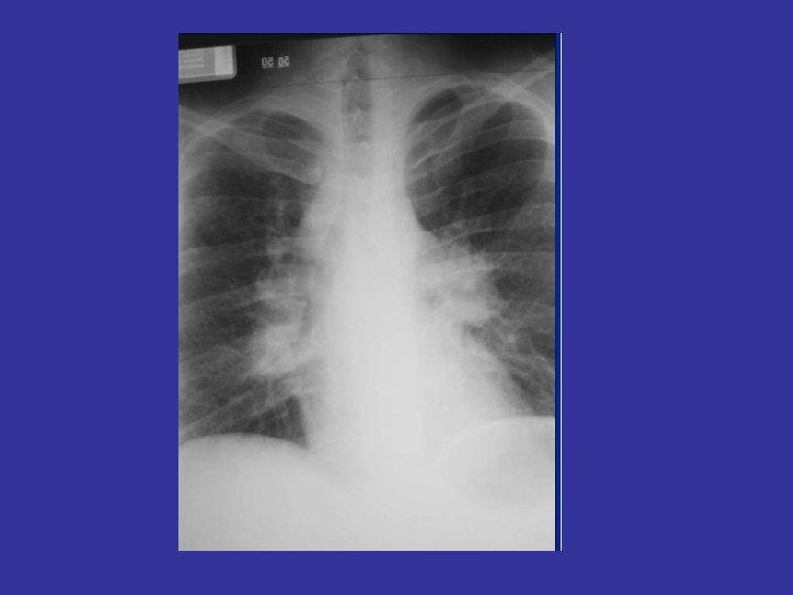
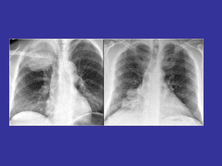
Left atrial enlargement in mitral stenosis

Left atrial enlargement in mitral stenosis

Left atrial enlargement

Left atrial enlargement

Lobes and Fissures

Lobes and Fissures

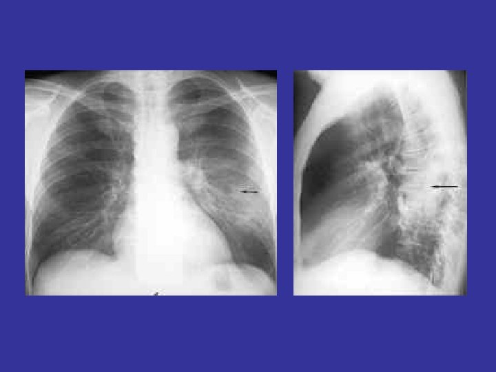
A A This patient has a pleural effusion extending into the fissure. B

A A This patient has a pleural effusion extending into the fissure. B

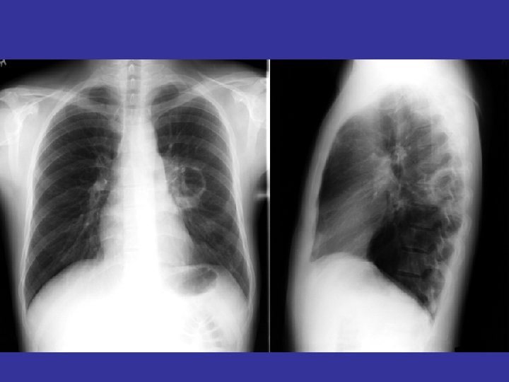
lateral view ? ! can detect otherwise hidden masses

lateral view ? ! can detect otherwise hidden masses

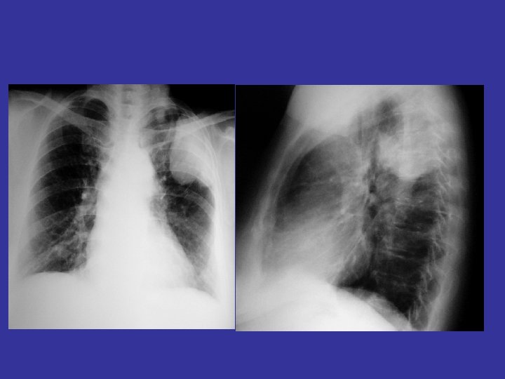
Beware of tunnel vision

Beware of tunnel vision

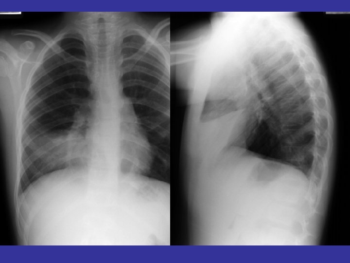
The lateral chest film our best friend • Find abnormalities on the frontal film

The lateral chest film our best friend • Find abnormalities on the frontal film • Confirm abnormalities suspected from frontal film • Don’t be afraid to look at it