HOSPITAL DE TRAUMATOLOGA Y ORTOPEDIA LOMAS VERDES IMSS






























- Slides: 30
HOSPITAL DE TRAUMATOLOGÍA Y ORTOPEDIA LOMAS VERDES IMSS FRACTURAS DE MUÑECA Y ANTEBRAZO HOSPITAL ESPAÑOL IMAGENOLOGIA DIAGNÓSTICA Y TERAPÉUTICA
INTRODUCCIÓN Consideradas como una unidad funcional, la muñeca y la mano son el lugar más común de traumatismos de todo el esqueleto. Mecanismos de lesión Caída con mano extendida – dorsiflexión de la articulación Grado de desviación cubital o radial y de pronosupinación de la muñeca Factores que determinan tipo de lesión Severidad del traumatismo Edad
INTRODUCCIÓN + Comunes: -Fx del extremo distal del cúbito (EDC) -Fx del extremo distal del radio (EDR) Niños Fx metafisiarias del radio y cúbito Adolescentes Separación de la fisis del radio Adultos jóvenes Fx de escafoides Adultos y ancianos Fx del EDR (asociadas o no a fx EDC)*
MÉTODOS DE ESTUDIO • Rx Convencional • Proyecciones: PA (dorso palmar) Lateral Oblicua externa PA con desviación cubital • TC (traumatismos agudos, fx ocultas ó complejas del carpo y metacarpo, fx intraarticulares complejas del radio) • RM
FRACTURAS RADIO CUBITAL DISTAL
FX RADIOCUBITAL DISTAL FRACTURAS DEL RADIO DISTAL • Representan el 17% de las fx vistas en urgencias (1/6 parte) • > frec en mujeres con osteoporosis
FX RADIOCUBITAL DISTAL CLASIFICACIONES DE LAS FX RADIOCUBITAL DISTAL • FERNANDEZ Y JUPITER • 1991 • Mecanismo de lesión • Tipo I: Colles y Smith • Fuerzas tensiles volares o dorsales • Tipo II: Barton dorsal y volar • Fx por cizallamiento de la superficie articular • Tipo III. Fx por compresión. • Tipo IV: • Fx por avulsion asociadas con luxacion radiocarpal • Tipo V: • de alta velocidad
FX RADIOCUBITAL DISTAL Clasificación de Melone (intra-articular) TIPO II Mínimo desplazamiento IIA: Desplazamiento dorsal IIB: Fractura tipo die punch con impactación del semilunar TIPO III Se adhiere un pico de fragmento de la metáfisis del radio TIPO IV Separación ó rotación dorsal o palmar de un fragmento medial y separación de la articulación distal del radio TIPO V Fractura de explosión con la trituración de las superficies articulares de la diáfisis.
FX RADIOCUBITAL DISTAL Tipo IIB Tipo II-B
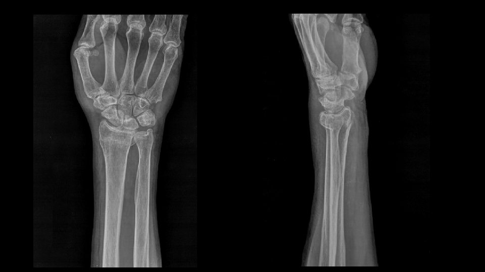
FX RADIOCUBITAL DISTAL FRACTURA DE COLLES O DE POUTEAU • Lesión traumatica mas frecuente de antebrazo distal. • > mujer, > 50 años. • Mano en dorsiflexion y antebrazo en pronación.
FX RADIOCUBITAL DISTAL FRACTURA DE COLLES • Fractura transversa de la metafisis distal del radio a 2 o 3 cm de la superficie articular. • Deformidad en dorso de tenedor. • 50 -60% asociado a fx del proceso estiloideo cubital.
FX RADIOCUBITAL DISTAL Variantes de la alineación de la Fractura de Colles
FX RADIOCUBITAL DISTAL
FX RADIOCUBITAL DISTAL FRACTURA DE COLLES COMPLICACIONES • Reducción inestable. • Subluxación o luxación de la articulación radio cubital. • Compresión del nervio mediano y radial. • Atrapamiento de tendones flexores. • Distrofia simpático refleja. • Osteolisis postraumática del cubito
FX RADIOCUBITAL DISTAL FRACTURA DE SMITH Colles invertida. Poco frecuente. Jóvenes Caida sobre el dorso de la mano o por un golpe directo en flexion palmar. • Fracturas metafisarias o epifisarias del radio distal con desplazamiento, angulación e impactacion volar del fragmento distal. • •
FX RADIOCUBITAL DISTAL CLASIFICACIÓN DE LAS FRACTURAS DE SMITH
FX RADIOCUBITAL DISTAL FRACTURA DE BARTON • Dorsiflexion y pronación del antebrazo con muñeca estática (accidentes de moto). • Fx intraarticular del radio distal. • Fx del reborde dorsal del extremo distal del radio que se dirige oblicuamente hasta el borde radiocarpiano. • El fragmento radial se desplaza dorsalmente y se acompaña de desplazamiento dorsal del carpo.
FX RADIOCUBITAL DISTAL FRACTURA INVERSA DE BARTON • Es > frec que la de Barton • Cuando la fx afecta el reborde volar de radio distal, con extensión intraarticular y desplazamiento volar del carpo. • Subluxación del carpo.
FRACTURA HUNCHINSON • Del conductor • Fractura intra articular de la base del estiloides radial que se extiende desde el margen radial hasta la ARC. • Impactacion del escafoides contra el estiloides radial o por avulsión del LLR o de los LRC. FX RADIOCUBITAL DISTAL
FX RADIOCUBITAL DISTAL FRACTURA DIE-PUNCH • Fx intraarticular de la carilla del radio que se articula con el semilunar. • Se produce por impactacion de semilunar contra el radio con depresion de la superficie articular. • Afectan al borde dorsal de la carilla mas que al volar.
FX RADIOCUBITAL DISTAL FRACTURA DIE-PUNCH
FRACTURA-LUXACION DE GALEAZZI O LESION DE MONTEGGIA INVERTIDA • Poco frecuente • Caida con la mano extendida y el antebrazo en pronación marcada o por un golpe en la cara dorsolateral de la muñeca. • Asociación de una fx transversa u oblicua de la diafisis distal del radio, extendiendose en ocasiones hasta la ARC, con una luxacion o subluxacion de la ARCD. • Extremo próximal del fragmento distal presenta desplazamiento dorsal. FX RADIOCUBITAL DISTAL
FX RADIOCUBITAL DISTAL FRACTURA DE BENNET • Por una fuerza aplicada a lo largo del eje del 1 er dedo con el metacarpiano parcialmente flexionado (golpe con el puño cerrado) • Fx del extremo próximal del 1 er metacarpiano, que se extiende hasta la 1 era ACMC. • .
FX RADIOCUBITAL DISTAL FRACTURA DE ROLANDO • Fractura de Bennet conminuta. • Línea de fx con forma de Y, V o T.