Hodgkins lymphoma Rakesh Biswas MD Professor Department of
Hodgkin’s lymphoma Rakesh Biswas MD, Professor, Department of Medicine, People's College of Medical Sciences, Bhanpur, Bhopal, India
A 25 year old lady 1 month of evening rise of temperature, night sweats and noticed a lump in her neck On examination pallor, generalized lymphadenopathy, hepatosplenomegaly
I wasn't feeling well, still couldn't shake the cold that had been plaguing me for what seemed like months. But all in all, not feeling too bad, either.
It is required that anybody teaching in the schools have a clear tuberculosis record. After waiting several minutes, the nurse read my test site. She said it seemed to her there was a little swelling that shouldn't be there, and she asked me to wait and see the doctor.
I started to get a little bit nervous, I mean, Tuberculosis? Was that possible? The doctor brought me into her room and she examined me, and she said she could feel tumors in my neck. Had I noticed them?
Lymphoma l Clonal malignant disorders that are derived from lymphoid cells: either precursor or mature T-cell or B-cell l Majority are of B- cell origin Divided into 2 main types : 1. Hodgkin’s lymphoma 2. Non - Hodgkin’s lymphoma l
Hodgkin’s Disease Histologically & clinically a distinct malignant disease l Predominantly, B-cell disease l Course of the disease is variable, but the prognosis has improved with modern treatment l
Etiology l ? Infection – EBV l ? Environmental factors
REAL* Classification l Classic: l Nodular Sclerosis l Lymhocyte rich l Mixed Cellularity l Lymhocyte depleted l Non-Classic l Nodular Lymphocyte predominant *REAL – Revised European, American, lymphoma
Clinical features l Bimodal age distribution : l young adults ( 20 -30 yrs) & elderly (> 50 yrs) May occur at any age M>F l Lymphadenopathy: l l most often cervical region l asymmetrical, discrete l painless, non-tender l elastic character on palpation ( rubbery) l not adherent to skin l fluctuate in size
Contiguous spread via the lymphatic chain eg. involvement of abdominal & thoracic LNs l Extra nodal disease - rare l Hepatospleenomegaly l
Constitutional symptoms ( B symptoms ) l Night sweats, l sustained fever > 38 degree celsius, l loss of weight >10% of body weight in 6 mo l Fever sometimes cyclical (‘Pel-Ebstein fever’) l Pain at the site of disease after drinking alcohol l Pallor l Pruritis l Symptoms of Bulky (>10 cm) disease l
A zillion tests were done, blood drawn a zillion times, a zillion questions by a million doctors. Finally it was decided they would have to perform a biopsy on one of the tumors to get a diagnosis.
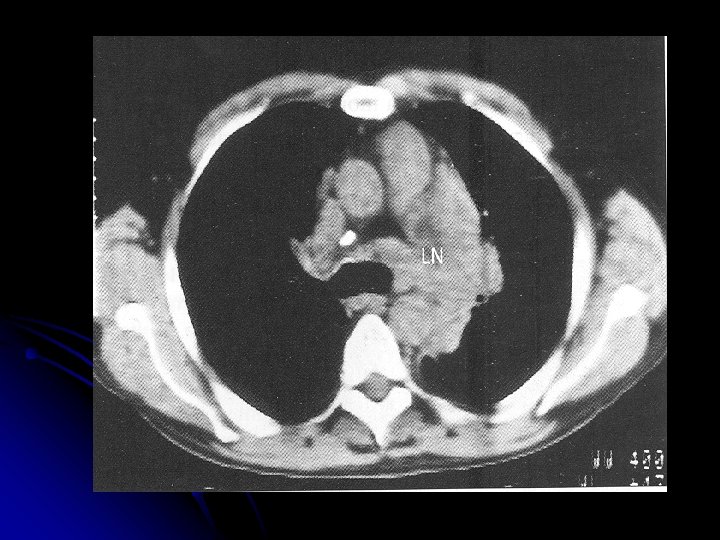
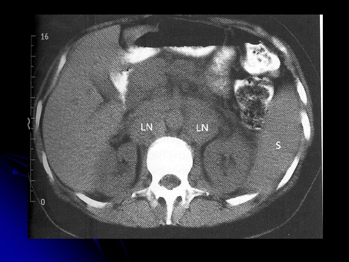
Investigations l l l l l CBP : Anemia ( normochromic / normocytic), eosinophilia, neutrophilia, lymphopenia ESR -raised LFT- (liver infil / obs at porta hepatis) RFT- prior to treatment Urate , Ca, LDH - adverse prognosis CXR- mediastinal mass CT thorax / abdomen / pelvis-for staging Other: Gallium scan, PET, Lymphangiography , Laporotomy
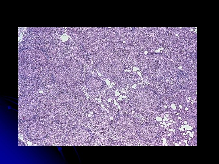
l LN FNAC / biopsy : l Malignant REED-STERNBERG ( RS) Cell: Binucleate cell with a prominent nucleolus. Derived from B cell, at an early stage of differentiation l Reactive background of eosinophils, lymphocytes, plasma cells l Fibrous tissue
The operation was done on February third, my boyfriend's birthday. I made him a card out of paper I had… Hard to celebrate your boyfriend's birthday while getting ready to get operated on.
REED-STERNBERG ( RS ) Cell
REED-STERNBERG ( RS) Cell
The X-ray technician came out again, looking for me. "We're not ready for you yet, the Doctors are still reading your chart, but we wanted to make sure you didn't leave. Just wait a few minutes and the doctor will be out to talk to you. "
I've read in novels the expression "my heart sank" but I'm not sure I ever really felt that sort of thing until just about then. I'd been telling myself there was nothing to worry about, all was ok, but this was a clear cut sign that something was very wrong
>10 cm Bulky disease
Lymphangiography
Staging l l Stage I : Involvement of single LN region (I) or extra lymphatic site (IAE ) Stage II : Two or more LN regions involved (II) or an extra lymphatic site and lymph node regions on the same side of diaphragm Stage III : Involvement of lymph node regions on both sides of diaphragm, with (IIIE) or without (III) localized extra lymphatic involvement or involvement of the spleen (IIS) or both (IISE) Stage IV : Involvement outside LN areas (Liver, bone marrow) A : Absence of ‘B’ symptoms B : B symptoms present
I had Stage IVb Hodgkin's Disease, a form of cancer of the lymph nodes. Well, it's sort of hard to describe what hearing something like that does. It seemed impossible that the nodes in my neck, and the masses that were supposedly on my lungs were cancer. How could that be? I just was amazed. I said "this is unbelievable. " and felt more or less detached, numb.
Treatment RT l Chemo l BMT / SCT l Antibody treatment: Rituximab target CD-20 l Supportive l
Treatment - Guidelines l Indications for RT: l Stage I disease l Stage II disease with 3 or lesser areas involved l For Bulky disease l For pressure problems l Indications for CT l All with B symptoms l Stage II disease with >3 areas involved l Stage III and IV disease
Treatment l Stage IA , Stage IIA with 3 or < 3 areas involved: Radiotherapy l Stage IB, Stage II A with > 3 areas , Stage IIB: Chemotherapy every 3 -4 weeks, 6 -8 cycles; either alone, or in combination with radiotherapy l Stage III & IV : Chemotherapy + Radiotherapy ( for bulky disease or palliation of symptoms)
Irradiation fields used in Hodgkin’s Lymphoma
Chemotherapy l MOPP : Nitrogen Mustard, Vincristine (Oncovin), Procarbazine, Prednisolone l ABVD: Adriamycin, Bleomycin, Vinblastine, Dacarbazine l Higher dose for relapse or younger pts with poor prognostic features
After six cycles of chemotherapy, my CT scans still show masses on my chest and in my neck. On July 7, I had a meeting with my doctors, and was told that if I continued with standard chemotherapy, my chances of being cured stand at less than ten per cent.
Prognosis l Overall 10 yr survival – 80% l In long term survivors there is a risk of l secondary malignancy: (leukemia , NHL), Solid ( tumors- Lung, breast l Infections l Cardiac, pulmonary, endocrinal abnormalities
International Prognostic Index (IPI) Age l Advanced stage disease l Performance status l Elevated LDH l Presence of Extra nodal disease l
Non Hodgkin’s lymphoma Incidence is increasing l NHL>HD l Median age of presentation is 65 -70 yrs l M>F l More often clinically disseminated at diagnosis l B-cell-70% ; T-cell-30% l
‘ 1990…Although I had been feeling fine, no different from normal, I was worried about this lump in my neck that I had for several months. I first thought it was just because I had some sort of infection, but it didn't go away.
Clinical features l l Widely disseminated at presentation Nodal involvement: Painless lymphadenopathy, often cervical region is the most common presentation Hepatospleenomegaly Extranodal : Intestinal lymphoma ( abdominal pain, anemia, dysphagia); CNS ( headache, cranial nerve palsies, spinal cord compression) ; Skin, Testis; Thyroid; Lung Bone marrow (low grade): Pancytopenia
§ Systemic symptoms l Sweating, weight loss, itching l Metabolic complications: hyperuricemia, hypercalcemia, renal failure l Compression syndrome: l Gut obstruction l Ascites l SVC obstruction l S/C Compression
'The surgeon took a biopsy of the lump, taking a few cells out with a needle to be looked at under the microscope. When the results came back a few weeks later, he told me that they showed I had non-Hodgkin's lymphoma
Diagnosis and staging Similar to HD plus, l Bone marrow aspirate & trephine l Immunophenotyping : Monoclonal antibodies directed against specific lymphocyte associated antigens B cell antigens ( CD 19, 20, 22); T cell antigens ( CD 2, 3, 5 & 7) l Immunoglobulin determination: Ig G / Ig. M praprotein marker l HIV l
Classification REAL l Clinical / Working Formulation l l Low grade l Inermediate grade l High grade
Classification Proliferation: Course: Symptoms: Treatment: Low grade High grade Low Indolent -ve Not curable High Rapid, fatal(un-Rx) +ve Potentially Curable Staging Similar to HD
Etiology l Cannot be attributed a single cause Chromosomal translocations: (14, 18) l Infection: l l Virus: EBV, HTLV, HHV-8, HIV Bacteria: H. Pylori - Gastric lymphoma Immunology: l l Congenital immunodeficiency, Immunocompromised patients - HIV, organ transplantation t
'When I went back a couple of weeks later, he said that the results showed I had stage I indolent follicular non. Hodgkin's lymphoma, which is a slowgrowing form of the disease. He said that the good news was that only one lymph node was affected and that I had no B symptoms.
So, he suggested that I have radiotherapy on the swollen lymph node in my neck to make it go away. Because I had heard so many stories about how radiotherapy can make you sick and your hair fall out, I was quite worried
'In the end, I didn't have any real side effects, apart from feeling a bit tired, and the lump in my neck went away completely. After a check-up a couple of weeks later, the haematologist told me that I should come back every 6 months for another CT scan to make sure that the non-Hodgkin's lymphoma hadn't come back.
Management l l l Low grade: Asymptomatic : No treatment ; Radiotherapy for localised disease (Stage 1); Chemotheraphy: mainstay is Chlorambucil; Initial response good , but repeated relapses, median survival 6 -10 yrs; l l l Newer: Fludarabine, 2 -Cd. A (Chlorodeoxyadenosine) Monoclonal antibody: Rituximab SCT/BMT
In 1994, when I was between my CT appointments, I found another lump in my neck, so I called up the specialist hospital and they told me to come back early for my next scan. At the same time, they did the bone marrow test and the LDH blood test again.
When I went back to see the haematologist, he told me that they had found… …swollen lymph nodes in my chest and my armpit, as well as my neck, …which really worried me, although he said the disease had not spread to my bone marrow.
Aggressive ( high / intermediate grade): l Chemotherapy: mainstay CHOP -every 3 weeks, at least 6 cycles Cyclophosphamide, Doxorubicin Hydrochloride, Vincristine, Prednisolonone
'We talked about what treatment I should have, and the doctor said that, as I had radiotherapy on my neck before, and now other lymph nodes were involved, I couldn't have the same treatment again. However, he offered me chemotherapy instead, and I was given the treatment over the next six months.
l High risk cases with poor prognostic factors or relapse : High dose chemotherapy combined with autologous BMT / SCT l Monoclonal antibody l With CNS involvement / leukemic relapse : Similar to ALL
Prognosis Low grade : Median survival – 10 yrs l High Grade: l l Increasing age, advanced stage, concomitant disease, raised LDH, T- cell phenotype : Poor prognosis
- Slides: 61