Histosminaire Conjoint Universit de Montral Universit Mc Gill





























- Slides: 29
Histoséminaire Conjoint Université de Montréal / Université Mc. Gill 20 juin 2007 Anne-Laure Rougemont Dr Pierre Brochu CH-07 -02809
Histoire clinique w Fillette de 8 mois, caucasienne w Hépatosplénomégalie dès l’âge de 5 mois w 2 taches café-au-lait (bras et dos)
w Anémie et thrombocytopénie discrètes w Hypoalbuminémie, hypertriglycéridémie w Absence perturbation des tests hépatiques w Lésions hépatiques hypoéchogènes, US w CT-scan et IRM normaux w Péliose ? Hémangiomes ? → Traitement de Prednisone → Normalisation plaquettes et coagulation → Biopsie hépatique, mars et avril 2007
Trichrome Masson
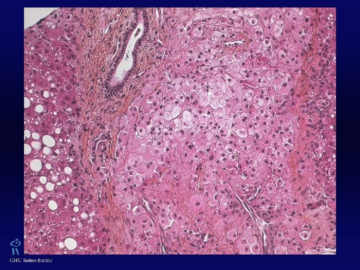
PAS
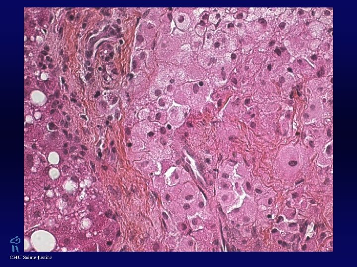
PASD
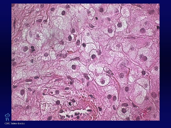
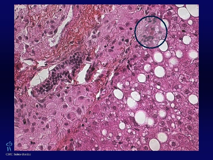
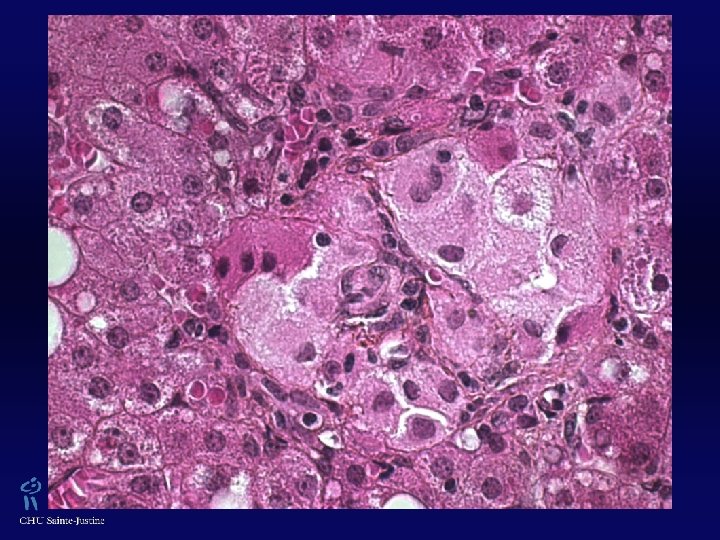
Histiocyte Lysosomes contenant des inclusions denses
Hépatocyte Mitochondries normales Gouttelettes lipidiques Inclusions dans RE d’α-1 -antitrypsine
Hypothèse Maladie Métabolique ? Pathologie de Surcharge ?
Maladie Enzyme Dosage Référence Wolman/CESD Lipase acide 58 66 Gaucher β-Glucosidase 33 16 Sialidose Sialidase 2. 17 1. 92 MPS II Iduronate sulfatase 9. 6 12. 6 Niemann-Pick A et B Sphingomyélinase 8. 0 4. 8 Fucosidose α-Fucosidose 100 99 α-Mannosidose α-Mannosidase 321 218 MPS IVB / Gangliosidose GM 1 β-Galactosidase 365 403 Dosage des acides gras à très longues chaînes : Maladie des peroxysomes également exclue
Hypothèse Histiocytose ?
CD 68 Fascine Facteur XIIIa
CD 1 A Protéine S 100
Proliférations histiocytaires du foie w Population résidente macrophagique w Cellules Kupffer : ↑ nombre, taille, activité suite à divers stimuli locaux ou systémiques (hépatite, sepsis) w Syndrome d’activation macrophagique w Syndromes lymphohistiocytaires héréditaires w Histiocytose de Langerhans w Xanthogranulome juvénile/Xanthome disséminé
Histiocytose de Langerhans w Atteinte hépatique isolée rare w Tropisme biliaire ++ → Cholangite sclérosante → Cirrhose biliaire w Syndrome d’activation macrophagique fréquemment associé w Lésions tardives : histiocytes spumeux S 100 + CD 1 A +
Histiocytoses non-langerhansiennes XGJ Xanthogranulome juvénile Prolifération cellules dendritiques Histiocytose de Langerhans XGJ Xanthome papuleux Maladie de Rosai-Dorfman etc. Prolifération macrophages Syndromes hémophagocytaires Xanthogranulome juvénile Maladie de Rosai-Dorfman
XGJ w Trois types cellulaires : w Cellules mononucléées w Cellules géantes mutinucléées, ± de type cellules de Touton (› lésions cutanées, absentes dans les formes jeunes) w Cellules fusiformes w ± Vacuoles cytoplasmiques, avec aspect xanthomateux w Éosinophiles 0/+++ w Vimentine +, CD 68 +, Facteur XIIa +, Fascine + w Protéine S 100 ± w CD 1 A -, absence de granules de Birbeck (ME)
Xanthogranulome juvénile Age (années) Dehner LP Am J Surg Pathol 2003; 27: 579 -93
XGJ w Lésions cutanées solitaires : 2/3 des cas w › Tête et cou w Nodule ferme ou lésion papuleuse w Tissus mous w Localisation sous-cutanée ou profonde w Tête et cou, thorax, membres supérieurs et inférieurs, pelvis -abdomen w Lésions solitaires non cutanées w Os et moelle osseuse, langue, bronche, glande sous-maxillaire w Atteinte hépatique isolée rare w Lésions cutanées et viscérales w Dehner LP, 2003 : 8 enfants < 2 ans
XGJ – Lésions cutanées et viscérales Forme systémique Dehner LP Am J Surg Pathol 2003; 27: 579 -93 w Traitement : w Régression spontanée w Corticostéroïdes et/ou chimiothérapie
Faits saillants… w Difficulté diagnostique… w Deux biopsies hépatiques nécessaires w Absence d’autre localisation w Association avec NF-1 décrite ! w Deux taches "café-au-lait" w Mutation gène de Neurofibromine (17 q 11. 2) ? w Accumulation d’α-1 -antitrypsine w Dosage sérique normal w Hétérozygote Pi. SZ ? w Accumulation secondaire aspécifique ?
w w w Jaffe R, Ped Dev Pathol 2004; 7: 214 -25 Dehner LP, Am J Surg Pathol 2003; 27: 579 -93 Favara BE et al. , Med Pediatr Oncol 1997; 29: 157 -66 Ishii E et al. , Crit Rev Oncol Hematol 2005; 53: 209 -23 Janssen D et Harms D, Am J Surg Pathol 2005; 29: 21 -8 Cambiaghi S et al. , Pediatr Dermatol 2004; 21: 97 -101