HISTOLOKE TEHNIKE 17012022 alen vukeli dr 1 l





















































- Slides: 53
HISTOLOŠKE TEHNIKE 17/01/2022 alen vukelić, dr 1
l HISTOLOŠKA tehnika podrazumijeva uzimanje malih dijelova tkiva ili organa, fiksaciju i sve oblike pripreme histološkog preparata. 17/01/2022 alen vukelić, dr 2
Cilj histološke tehnike l Napraviti kvalitetan histološki preparat u svrhu mikroskopske analize tkiva. l Najčešće se koristi u patohistologiji, gdje se žele proučiti patološke promjene tkiva na mikroskopskoj razini. 17/01/2022 alen vukelić, dr 3
l Većina bolesti zahtjeva patohistološku analizu i njihova konačna dijagnoza postavlja se tek nakon nalaza patologa. l Ovo se prvenstveno odnosi na neoplazme, autoimune bolesti. . . 17/01/2022 alen vukelić, dr 4
Uzimanje materijala l Kada govorimo o uzimanju materijala najčešće mislimo na BIOPSIJU. l Grč. bios = život, opsis = gledanje. l 17/01/2022 alen vukelić, dr 5
l Kliničari govore o biopsiji kao o određenom operativnom zahvatu i to uglavnom u histološke svrhe. l Definicija : Biopsija je medicinska analiza oboljelog tjelesnog organa na temelju uzorka izrezanog iz živog organizma. 17/01/2022 alen vukelić, dr 6
l Možemo reći da je biopsija specijalni dijagnostički pregled komadića živoga tkiva koji se izvodi u svrhu utvrđivanja njegove građe, sastava i naravi. 17/01/2022 alen vukelić, dr 7
Vrste biopsija l Bioptička punkcija Bioptička aspiracija Probatorna ekscizija l Sternalna ili zdjelična punkcija l l 17/01/2022 alen vukelić, dr 8
Izvedba biopsije l l Biopsija se vrši kao i svaki drugi operativni zahvat pod najstrožim mjerama asepse u lokalnoj ili općoj anesteziji. Za bioptički pregled uzima se komadić tkiva ili iz sredine ili iz mjesta gdje su uočene promjene. 17/01/2022 alen vukelić, dr 9
l Dobiveni komadić tkiva uroni se sterilno u alkohol ili formalin, da se sačuva i da nepromijenjen dođe na histološku obradu. 17/01/2022 alen vukelić, dr 10
Fiksacija l Je postupak kojim se nastoji očuvati struktura tkiva, morfološke značajke i lokalizacija kemijskih tvari u stanju kakvo je bilo “in vivo” l Fiksacija sprečava nekrozu stanice, odnosno autolizu i djelovanje mikroorganizama 17/01/2022 alen vukelić, dr 11
l l Autoliza je proces autodigestije ili “samoprobave”stanice uslijed djelovanja enzima. To su lizosomski enzimi – hidrolaze, koji se oslobađaju nakon pucanja membrane lizosoma 17/01/2022 alen vukelić, dr 12
l Fiksacija se može postići : 1. fizikalnim putem 2. kemijskim putem 17/01/2022 alen vukelić, dr 13
Fizikalna fiksacija tkiva Ne upotrebljava se često. . . To može biti toplina, kao suha pri sušenju preparata Može biti hladnoća, koja sprečava autodigestiju i nekrozu, ali i oštećuje tkivo stvaranjem kristala i volumnim povećanjem vode. 17/01/2022 alen vukelić, dr 14
Kemijska fiksacija tkiva l Najviše se koristi. . . l To su najčešće : pikrinska , octena i kromna kiselina , metalne soli , bikromati , sublimat , alkohol i formaldehid. 17/01/2022 alen vukelić, dr 15
Fisacijom postižemo : l Brzu smrt stanice, da se struktura ne promijeni l Osigurava se mofologija stanice l Priprema se objekt za bojanje 17/01/2022 alen vukelić, dr 16
l Fiksativ mora sačuvati unutarnju strukturu , osobito bjelančevine. l SOL – stanje prelazi u ireverzibilno GEL – stanje, ali tako da po mogućnosti poredak koloidnih čestica ostane nepromijenjen. 17/01/2022 alen vukelić, dr 17
Dobar fiksativ mora : l l l Imati prodornu snagu Djelovati kao dezinficijens Postići da materijal otvrdne Očuvati tkivu afinitet za boje Proizvesti što manje artefakata 17/01/2022 alen vukelić, dr 18
l Fiksacija je proces pri kojem se zbivaju fine kemijske reakcije u tkivu i o tome ovisi kvaliteta histološkog preparata. . . l To može uvelike utjecati na očitavanje histološke slike , a onda i same dijagnoze za pacijenta. 17/01/2022 alen vukelić, dr 19
l Fiksacija se vrši na temperaturi hladnjaka +4 C l Transport materijala od mjesta uzimanja do laboratorija vrši se u termos bocama s ledom. 17/01/2022 alen vukelić, dr 20
17/01/2022 alen vukelić, dr 21
HISTOLOŠKE TEHNIKE 17/01/2022 alen vukelić, dr 22
l Prije uzimanja materijala moramo izabrati fiksativ, a izbor ovisi o vrsti histološke pretrage i o “prirodi” tkiva. l Izbor fiksativa je velik. . . 17/01/2022 alen vukelić, dr 23
l Najčešće je u uporabi – formalin i to kao 10% otopina l To je jednostavan i jeftin fiksativ l Ovo razrijeđenje(10%) dobije se tako da se 1 dio koncentriranog 35 -40%tnog formalina razrijedi s 4 dijela obične vode 17/01/2022 alen vukelić, dr 24
Za složenije postupke upotrebljavaju se mješavine različitih kemikalija l Za histokemijska istraživanja , za masne supstance , upotrebljavaju se fiksativi s vodom. . . l Histokemija istražuje kemiju živih bića na razini mikroskopske struktura l 17/01/2022 alen vukelić, dr 25
l l l Za histokemijska istraživanja, za ugljikohidrate upotrebljavamo fiksative bez vode Za određivanje nuklearnog spola koristi se fiksativ po Barr-u Finija citohistološka i histokemijska istraživanja zahtijevaju mješavine s pikrinskom kiselinom, sublimatom i kloroformom 17/01/2022 alen vukelić, dr 26
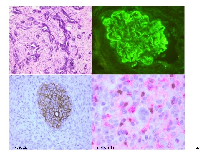
l Imunohistokemijska tehnika omogucava lokalizaciju specificnih antigena u tkivu ili u stanicama zasnovanu na prepoznavanju antigena i protutijela i omogucava vizualizaciju tog kompleksa na mikroskopskoj razini. 17/01/2022 alen vukelić, dr 27
17/01/2022 alen vukelić, dr 28
l Metode molekulske genetike omogućavaju dokazivanje gena metodom in situ hibridizacije odredene genske probe s kompatibilnim genom na histološkom preparatu i mikroskopsku vizualizaciju reakcije u stanicnoj jezgri 17/01/2022 alen vukelić, dr 29
SMRZAVANJE TKIVA Svako se tkivo ne može fiksirati kemijskim sredstvima, pa da bi se moglo rezati mora se SMRZNUTI l l l Temperatura smrzavanja ovisi o vrsti tkiva. Smrznuti rezovi puno su osjetljiviji i oni traju samo par mjeseci dok parafinski traju godinama. Preparat se gleda pod mikroskopom. 17/01/2022 alen vukelić, dr 30
Smrznuti rez l l Intraoperacijska dijagnostika, kao i histokemija enzima i lipida, zahtjeva preparate izrezane iz svježeg tkiva. U tu svrhu rabi se stroj kriostat. U zatvorenoj komori kriostata automatski seodržava niska temperatura (-20°C). Za par sekundi blok svježeg tkiva smrzne se na istu temperaturu i jednako ohladenim mikrotomskim nožem narežu preparati debljine 10 mikrometara. 17/01/2022 alen vukelić, dr 31
– 195, 8 17/01/2022 alen vukelić, dr 32
l Tekući dušik najčešće je korišteni agens. Temperatura mu je – 195, 80 C, a dostupan je kod proizvođača tehničkih plinova, u posebnim metalnim kontejnerima u kojima se može čuvati dva do tri mjeseca. Prije korištenja, tekući dušik ulijeva se u običnu termos bocu u kojoj se može održati cijelog radnog dana. 17/01/2022 alen vukelić, dr 33
17/01/2022 alen vukelić, dr 34
l l l Tkivo se znatno ošteti sporijim smrzavanjem je nastaju ledeni kristali koji oštecuju stanice Nagomilavaju se citoplazmatske strukture i pucaju mitohondriji. Izrezane preparate treba fiksirati u 95% alkoholu. Mogu se cuvati u hladnjaku na +4 °C mjesec dana, ili više mjeseci u tekucem dušiku. 17/01/2022 alen vukelić, dr 35
17/01/2022 alen vukelić, dr 36
l l Osobito je delikatan postupak uzimanja i fiksiranja objekata za elektronsku mikroskopiju. Objekt se neposredno nakon uzimanja stavlja u prefiksativ, pa zatim u fiksativ. Materijal mora biti vrlo malen (glava šibice) Nakon natapanja u prefiksativu izreže se još na manje komadiće 17/01/2022 alen vukelić, dr 37
17/01/2022 alen vukelić, dr 38
ISPIRANJE TKIVA l Nakon fiksacije kemijskim sredstvima, vrši se ispiranje tkiva vodom. Ispiranje vodovodnom vodom. 17/01/2022 alen vukelić, dr 39
HISTOKINET l Nakon ispiranja vodom, tkivo se unosi u Histokinet. l Histokinet je aparat u kojem se vrši DEHIDRATACIJA i BISTRENJE TKIVA. 17/01/2022 alen vukelić, dr 40
17/01/2022 alen vukelić, dr 41
17/01/2022 alen vukelić, dr 42
DEHIDRATACIJA TKIVA - tkivo se dehidratizira u alkoholima rastućih koncentracija l BISTRENJE TKIVA - proces dealkoholiziranja tkiva - vrši se u ksilolu l 17/01/2022 alen vukelić, dr 43
UKLAPANJE (PROŽIMANJE) TKIVA l l l Nakon bistrenja tkivo se stavlja u parafinsku peć (23°C / 2 h). Iz parafinske peći tkivo se uklapa u čisti parafin. Nastaju parafinski blokovi. 17/01/2022 alen vukelić, dr 44
parafinska peć 17/01/2022 alen vukelić, dr 45
17/01/2022 alen vukelić, dr 46
REZANJE TKIVA l l l Parafinski blok za rezanje mora biti ohlađen na -20° C. Rezanje tkiva vrši se aparatom koji se zove MIKROTOM. Reže se na debljinu od 2 mikrometra. Pomoću kistova rez položimo na površinu vode u kupelji i tamo se preparat ispegla. Ispeglan preparat stavlja se na predmetno stakalce koje je obrađeno SILANOM. 17/01/2022 alen vukelić, dr 47
17/01/2022 alen vukelić, dr 48
Rezanje l 17/01/2022 alen vukelić, dr 49
l Rezovi se pohranjuju u posebne kutije i mogu trajati godinama. 17/01/2022 alen vukelić, dr 50
BOJANJE PREPARATA Postoje raznovrsna bojanja tkiva (blokova ili rezova): 1. )Vitalno bojanje 2. ) Rutinsko, standardno bojanje (npr. Hemalaun. Eozin bojanje) 3. ) Specijalno bojanje 4. ) Histokemijske reakcije 5. ) Metakromatsko bojanje 6. ) Impregnacija 17/01/2022 alen vukelić, dr 51
MONTIRANJE PREPARATA Za montiranje preparata koristi se ENTELAN koji se stavlja između predmetnice, reza i pokrovnice. 17/01/2022 alen vukelić, dr 52
MIKROSKOPIRANJE PREPARATA Fiksirane i obojane stanice proučavaju se svjetlosnim mikroskopom. Žive stanice mogu se proučavati uz pomoć mikroskopa s faznim kontrastom. Elektronska obrada slike omogućuje preciznu interpretaciju slike. 17/01/2022 alen vukelić, dr 53