HISTOLOGY OF SALIVARY GLANDS Dr Sobia Ibrahim Assistant
HISTOLOGY OF SALIVARY GLANDS Dr. Sobia Ibrahim Assistant Professor Anatom KEMU
Saliva is produced by �Three major salivary glands �Parotid �Submandibular �Sublingual �Numerous minor salivary glands
� Saliva is a hypotonic watery secretion � It contains � mucous, � Enzymes, � Secretory antibodies, � Inorganic salts. � Daily production is 600 -1500 ml in human
GENERAL STRUCTURE OF SALIVARY GLANDS Ø STROMA Ø Capsule Ø Septa Ø Blood vessels & nerves Ø Ducts Ø Lobule Ø PARENCHYMA Ø Accini Ø Duct system
� Each gland is surrounded by a connective tissue capsule � From capsules, multiple septae are thrown inwards to divide the parenchyma into incomplete lobules � Within each lobule many secretory acini are surrounded by fine loose C. T. � Blood vessels, lymphatic vessels, nerves and excretory ducts travel through septa.
PARENCHYMA � Glands are tubuloacinar variety � Acini consists of secretory cells which have a lumen in middle going to duct � Serous, mucous or mix. � Myoepithelial cells lie between plasmalemma and basal lamina of secretory cells
MUCOUS & SEROUS ACCINI
DUCT SYSTEM Ø INTERCALATED DUCTS Ø Lined by cuboidal epithelium Ø STRIATED DUCT Ø Lined by columnar cells & show Radial striations INTERLOBULAR/ Ø EXCRETORY DUCTS- in CT septa Ø Ø Proximallypseudostratified/stratified cuboidal Ø Distally – stratified columnar Ø MAIN DUCT Ø Non keratinized stratified squamous epithelium
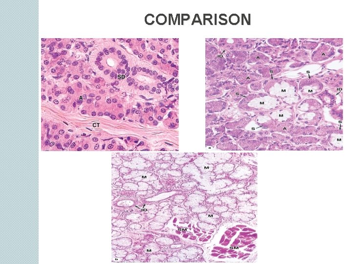
PAROTID GLAND Ø BRANCHED ACCINAR gland Ø SEROUS Ø Striated & intercalated ducts in parenchyma Ø Interlobular duct in CT septa Ø Plasma cells present in CT septa Ø Secretory products has: Ø Amylase Ø Proline- rich protien which has calcium binding properties
SUBMANDIBULAR GLAND Ø BRANCHED TUBULOACCINAR gland Ø Predominantly SEROUS Ø Majority serous accini Ø Mucous accini with serous demilunes-10% Ø Well developed striated ducts Ø Underdeveloped intercalated ducts Ø Secretory products have: Ø Amylase Ø Proline rich protiens Ø Lysozymes
SUBLINGUAL GLAND Ø BRANCHED TUBULOACCINAR gland Ø Predominantly mucous Ø Serous cells only as demilunes Ø Striated & intercalated ducts not well developed Ø Secretory products : Ø Amylase Ø Lysozymes
COMPARISON
MINOR SALIVARY GLANDS Scattered throughout oral mucosa & submucosa � Nonencapsulated � Usually MUCOUS � Exception is von Ebner gland of tongue � Short ducts open on oral mucosa � B lynmphocytes releasing Ig. A common
MEDICAL APPLICATION � Reduced function of major salivary glands due to disease / radiotherapy � RESULTS: ◦ Caries ◦ Atrophy of oral mucosa ◦ Speech difficulties
SEROUS CELL � Pyramidal cells. � Broad end facing the basement membrane and narrow end facing lumen. � 6 -8 in no. � Apex has microvilli � Basal region has rounded nucleus. � Basal region have abundant RER (due to which basal region stain basophilic)and mitochondria. � Apical region : zymogen (secretory) granules , so apical region is acidophilic � Adjacent serous cell joined by junction near apices. � Intercellular canaliculi � FUNCTION: thin and watery secretions
MUCOUS CELL � Tall cuboidal or low columnar cells with basal flattened nuclei. � Apical region has mucinogen granules. � H&E stain mucous poorly so muous cells appear empty. � Well developed golgi apparatus. � E/M: junctional complexes, no intercellular canaliculi. � Cells secrete mucinogen which on contact with water form mucous.
- Slides: 16