HISTOLOGY OF CARTILAGE BONE Dr Punita Manik Department

HISTOLOGY OF CARTILAGE & BONE Dr Punita Manik Department of Anatomy K G Medical Univesity U P Lucknow

Cartilage • Is a firm and flexible type of connective tissue in which the extracellular matrix has a firm consistency

Cartilage Modified Connective tissue. Firm, not rigid Embryologically derived from Mesenchyme. Cells are widely separated by intercellular substance. • Firmness of Cartilage and the hardness of bone is because of the nature of ground substance in them. • Foetal Skeleton- predominantly cartilaginous. • •

Functions • Forms the skeletal framework • Supports regions of the body which require varying degree of flexibility • Provides gliding area for the joint, facilitating movements (in Hyaline Cartilage) • Essential for the growth of long bones (In Hyaline Cartilage)

Cartilage • Avascular • Nourished by diffusion • Limited ability for regeneration • Defects replaced by fibrous tissue • No nerves • No lymphatics • Covered by dense connective tissue sheath -Perichondrium

Types of cartilage • Depending on the Number and Variety of fibres in the matrix, classified • 1 Hyaline cartilage • 2 Fibrocartilage • 3 Elastic Cartilage

Perichondrium • Mesenchymal cells surrounding the developing cartilage form- Perichondrium • Special form of dense irregular connective tissue • Covers the free surface of the cartilage • Rich in fibres, fibroblasts and blood vessels • Since hyaline cartilage is avascular, it gets its nutrition from the perichondrium by simple diffusion • Perichondrium: 2 layers: Outer – Fibrous, Inner. Cellular-chondrogenic cells, undifferentiated flat cells, proliferating and differentiating into chondroblasts

Components • Cells : Chondrogenic cells, Chondroblasts & Chondrocytes • Fibres: Collagen and Elastic • Ground Substance: Acid Mucopolysaccharides (Chondroitin Sulphate)

Cells • Embryonically Cartilage cells- Chondroblasts derived from mesenchymal cells, lie very close to the perichondrium, rich in cell organellae • Chondroblasts- intercellular matrix & Collagen fibres • Chondrocytes are mature chondroblasts – imprisoned within the matrix, seen away from the perichondrium

• Old cells are incapable of multiplication, but secrete an enzyme , Alkaline phosphatase, resulting in calcification of cartilage in old age. • Fibres: Collagen and elastic • Ground Substance: basophilic, metachromatic and PAS positive. Chemically: Mucopolysaccharides, Collagen Type II, electrolytes and Water

• Examples: • • • Hyaline Cartilage Costal Cartilage Tracheal and Bronchial Rings Thyroid and Cricoid Cartilages Articular Cartilage Epiphyseal plates Parts of nasal Septum Parts of Lateral wall of nose Skeletal framework of fetus Articular surface of sesamoid bones ARTICULAR CARTILAGES ARE NOT COVERED BY PERICHONDRIUM

Hyaline Cartilage

Hyaline Cartilage • Hyalos=glass like • Transparent, homogeneous • H/E: Bluish, basophilic matrix • Chondrocytes: large & in isogenous groups • Territorial matrix • Interstitial matrix • Rich in Type II Collagen fibres

Hyaline Cartilage • Chondroblasts: short, small, elongated cells, rich in all cell organellae, usually occuring singly, covered by asac like structure known as Lacunae • Chondrocytes: matured cells , large, less cell organellae, in isogenous groups, seen away from the perichondrium

Hyaline Cartilage

Hyaline Cartilage

Matrix appears Homogeneous : WHY? • Collagen fibrils present in the matrix have same refractive index as that of the ground substance.

Hyaline cartilage has been compared to a TYRE! • Ground Substance =Corresponds to the RUBBER of the tyre resisting Compressive forces • Fibres= corrresponds to the treads of the tyre resisting tensional forces


Elastic cartilage(Yellow Elastic Cartilage) • Similar to Hyaline Cartilage • Matrix rich in Elastic fibres hence the name Elastic Cartilage • H/E: elastic fibres difficult to see. • Clearly visualized on special staining • Surface covered by Perichondrium • Better flexibility than hyaline cartilage, readily recovers its shape

Sites of Elastic Cartilage • Pinna • Lateral part of External Auditory meatus • Medial part of Auditory tube • Epiglottis • Corniculate & Cunneiforms • Apical part of arytenoid • ALL THE SITES MENTIONED ARE CONCERNED EITHER WITH PRODUCTION OR PERCEPTION OF SOUND

Branching Elastic fibres give FLEXIBILITY & SUPPORT

Fibrocartilage(White Fibrocartilage) Great Tensile strength with considersable elasticity • Numerous dense collagen bundles oriented in the direction of functional stress with some fibroblastsn • No perichondrium • Type I Collagen

Fibrocatilage

Sites of Fibrocartilage Intervertebral discs Symphysis pubis Manubriosternal joints Articular discs in temporo-mandibular joints , Sterno-clavicular joints & Menisci of Knee joints • Glenoidal labrum & Acetabular labrum • Deep groves of bone, where tendons ru. • •

MCQ • A section of Hyaline cartilage can be identified by the presence of • 1. Homogenous matrix • 2. Elastic fibres • 3. Collagen fibres • 4. Chondrocytes arranged in row

MCQ • • • Hyaline cartilage is present in 1. Tracheal ring 2. Epiglottis 3. Intervertebral disc 4. Glenoidal Labrum

MCQ • • • Perichondrium is absent in 1. Elastic and Hyaline Cartilage 2. Hyaline Cartilage 3. Fibrocartilage and articular cartilage Costal Cartilage and Ear Pinna

MCQ • Which of the following features is NOT TRUE about cartilage? • 1. Firm and flexible • 2. Highly vascular • 3. Insensitive • 4. Poor in regeneration

Histology of Bone

Bone • Is a rigid form of scleral connective tissue in which the extracellular matrix is impregnated with inorganic salts mainly calcium, phosphate and carbonate, providing hardness Rigidity and hardness is provided by the matrix which is impregnated with inorganic salts

Functions • • • Attachment to muscles Serves as lever for muscular actions Bears body weight Protects vital organs Stores calciuum, phoshate and other ions Contains haemopoietic tissue, the bone marrow

Types of Bones • Morphologically: • Compact Bone • Spongy or cancellous Bone

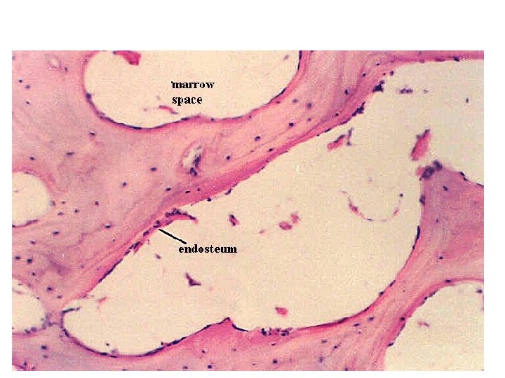
Bone Membranes • Periosteum • Endosteum

Bone Composition • Cells • Fibres • Ground Substance

Structure of Compact Bone • Circumferential System • Periosteal • Endosteal • Haversian System • Interstitial System

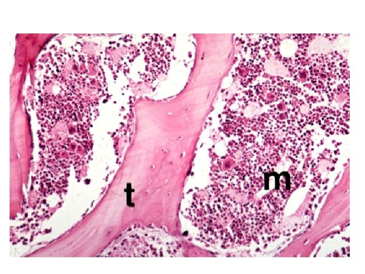
Compact and Spongy bone






Cancellous or Spongy Bone • Slender bony trabeculae that branch and anastomose with one another. • Enclose irregular marrow spaces containing blood vessels and haemopoietic tissue that give rise to new blood vessels. • They receive nutrition from blood vessels in the bone marrow






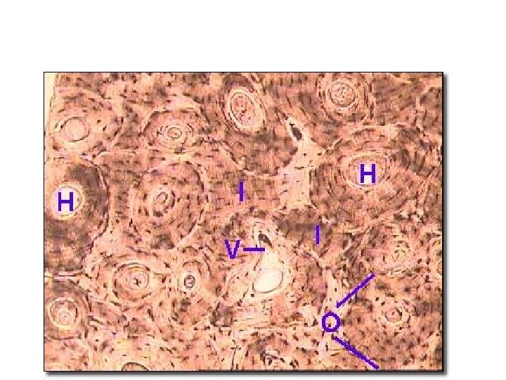
Compact Bone

Compact Bone






MCQ • Periosteum is absent over the following EXCEPT • 1. Articular surface of bone • 2. Sesamoid bone • 3. Site of attachment of tendons and ligaments to the bone • 4. Shaft of long bones

MCQ • Osteocytes may b identified by the presence of • 1. Many Nuclei • 2. Lacuna around the cell • 3. Lysosomes • 4. Ingested particles

MCQ • Alkaline phosphatase activity can be demonstrated in • 1. Osteoblasts • 2. Osteocytes • 3. Osteoclasts • 4. Osteoprogenitor cells

MCQ • Spongy bone can be identified histologically by the presence of • 1. Haversian canal and concentric bony lamellae • 2. Bony trabeculae and marrow cavity • 3. Interstitial Lamellae • 4. Volkmann’s Canal

MCQ • The vitamin necessary for the absorption of calcium from small intestine is • 1. A • 2. B • 3. C • 4. D

MCQ • The epiphyseal plate of a growing bone is made up of • 1. Elastic Cartilage • 2. Hyaline Cartilage • 3. Spongy Bone • 4. Compact Bone
- Slides: 61