Histologie der Zunge und der Zhne Entwicklung der







































- Slides: 39
Histologie der Zunge und der Zähne. Entwicklung der Atemwege Dr. Fehér Erzsébet
CAVUM ORIS TARTALMA · PROCESSUS ALVEOLARIS ÉS A FOGAK ·DORSUM LINGUAE ·DUCTUS PAROTIDEUS NYÍLÁSA ·DUCTUS SUBMANDIBULARIS NYÍLÁSA ·DUCTUS SUBLINGUALIS NYÍLÁSA ·CAVUM ORIS PROPRIUM vs VESTIBULUM ORIS
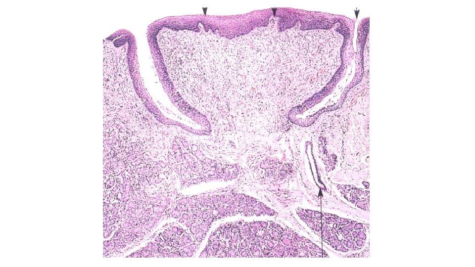
Zunge Radix linguae PARS FOLLICULARIS Sulcus terminalis Corpus linguae Dorsum linguae Apex linguae PARS PAPILLARIS
PAPILLA FILIFORMIS PAPILLA FUNGIFORMIS PAPILLA FOLIATA PAPILLA VALLATA
Papilla fungiformis Papillae filiformes Papilla fungiformis
Tonsillen Waldeyer
ÜBERBLICK DER ZAHNSTRUKTUR facies occlusalis fissura Corona dentis cuspis enamel dentin cavum pulpae gingiva Cervix (collum) dentis Wurzelkanal periodontium Zementum Radix dentis processus alveolaris apex foramen apicale
ZAHNGEWEBETYPEN Enamelum, Substantia adamantina Gingiva Dentin, Substantia eburnea Cementum Periodontium Alveolarknochen
ZAHNHISTOLOGIE ENAMELUM ZAHNSCHMELZ Der Zahnschmelz ist die härteste Substanz des menschlichen Körpers. Er überzieht mantelartig die Zahnkrone und ist nicht regenerationsfähig. (2 -2. 5 mm). Zahnschmelz besteht zu 98% aus Hydroxylapatit und zu 2% aus organischer Substanz+ Wasser ZAHNBEIN SCHMELZPRISMEN
Dentin Pulp
SCHMELZ DENTIN RETZIUS Streifungen Owen (Ebner) Wachstumslinien DEJ
RETZIUS-STREIFEN Wachstumsstreifen, von Schmelz-Dentin Grenze richtung Occlusionsfläche gebogen Auf der Oberfläche: Perikymata Stärkster Streifen: neonataler Streifen (3)– Grenze zw intraembryonal und postnatal angelegter Schmelz-Dentin Grenze SDG Perikymata
SCHMELZPROTEINE Wichtige Rollen Werden in Ameloblasten synthetisiert Entstehung der Mineralisationsfront Steuerung von Schmelzwachstum Sicherung des kontinuerlichen Wachstums von Schmelzkristallen Trennen die Schmelzprismen voneinander Modulieren die Umformung von amorphen Calcium-Phosphat in Hydroxylapatit Studien zeigen, dass Schmelz-Matrix-Proteine die parodontale Regeneration fördern 1. Enamelin - Rolle bei Schmelzmaturation 2. Ameloblastin - Schmelzmatrix Protein 3. Amelotin - zw. Schmelzmatrix und junktionales Epithelium 4. Enamelysin - Matrix Metalloprotease, Schmelzproteine abbau
DENTIN (SUBSTANTIA EBURNEA) Lebendes Gewebe, von Odontoblasten gebildet avaskuläre Kronendentin, Wurzeldentin Zum Knochen ähnlich, härter, gelblich verkalkte Interzellularsubstanz + OB Fortsätze Von Ebnersche Linien: unterschiedliche Verkalkungsdichte Owensche Konturlinien: Krümmung der Dentinkanälchen
ZAHNHISTOLOGIE DENTIN Dentin ist ein 1 - 5 mm dicke Schicht aus knochenähnlichem Material, das von den Odontoblasten lebenslang gebildet werden kann. Es macht den Hauptanteil der Hartsubstanz eines Zahnes aus. Mit Zement oder Enamel überzogen. Azelluläres Gewebe. 65% anorganisch (hidroxiapatit) 35% organisch + Wasser Anteilen: MANTELDENTIN ZIRKUMPULPALES DENTINTUBULI (um den Tomes – fasern) oder peritubuläres dentin) und INTERTUBULÄRES DENTIN. Am Zahnschliff erscheinen: -Ebnersche Streifung (Wachstumslinien) -Owens – Streifung, stärkere E. Str. z. B. linea neonatalis) Strukturmerkmale : - Secundaeres dentin - Reparatives dentin - Sclerotisches dentin
ZAHNHISTOLOGIE Bedeckt den Wurzel Herkunft: Zahnsack 0, 1 -0, 5 mm dick, kann in den Wurzelkanal reichen Knochenähnlich, aber avaskulär Gute Druckfestigkeit Zementozyten TYPEN Azelluläres Zement obere 2/3 der Wurzel, Zementozyten auf der Oberfläche; Verankerung der Sharpey-Fasern Zelluläres Zement untere 1/3 der Wurzel ZEMENTUM
ZAHNPULPA CF: zellfreie Zone (Weil-Zone), Str. subodontoblasticum, Plexus subodontoblasticus aus nicht-myelinisierten Nervenfasern CR: zellreiche Zone CP: zentrale Pulpa (locker)
PULPAL DENTIN JUNCTION dentin tubule dentin OB process predentin OB capillary network cell poor zone cell rich zone fibroblast nerve plexus arteries/veins
NERVEN DER PULPA Myelinisierte Nerven n. trigeminalis (A beta Fasern) Non-myelinisierten Nerven C Fasern Meistens gehören auch zum Trigeminalsystem, Einige fasern gehören zum Sympatisches System Versorgen die arteriolen
PRIMORDIAL TERMS The pharyngeal arches are formed on either side of the foregut and correspond to the primitive vertebral gill bars or branchial arches. A pharyngeal arch consists of 1. core of mesenchyme 2. external ectoderm 3. internal endoderm. The arches are separated - externally by a pharyngeal cleft - internally by a pharyngeal pouch.
THE BRANCHIAL APPARATUS
Embryology of the lungs Week 4 Esophagotracheal ridge foregut Respiratory diverticulum
foregot esophagus trachea Respiratory diverticulum Esophagotracheal ridges Right lung bud Left lung bud
ligamentum pulmonale
Lung bud Pleuropericardial fold Phrenic nerve Common cardinal heart vein Monopodial divisions : Lobar and segmental bronchi Later bipodial or dichotomic division : Over 18 -20 generations prior birth and after birth for further more (1 -10 years!!!)
5 -16 weeks: 1. Pseudoglandular period 1. Pulmonar mesenchym 2. Type II. pneumocyte 3. Capillaries No respiratory bronchioles or alveoli are present
16 -26 week 2. canalicular period Type I pneumocites (1) differentiate from type II pneumocites (2). Capillaries (3) reach the wall of the acini Respiratory bronchioles appear, alveoli are present
26 -36 week 3. Saccular period or terminal sac period More capillaries appear around the acini. The capillaries establish close contact with teh epithelium; common basement memrane develops.
36 week till childhood 4. Alveolar period (prior birth). In the last few weeks of pregnancy few new sacculus and alveloli appear. At birth about 1/3 -rd of the 300 000 alveoli must be matured fully. Although these are a kind of primary alveloli, possessing primary septum which contains parenchyme. . 1. 2. 3. 4. 5. 6. Alveolar duct Primary septum Alveolar sac Type I pneumocyte Type II típusú pneumocyte Capillaries
Alveolar period (after birth) In the first 6 month after birth the primary alveolar septa become secondary septa which contains elastic fibers as well. 1. 2. 3. 4. 5. 6. Alveolar duct Primary septum Alveolar sac Type I pneumocyte Type II típusú pneumocyte Capillaries
Prior birth After birth