HISTOLOGIA DEL SISTEMA OSTEOARTICULAR Esqueleto Se define al








































- Slides: 40
HISTOLOGIA DEL SISTEMA OSTEO-ARTICULAR
Esqueleto Se define al esqueleto como al resultado de la unión coordinada de los elementos óseos propios del cuerpo. Esta estructura armoniosa se constituye como la clave del sistema fisiológico de sostén y locomoción del cuerpo humano.
Encontramos en el cuerpo humano un promedio de 206 huesos Sin contar las piezas dentales La mayor parte de los cuales sirven como soportes para la acción de músculos y tendones, como parte del sistema locomotor.
TIPOS DE HUESO CARACTERISTICAS Clasificación De los huesos en relación con su forma EJEMPLOS LARGOS Presentan una diáfisis entre 2 cabezas, conformado mayormente por tejido óseo compacto a nivel de la diáfisis y tejido óseo esponjoso a en la epífisis Fémur, tibia, peroné, húmero, cúbito y radio, etc PLANOS Tejido óseo compacto, separadas por una capa de tejido óseo esponjoso huesos del carneo, esternón, costillas, escapulas CORTOS Constituidos por tejido óseo esponjoso, excepto en su superficie donde se halla una fina capa de tejido óseo compacto muñeca, tobillo IRREGULARES Tejido óseo y compacto distribuidos en forma variada vértebras, huesos coxales, algunos de la cara y el calcáneo SESAMOIDEOS Se desarrollan dentro de los músculos
Composicion de los huesos: Los 5 tipos de huesos, comparten la misma composición histológica: Mesénquima, presente en el desarrollo embrionario (mesodermo) Cartílago hialino tejido óseo compacto, Tejido óseo esponjoso,
TEJIDO MESENQUIMAL
CARTILAGO El tejido cartilaginoso es una variedad de tejido conjuntivo. Compuesto por una clase de células características llamadas: CONDROCITOS. Y una matriz extracelular especializada. 1 - HIALINO 2 - ELASTICO 3 - FIBROSO
CARTILAGO HIALINO: ◦ ¨ aspecto de hielo ¨. Matriz con fibras colágenas tipo II, proteoglucanos, glucosaminoglicanos, proteínas multiadhesivas y ácido hialurónico. ELASTICO: ◦ Matriz con fibras elásticas y láminas elásticas. No se calcifica durante el envejecimiento FIBROSO: ◦ Predominio de fibras colágenas tipo I. ◦ Menisco
CARTILAGO HIALINO: cartílagos costales, tráquea. ELASTICO: FIBROSO: oído externo, epiglotis. discos intervertebrales.
HUESO OSTEO ….
FUNCIONES DEL TEJIDO OSEO: 1 - Sirve de sostén o contenedor a otros tejidos u órganos del cuerpo humano. 2 - Debido a la acción de los músculos, los huesos actúan como palancas que se desplazan con la fuerza de contracción muscular para permitir el trabajo y la locomoción.
FUNCIONES DEL TEJIDO OSEO: 3 - Contiene a las células precursoras del tejido sanguíneo del adulto, que se ubican en la médula de los huesos largos. 4 - Forma parte del sistema reservorio del calcio corporal.
TEJIDO OSEO Tipos celulares usuales, presentes: ◦ Células osteoprogenitoras: originan otras células óseas ◦ Osteoclastos: erosionan el hueso ◦ Osteoblastos: bajo las láminas de hueso. ◦ Osteocitos: están dentro del hueso ◦ El tejido óseo se clasifica en: 1 - Compacto (denso) 2 - Esponjoso (trabeculado)
TEJIDO OSEO Tipo de tejido conjuntivo que se caracteriza por presentar matriz extracelular mineralizada. Matriz ósea contiene: ◦ colágeno tipo I, ◦ colágeno tipo V, ◦ glucosaminoglicanos, glucoproteinas y sialoproteinas.
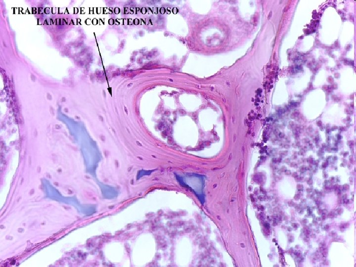
TEJIDO OSEO El hueso maduro está compuesto por unidades estructurales, llamadas osteonas (sistemas de Havers). ◦ Laminillas concéntricas de matriz ósea alrededor de un conducto central. El hueso esponjoso maduro tiene una estructura similar a la del hueso compacto maduro. La irrigación sanguínea del tejido óseo es esencialmente centrífuga.
Tejido óseo compacto.
Tejido óseo esponjoso
INTEGRACION CLINICA Para el crecimiento y mantenimiento del hueso se requiere un aporte adecuado de sustancias tales como: calcio, fósforo, vitamina A, vitamina C y vitamina D. Se requiere de un adecuado balance entre la hormona del crecimiento, las hormonas tiroideas, los estrógenos y los andrógenos. Otras sustancias como las prostaglandinas y los glucocorticoides tienen un efecto importante en el mantenimiento y reparación del tejido óseo.
Articulaciones Se clasifican en: l Fibrosas l Cartilaginosas l Sinoviales.
TIPOS SUTURAS ARTICULACIONES FIBROSAS (Fijas) TEJIDO Tejido conectivo fibroso denso EJEMPLO S sutura coronal SINDESMOSIS Tejido conectivo fibroso denso art. tibioperonea GÓNFOSIS Art. Dentoalveolar Tejido conectivo fibroso denso
Tejido conectivo denso regular
TIPO TEJIDO Sincondrosis Cartílago hialino ARTICULACION CARTILAGINOSA Sínfisis Fibrocartilago EJEMPLO Placa epifisiaria que conecta la epífisis con la diáfisis de un hueso en crecimiento Sínfisis del pubis, discos intervertebrales, meniscos de la rodilla y porciones de tendones que se insertan en el cartílago
Cartilago hialino
TEJIDO EJEMPLO ARTICULACION SINOVIAL Cartílago hialino (cartílago Extremo de los huesos articular) largos, extremo anterior de las costillas, nariz
Cartílago Hialino
TEJIDO EJEMPLO CAPA FIBROSA CAPSULA ARTICULAR *Tejido conectivo irregular denso ARTICULACIÓN DE RODILLA *Tejido conectivo regular denso MEMBRANA SINOVIAL *Tejido conectivo areolar *Tejido Adiposo ARTICULACIÓN DE RODILLA