Histologa digestiva Estructura general del aparato digestivo Histolgicamente




































- Slides: 36
Histología digestiva
Estructura general del aparato digestivo (Histológicamente) Consta de cuatro capas: Capa mucosa Capa submucosa Capa muscular Capa adevnticia o serosa
Capa mucosa Formada por epitelio con su lamina propia que se encuentra irrigada y con una capa de tejido conectivo elástico y algunas veces músculo liso llamado “muscularis mucosa” Capa submucosa Es tejido conectivo fibroelastico con: fibras colágenas fibrosas Se entrecruzan También posee abundantes vasos sanguíneos que forman el plexo submucoso o de “meissner” Tiene la función de darle movilidad adicional a la mucosa
Capa muscular: Formada por músculo liso en: Capa circular interna Capa longitudinal externa Entre ellas se encuentran ganglios nerviosos formando el plexo mienterico o de “Averbach” esto solo ocurre apartir del esofago
Capa adventicia o serosa Adventicia: cuando tiene solamente tejido conectivo Serosa: cuando aparte de tejido conectivo posee una capa de mesotelio que es un epitelio plano simple que también es llamado peritoneo cuando cubre el estomago e intestinos
Esófago
Esófago: Mide 25 cm Capa mucosa: formada por epitelio plano estratificado no queratinizado, este es grueso con lamina propia de tejido conectivo laxo con glándulas cardiales que pueden ser: esofágicas proximales esofágicas distales También encontramos muscularis mucosa gruesa con miocitos lisos longitudinales que forman pliegues
Capa submucosa: Tiene pliegues que permiten su distensión Fibras colágenas Fibras elásticas con vasos sanguíneos linfáticos Tienen nervios Glándulas esofágicas submucosas del esófago Capa muscular: Dos capas de músculo esquelético en la mitad superior Dos capas de músculo liso en la mitad inferior En la parte media posee ambos tipos de músculos En la capa interna de la muscularis del esófago es circular y la externa longitudinal
Capa adventicia: Formada por tejido conectivo Al finalizar la adventicia se encuentra una capa serosa
Estómago
Estomago: Función: Almacenar, mezclar y digerir los alimentos que es la ruptura mecánica y química de las sustancias adquiridas formando el quimo (digestión)
Estructura histológica: La Mucosa tiene: Pliegues o criptas Epitelio cilíndrico simple con microvellosidades cortas y glucocalix Células secretoras formando la lamina secretora que produce mucina alcalina que protege al estomago de los ácidos pepsina que lubrica el estomago En el estomago hay recambio de células epiteliales que se les llama células de reposición aprox. cada 3 días
En el epitelio del estomago encontramos glándulas de tipo mucoso: Glándulas cardiales: Se localizan en el cardias, son de tipo mucoso y algunas poseen células endocrinas Glándulas corpofundicas: se localizan en todo el cuerpo estomacal, algunas desembocan en el fondo de las criptas, su secreción es mixta y tienen diferentes tipos celulares: Mucosas: forma cilíndrica son bajas y producen mucina alcalina
Parietales: son redondas, con canalículos intracelulares. Función: vaciar el ácido clorhídrico y el factor intrínseco gástrico necesario para mantener estéril el quimo y activar la pepsina para la absorción de vitamina B 12
Zimogenas o principales: son de secreción serosa y secretan pepsinógeno que es precursor de la pepsina Endocrinas: tienen microvellosidades que registran presencia de ciertas sustancias en el alimento, producen una hormona llamada gastrina y estimulan para la secreción de ácido clorhídrico y pepsinogeno Glándulas pilóricas: se localizan en el piloro son de tipo mucoso, tienen células G que producen gastrina
Lamina propia de la mucosa del estomago: reducida por la presencia de las glándulas, formada por tejido conectivo reticular laxo, tiene muchos tipos celulares, esta muy vascularizada e inervada Encontramos una muscularis mucosa y una submucosa que tiene una capa circular interna de músculo liso que puede llegar a epitelio, tiene una capa media longitudinal y una circular externa que puede o no existir.
Capa submucosa: es la típica submucosa Capa muscular: formada por una capa oblicua interna, le sigue una media circular engrosada en el piloro formando el esfínter pilórico que controla el vaciamiento del estomago. Después una longitudinal externa de músculo liso Capa serosa: también llamada peritoneo formada por tejido conectivo laxo que se encuentra cubierto exteriormente por mesotelio de cavidad peritoneal http: //www. youtube. com/watch? v=vh. ESi. M 1 em. N 0 http: //www. youtube. com/watch? v=vw 79 z. Y 93 S 28
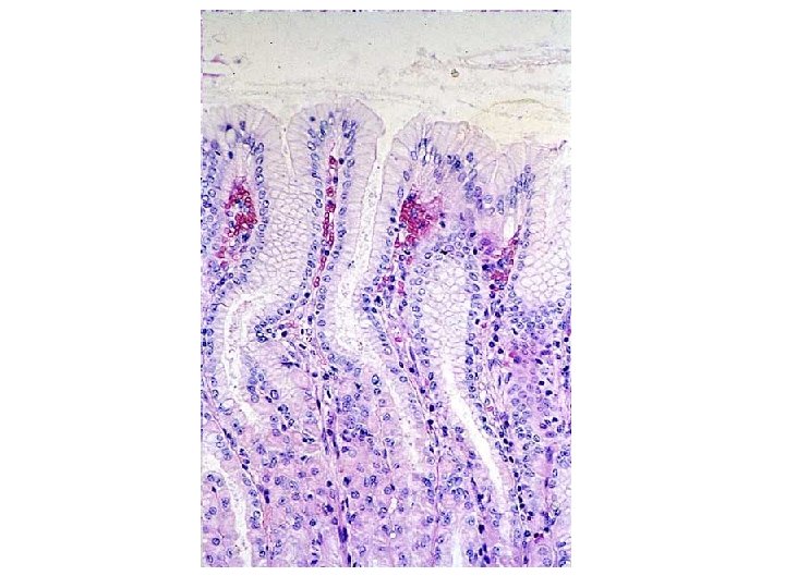
Intestino delgado
Intestino delgado: Se divide en dos regiones que son iguales histológicamente y son el: Duodeno Yeyuno Ileon Forman el intestino mesenterico y se encuentran cubiertos por el peritoneo
Mucosa: El epitelio cilíndrico simple que recubre las vellosidades , se compone de células de absorción de la superficie, caliciformes. Submucosa: Esta constituida por tejido conjuntivo denso, irregular y fibroelástico, con un abastecimiento linfático y vascular abundante esta el plexo submucoso (de Meissner) parasimpático. Muscular (externa): dos capas: circular interna y longitudinal externa, Entre ambas capas se encuentra el plexo nervioso mioentérico o de Auerbach las inerva. Serosa o Adventicia: mesotelio (ep. simple plano)+ subserosa (t. c. laxocubierta por peritoneo
Estructuras especializadas en absorción: Estas estructuras pueden aumentar la superficie de absorción aproximadamente 250 mts cuadrados 1. Válvula Connivente o de Kerkring: las vamos a encontrar en yeyuno y se ve como evaginación de la mucosa y de la submucosa del intestino delgado. Aumenta tres veces mas la superficie de absorción
2. Vellosidades: es una evaginación de la mucosa y aumenta la superficie de la absorción en aprox. 10 veces mas 3. Microvellosidades: son prolongaciones del epitelio que incrementan la absorción hasta 30 veces mas
4. Glándulas intestinales o criptas de Lieberkunh: se localizan entre las vellosidades y llegan hasta muscularis mucosa. Cada 5 días se recambia el epitelio ya que se desprenden mas de 20 millones de células por minuto en todo el aparato digestivo.
Entre el epitelio de la mucosa encontramos varios tipos de células: Células calciformes funcionan como glándulas apocrinas unicelulares que producen moco que lubrica y protege el intestino delgado Células endocrinas: secretan hormonas como la secretina, colesistoquina, enteroglucagón, cerotinina y otros que influyen en la movilidad de la mucosa y en la contracción de la vesícula biliar y también influyen en la función pancreática
Corte longitudinal de mucosa del intestino delgado 1 epitelio cilíndrico simple 2 Glucolix 3 Uniones ocluyentes 4 Microvellosidades 5 Vellosidad 6 Glándulas intestinales 7 Células calciformes 8 Células endocrinas 9 Cel. Caveolada o absortiva 10 Lamina propia 11 Placa de Peyer 12 Muscularis mucosa 13 Criptas de Lieberkunh
Intestino grueso
Consta del ciego que es la continuación del ileon y que presenta una estructura adicional alargada llamada apéndice
Función: Es la absorción de líquidos y sales inorgánicas, secreción de moco para evitar la abrasión, la digestión principalmente por enzimas arrastradas del intestino delgado y por la flora microbiana normal
Muscular: es una capa longitudinal externa incompleta formando tres bandas llamadas tenias coli que ocasionan abultamientos llamados haustras y pliegues Capa serosa: esta incompleta por lo que la pared muscular se fija por una adventicia a estructuras vecinas donde hay la capa serosa podemos encontrar lóbulos llenos de grasa llamados apéndices epiploicos
Intestino grueso