Hernias de la pared abdominal Alex Yagual Bedoya
Hernias de la pared abdominal Alex Yagual Bedoya
O Definicion. - Es la protrusión de una víscera u otra parte blanda a través de un saco por un defecto congénito o adquirido de la pared abdominal. O En toda hernia debe existir el saco herniario , anillo y contenido O En consecuencia su corrección obliga a tratar el saco herniario y reforzar la pared posterior.
La hernia es externa si el saco sale por completo a través de la pared abdominal Interna si se encuentra dentro de la cavidad visceral
Comportamiento : Reductible • Contenido regresa a la cavidad Incarcerada • Cuando el contenido no regresa a la cavidad pero no existe compromiso vascular Estrangulada • Cuando ya existe compromiso vascular Por deslizamiento • Cuando la pared posterior del saco herniario esta formada por una víscera
Localización: Los sitios comunes de hernia son ingle, ombligo, líneas blanca y semilunar de Spieghel, diafragma e incisiones quirúrgicas. Otras zonas de herniación similares pero muy raras son perineo, triángulos lumbares superior de Grynfelt e inferior de Petit y agujeros obturador y ciático de la pelvis
Hernia Inguinal • El 80% de hernias en la pared abdominal son inguinales. • La hernia inguinal es 25 veces más probable en varones. • Las hernias inguinales pueden ser directas o indirectas.
Conducto Inguinal O De adentro hacia afuera, de arriba abajo y de lateral a medial. O Hombre: ocupado por el cordón espermático, Mujer: ligamento redondo. O Se debe imaginar como un cilindro muscular de transición, que comunica la cavidad peritoneal con el espacio extraperitoneal.
Hernia Inguinal Directa Adquirida Aparece por dentro de los vasos epigástricos inferiores Cuando el saco peritoneal herniario entra en el extremo interno del conducto inguinal directamente a través de una pared posterior débil
Hernia Inguinal Indirecta Mas frecuente en hombres Congénita, existe permeabilidad del proceso vaginal El saco peritoneal herniario entra al conducto inguinal por el anillo inguinal profundo
Hernia Inguinal Mixta Coexiste ambas hernias. Hernia Inguinoescrotal Generalmente es una hernia indirecta que alcanza el escroto.
Clasificaciones de hernias inguinales O CLASIFICACION DE ARTHUR J. GILBERT (1989) O CLASIFICACIÓN DE LLOYD M. NYHUS (1991) O CLASIFICACIÓN DE BENDAVID (1993) O CLASIFICACIÓN DE AACHEN-SCHUMPELICK (1995) O CLASIFICACIÓN DE G. CAMPANELLI (1996) O CLASIFICACIÓN DE RENE E. STOPPA. (1998) O CLASIFICACIÓN DE ZOLLINGER (1999)
CLASIFICACIÓN DE NYHUS Nyhus (1991) clasifica las hernias de acuerdo a su origen y nivel de complejidad, basada en criterios anatomofuncionales del estado del anillo inguinal y de la pared posterior. Grado I: Hernia indirecta con anillo profundo normal. Grado II: Hernias indirectas con anillo profundo dilatado con pared posterior intacta. Grado III: hernias directas e indirectas con pared débil. Grado IV: hernias recidivantes o recurrentes.
CLASIFICACION GILBERT Está basada en conceptos anatómicos y funcionales establecidos en el transoperatorio. Tipo 1: Anillo profundo normal y presencia de saco indirecto. Tipo 2: Anillo profundo dilatado no más de 4 centímetros y presencia de saco indirecto. Tipo 3: Anillo profundo dilatado con componente de deslizamiento o inguinoescrotal y vasos epigástricos desplazados Tipo 4: Destrucción del piso del conducto inguinal. Anillo inguinal profundo de diámetro normal. Tipo 5: Defecto diverticular de la pared posterior no mayor de 2 cm, generalmente suprapúbica.
SINTOMAS O Las molestias que producen las hernias siempre son mayores al final del día y se alivian por la noche cuando el paciente se acuesta y se reduce la hernia. O Casi todas se desarrollan de manera insidiosa, pero algunas se precipitan por acontecimiento muscular forzado aislado. O La estrangulación produce dolor intenso en la hernia, seguido con rapidez de hipersensibilidad,
Diagnostico O Protrusión en la región inguinal. O Dolor leve o malestar asociado al contenido herniado. O Dolor extremo cuando se produce encarcelamiento o estrangulamiento del contenido y existe compromiso vascular. O Parestesia por compresión de nervios,
Ecografía
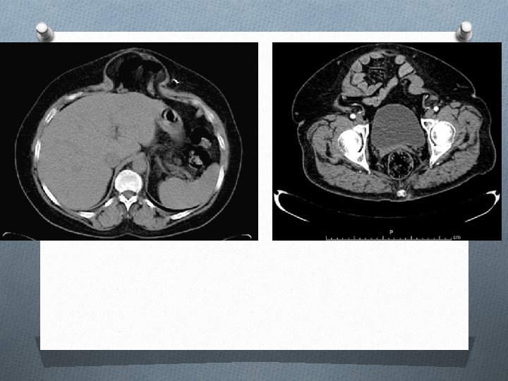
Tomografía
HERNIA UMBILICAL O El ombligo es un sitio común de herniación. Las hernias umbilicales son más frecuentes en mujeres. Los precusores comunes son obesidad, ascitis y embarazos repetidos. O La reparación clásica de la hernia umbilical es la hernioplastia de Mayo, que consiste en colocar a manera de un chaleco los segmentos aponeuróticos superior e inferior.
HERNIA VENTRAL O Es la protrusio n del contenido de la cavidad abdominal a trave s de un defecto en la pared anterolateral del abdomen, que puede ser detectado en forma cli nica o por estudios de imagen. O La dia stasis de los rectos en una entidad con la que frecuentemente se confunde, generada por la separacio n de los rectos anteriores del abdomen sin que exista un anillo herniario.
HERNIA EPIGASTRICA O Son una saliente de la grasa peritoneal y el peritoneo a través de las fibras de la vaina del recto que se decusan en la línea media (línea blanca) entre la apófisis xifoides y el ombligo. Con frecuencia las hernias epigástricas no se reducen.
HERNIAS INCISIONALES O Este tipo de hernias son un problema quirúrgico importante. Las causas principales son obesidad e infecciones. El peso del panículo separa literalmente la incisión quirúrgica y una infección impide que cicatrice la herida.
HERNIAS SPIEGHEL O Son hernias ventrales que ocurren a lo largo de la porción subumbilical de la línea semilunar de Spieghel a través de la fascia que lleva su nombre. O Son raras y, a menos que sean grandes, difíciles de diagnosticar porque son interparietales y están contenidas por la aponeurosis del músculo oblicuo mayor. O Con frecuencia los ultrasonidos y estudios de TC revelan hernias de Spieghel sintomáticas muy pequeñas para detectarse por medios clínicos
Ecografía abdominal. A nivel de la fosa ilíaca derecha se observa una masa de ecogenicidad homogénea, adyacente al borde de la pala ilíaca, y que parece tener un componente intraabdominal y otro componente en la pared abdominal. TC abdominal: masa sólida, de densidad tejidos blandos (similar al músculo adyacente, 44 UH), homogénea y bien delimitada. Tiene una morfología en reloj de arena, con un componente intraabdominal y otro en pared abdominal.
Hernias la pared posterior Hernia de Grynfelt O Mas común de las hernias lumbares. O Inferior de la 12° costilla. Hernia de Petit Localizada en el triangulo de petit. Es rara
INDICACIONES TERAPEU TICAS El tratamiento definitivo es quiru rgico, y la evaluacio n debe discernir entre urgente o electivo: Cirugi a abierta: Debe incluir: 1. - El cierre con los tejidos propios del paciente, con cierre primario del anillo herniario o con la te cnica de separacio n de componentes. 2. - La colocacio n de material prote sico de polipropileno, polie ster, parcialmente absorbible, recubierta, biolo gica, biosinte ticas, de alto, mediano, bajo y muy bajo peso, segu n lo requiera cada caso en particular.
Técnica de Bassini Técnica de Lichtenstein Técnica de Mc. Vay
- Slides: 33