HEMODYNAMIC DISORDERS THROMBOSIS AND SHOCK Edema Fluid Balance
HEMODYNAMIC DISORDERS, THROMBOSIS AND SHOCK
Edema
Fluid Balance Across Capillary Walls Factors Involved Interstitial Fluid Photo: Kumar, Cotran, Robbins Basic pathology, 7 th ed. , Saunders, Philadelphia, 2003.
Edema - Pathogenesis
Edema
Edema: Lymphatic Obstruction
Pulmonary Edema
Fluid in Trachea/Bronchi
Abdominal Ascites
Normal Brain
Edematous Brain
Hyperemia and Congestion
Congestion and Hyperemia
CONGESTION AND HYPEREMIA
Congested Lungs
Acute Pulmonary Congestion
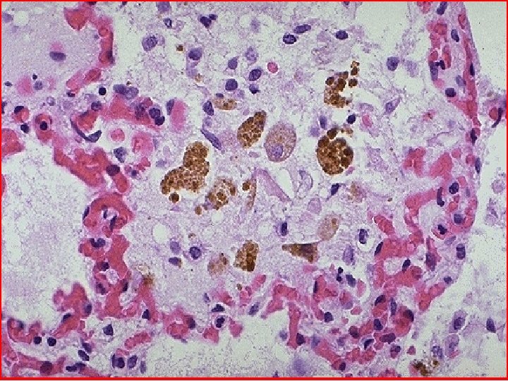
“Heart Failure Cells” in Alveoli Chronic Pulmonary Congestion
Congested and Enlarged Spleen
Nutmeg liver
Microscopically, the nutmeg pattern results from congestion around the central veins, as seen here. This is usually due to a "right sided" heart failure .
Congested Liver (Passive) = Nutmeg Liver Right Heart Failure Photo: Stevens A, Lowe J. Slide atlas of pathology. Mosby, London, 1995. ; Kumar, Cotran, Robbins Basic pathology, 7 th ed. , Saunders, Philadelphia, 2003.
Hemorrhage
• Here are petechial hemorrhages seen on the epicardium of the heart. Petechiae (pinpoint hemorrhages) represent bleeding from small vessels and are classically found when a coagulopathy is due to a low platelet count. They can also appear following sudden hypoxia.
• The blotchy areas of hemorrhage in the skin are called ecchymoses (singular ecchymosis), or also as areas of purpura. Ecchymoses are larger than petechiae. They can appear with coagulation disorders.
Intracerebral Hemorrhage Photo: Kumar, Cotran, Robbins Basic pathology, 7 th ed. , Saunders, Philadelphia, 2003.
Intracerebral Hemorrhage
Pericardial Hemorrhage
Hemostasis and Thrombosis
THROMBOSIS -Virchow triad
Thrombus - Morphology Arterial Venous Ø Arise in arteries • Ø Grow in retrograde fashion (towards the heart- away from the direction of flow) • Ø Forms at site of Endothelial injury (AS), turbulence (aneurysms) Ø Pale/ white Ø Lines of Zahn Ø Firmly adherent to vessel wall Ø From emboli Cause infarctions (lower extremities – 75%, Brain, Kidney, spleen) Arise in deep veins and superficial veins (popleteal Femoral Iliac), Antigrade (towards the heartdirection of flow) • At site of stasis (lower extremities) • • • Red / dark No lines of Zahn Loosely attached (easily embolize) Emboli cause Pulmonary embolism ( silent in 50% of pts. ) •
• These are "lines of Zahn" which are the alternating pale pink bands of platelets with fibrin and red bands of RBC's forming a true thrombus.
Venous Thrombi: Clinical
Thrombotic Vegetations Mitral Valve Photo: Stevens A, Lowe J. Slide atlas of pathology. Mosby, London, 1995.
Mural Thrombus
Abdominal Aortic Aneurysm Thrombus
Deep Vein Thrombosis (DVT)
Plaque with Recent Thrombus
Thrombosis Outcomes Photo: Kumar, Cotran, Robbins Basic pathology, 7 th ed. , Saunders, Philadelphia, 2003.
Early Organizing Thrombus
Embolism
Embolization (Embolus) Thromboembolism of Pulmonary Artery Photo: Kumar, Cotran, Robbins Basic pathology, 7 th ed. , Saunders, Philadelphia, 2003; . Stevens A, Lowe J. Slide atlas of pathology. Mosby, London, 1995.
Right Ventricle Embolus from Leg Vein
Pulmonary Embolus
Bone Marrow Embolus In Pulmonary Vessel Photo: Kumar, Cotran, Robbins Basic pathology, 7 th ed. , Saunders, Philadelphia, 2003.
Infarction
Infarction (Infarct) Lung (Left); Spleen (Right) Photo: Kumar, Cotran, Robbins Basic pathology, 7 th ed. , Saunders, Philadelphia, 2003.
Pulmonary Infarction
Small Intestine Infarction
Kidney Infarction Replaced by Fibrotic Scar (Left) Photo: Kumar, Cotran, Robbins Basic pathology, 7 th ed. , Saunders, Philadelphia, 2003.
Pale Infarct (Wedge) of Spleen
- Slides: 63