Hematriye yaklam Prof Dr Kenan Keven Ankara niversitesi


















































- Slides: 50
Hematüriye yaklaşım Prof. Dr. Kenan Keven Ankara Üniversitesi Tıp Fakültesi Nefroloji B. D.
Sunum Planı n Tanım n Hematüri Sıklığı n Tanıda Kullanılan Araçlar n Akış Şemaları n Hematüri Nedenleri n Olgu Örnekleri n Sonuçlar 2
Hematüri n İdrarda anormal miktarlarda eritrosit varlığı olarak tanımlanır.
Makroskopik Hematüri n Çıplak gözle kırmızı veya kola renginde bir idrarda mikroskopik incelemede sayılamayacak kadar çok eritrosit varlığı olarak tanımlanır.
Mikroskopik Hematüri n İdrar analizi için uygun olarak toplanmış 3 örnekten ikisinde idrar sedimentinde bir mikroskopik büyütme alanında 2 -3’den fazla eritrosit varlığı ve çıplak göz ile normal idrar rengi olarak tanımlanır. 5
Hematüri Malignite riski, n Geçici mikroskopik hematürili yaşlı hastalarda : %2. 4 n Perzistan mikroskopik hematürili yaşlı hastalarda: %5 n Perzistan gross hematürililerde : %20
Mikroskopik Hematüri-Yaş n <40 n >40 <%1 %2 -18 Rockall. P ostgraduate Med 1997; 73: 129. 7
1/3’ü renal kaynaklı 2/3’ü orta ve alt Üriner sistem kaynaklı 8
İdrar Şeridi (dipstick) n En yaygın n Kolay ve ucuz n Güvenilir n Duyarlılık %91 -100 n Özgüllük %65 -99 n Orthotoluidine emdirilmiş n 5 x 106 hücre/L idrarda n Yeşil renk Hb miktarı ~ korele n Benekli : sağlam RBC n Üniform: serbest Hb 9
İdrar Şeridi n Yalancı Pozitif Sonuçlar n Miyoglobin n Kontaminantlar (hipoklorit, menstrüel kan, bakteriyel peroksidaz) n Dehidratasyon n Yalancı Negatif Sonuçlar n Aşırı C vitamini alımı n Diğer redükte edici ajanlar n Düşük p. H varlığı n Formaldehid varlığı 10
İdrar sedimenti hazırlanması İdrar mikroskopisi ile idrar sedimentinin incelenmesi Hematürinin saptanmasında altın standarttır. n Taze, konsantre idrar örneği, n 10 ml idrar 2500 devirde 5 dk santrifüje edilmeli, n 9. 5 ml’si atılmalı, n Sediment, geriye kalan 0. 5 ml idrar ile homojen hale getirilip mikroskopik olarak incelenmelidir.
Mikroskopik Hematürinin Değerlendirilmesi Öykü n n n İlaç (aspirin veya NSAI) Hematüri paterni ? ( Mikro, makro. , asemop. , semptomatik, intermittant, rekürrren) n n Dizüri, acil işeme hissi, kolik, böğür ağrısı gibi eşlik eden n semptomlar n Atakların egzersiz, ilaç ve işeme ilgisi n S. Hematobium’un endemik olduğu yerlere seyahat n Fizik muayene Laboratuvar Böbrek hastalığı aile öyküsü n n Kan basıncı, kardiyak ritim, kardiyak ürüfüm, akciğerde raller • Hemogram, sedim • İdrar analizi ve mikroskopisi, idrar kültürü Korneal, lens anormallikleri, sensorinöral işitme kaybı • Biyokimya (BUN, kreatinin) Ekimoz, peteşi, rash • AC grafisi Kitle renal büyüme, hassasiyet, mesane • Protrombin zamanı, palpasyonu, perküsyonu Parsiyel tomboplastin zamanı, Kanama zamanı Rektal ve vajinal tuse, Hb elektroforezi testis muayenesi 12
Hematürinin değerlendirilmesi: Klinik İpuçları Kilo kaybı Malign Tm, Tbc Kilo alımı Nefrit veya Nefrotik sendrom Ateş, idrara sıkışma ve dizüri İnfeksiyon Karın ağrısı, böğür ağrısı, kolik Taş Suprapubik ağrı Sakral ağrı Ani şiddetli lomber ağrı Mesane hastalığı Prostat veya mesane Ca Böbrek arteri tıkanması (emboli veya trombus) Paresteziler Fabry’s hastalığı İdrarda kan pıhtısı görülmesi Renal Tm, üreter, pelvis, mesane lezyonu Eklem ağrısı SLE Cilt döküntüsü SLE, Henoch-Schönlein P, ilaç hipersensitivitesi İşitme kaybı Alport sendromu Hemoptizi Goodpasture’s sendromu Tinnitus Vaskülit Diş çekimi İnfektif endokardit Daha önceki taş Hiperkalsiüri Aneljezik bağımlılığı, aşırı alkol tüketimi Antimikrobiyal Sigara Papiller nekroz İnterstisyel nefrit Mesane Ca Siklofosfamid, nitrojen mustard Kimyasal sistit
Mikroskopik hematürinin (MH) başlangıçtaki değerlendirilmesi Yeni tanı konmuş asemptomatik Mikroskopik Hematüri Benign nedenleri ekarte et: Menstrüasyon, egzersiz, seksüel aktivite, travma, infeksiyon gibi. MH anlamlı proteinüriyle birlikteyse : (>1 g/gün) Dismorfik RBC veya Eritrosit silendirleri Artmış serum kreatinin değerleri Bir veya daha fazlası varsa Primer Renal hastalık açısından değerlendir Primer Renal hastalığı düşündüren bulgular yoksa (normal serum krea. , proteinüri yokluğu, dismorfik RBC ve erit. silendir yokluğu) veya aşağıdakilerden birinin varlığı Sigara öyküsü, benzen ve aromatik aminlere maruziyet, makroskopik hematüri öyküsü, Yaş>40, daha önceki ürolojik hastalık, irrtatif işeme belirtileri, uygun antibiyotiklere rağmen rekürren üriner infeksiyon öyküsü Ürolojik hastalık açısından değerlendir
A: Eritrosit silendirleri Glomerüler kanama göstergesidir Eritrosit silendirleri yoksa Küçük ve şekil bozukluğu olan eritrositler glomerüler kanamayı (dismorfik RBC) düşündürür (Uzun ok). Uniform bikonkav disk şeklindeki normal Şekilli eritrositler glomerül dışı kanamayı (İzomorfik RBC) düşündürür (küçük ok). B: Konsantre idrardan kaynaklanan çentikli eritrositler C: Akantositüri, membrana yapışık bleplerle birlikte görülür.
Dismorfik Eritrositüri:
Şekil bozukluğu, fragmente, distorte RBC Dismorfik RBC < İzomorfik RBC Taze idrarın Coulter Counter analiz ile MCV Dismorfik Eritrositüri Eritrosit silendiri
Hematüri Nedenleri: Renal Parankimal Hastalıklar n n n n n n Glomerüler hastalıklar Primer Ig. A Nefropati Membranoproliferatif GN Hızlı ilerleyen GN (Krezentik GN) Fokal glomerüloskleroz Postinfeksiyöz GN Multisistem SLE Vaskülit Henoch-Schönlein purpurası Goodpasture hastalığı Trombotik trombositopenik purupura Ailesel İnce bazal membran hastalığı Alport sendromu Fabry hastalığı Non-glomerüler (Vasküler, tübülointerstisyel) Vasküler Malign Hipertansiyon Belağrısı-hematüri sendromu Sickle cell hastalığı veya scikle cell trait Arteriyo-venöz malformasyon Renal arteriyel emboli, tromboz n n n n n Ailesel Polikistik Böbrek Hastalığı Medüller Sünger Böbrek Metabolik Hiperkalsiüri Hiperürikozüri Neoplastikhastalıklar Renal tümörler (Renal hücreli Ca, Wilm’s, papillom, adenom) İnfeksiyon Piyelonefrit Tüberküloz Hipersensitivite Akut interstisyel nefrit Papiller nekroz Aneljezik nefropati Sickle cell trait Diabetes Mellitus Alkolizm Obstrüktif üropati Travma
Olgu-1 n n n 63 yaşında ♂ Sağ tarafa yerleşik 6 saatlik ağrı ve kırmızımsı-gri renkli idrar Böğür ağrısı ilk 3 vertebra seviyesinde ve karın sağ tarafına yayılıyor Birkaç saat sonra ağrı sağ testis ve sağ uyluğun üst iç kısmına da yayılıyor n Sağ böbrek ballote edilebiliyor ve oldukça hassas n Ateşi yok, terlemesi var ve soluk n Kan basıncı ve fizik muayenenin geri kalanı normal n İdrar mikroskopisinde bol eritrosit n Proteinüri yok n Silendirüri yok Ağrı sabit ve çok şiddetli 19
Olgu-1 n n Hematüri, ağrının üriner sistemden Taş veya enfeksiyondan kaynaklanan hematüri genellikle ağrı kaynaklandığını düşündürmekte, ile birlikte n Ağrının sağ kasığa ve uyluk iç kısmına yayılması patolojinin üreterden aşağı doğru hareketini n Kristaller ağrı ve makroskopik hematüriye neden olabilmekte düşündürmekte, n Ağrı renal kolik için tipik olduğundan taş 20
Olgu-1 n Kasık ağrısı ve hematürinin değerlendirilmesinde basit n DÜSG; L 2/L 3 vertebra sağında uzanan büyük bir radyo-opak lezyon incelemelerle genellikle yeterli bilgi edinilebilir n n USG de hiperekojenik lezyonun yukarısında sağ pelvis dilatasyonu (hidronefroz), normal kalınlık ve ekojenitede sağ böbrek Görüntüleme yöntemleri ile üriner akışta blokaja neden olan taş n Renal taşların %90’ı opak olduğundan düz karın grafisi yararlıdır n USG, renal boyut, kitle lezyonları ve dilatasyonlar hakkında bilgi verir 21
Olgu-2 ♀ (kontrol altında 20 yıllık HT öykü) n 68 y, n Son 12 aydır hafif bir böğür ağrısı n Fizik muayene normal n İdrar mikroskopisinde bir büyük büyütme alanında bol miktarda izomorfik eritrosit n Hb 16. 1 gr/dl n Serum kreatinin 1. 1 mg/dl n Proteinüri (-), silendirüri yok 23
Olgu-2 n USG’ de sol böbrek üst polde 4 cm çapında basit kist ve 17 mm çapında komplike kist n Mesane USG’ de normal n MRG’ de kontrast madde tutan bir lezyon n Operasyon: renal hücreli karsinoma
Mikroskopik Hematüride Üst Üriner Sistem Görüntülenmesi n IVP küçük renal n kitleleri atlayabilir ve kistik solid ayrımı yapamayabilir USG <3 cm solid Tm saptanmasında sınırlı n BT, Sistoskopi gereksinimini azaltabilir, mesane neoplazmlarını saptamada BT’nin sens. %100, spe. %98. 25
Olgu-3 n 60 y, ♂ n Sigara (-) n Hematüri (+) n n n Vücut ısısı 37. 3° C n Mikroskopide 20 -25 izomorfik RBC ve 10 -15 lökosit, Proteinüri (-) n Renal fonksiyon testleri normal yanma ve mesaneye uyan n Hb 10. 8 gr/dl, sedim 92 mm/saat bölgede ağrı, dizüri, pollakiuri n Tekrarlayan idrar kültürlerinde Son 3 aydır idrar yaparken bakteriyel üreme(-) Son zamanlarda halsizlik ve kilo kaybı (+) n PSA normal 26
Olgu-3 n Böbrek ve mesane USG normal n IVP normal n Sistoskopi: trigonum civarında mesane duvarında hiperemi (+) n İdrarın Acid fast boyaması (-) n M. tüberkülozis Lowenstein besi yerinde üremesi (+) n Tüberküloz 27
Renal Tüberküloz n Başvuru; tekrarlayan hematüri, Subfebril ateş, Künt böbrek ağrısı, sistit belirtileri n İnfekte idrar üreter alt ucunu ve mesaneyi irite ederek sistit başlatır n Üreterlerin mesane ağzı şiş, kırmızı n Kültürlerde üreme olmaksızın piyüri n Üriner Tbc’nin erken tanı ve tedavisi irreversibl sekel oluşumunu önlemek için oldukça önemlidir 28
Olgu-4 n Dipstick testi kan ( +++), protein ( +) n Mikroskopide, bol eritrosit, orta n 22 y, ♂ n Baş ağrısı ve koyu renkli idrar yakınması (+) n Oligüri n Sık boğaz ağrısı ve cilt enfeksiyonları öyküsü (+) derecede lökosit ve eritrosit silendirleri (+) n n 2 hafta önce boğaz ağrısı öyküsü (+) n Periorbital ödem (+), boyun venöz n dolgunluğu (+) , KB 165/105 mm. Hg, n Akciğerde ralleri (+), tonsillerde eksuda (+) n ASO yüksek ve C 3 düzeyi düşük Serum kreatinin 2. 0 mg/dl Nefrolojiye sevk, Renal biyopsi ? Glomerüller nötrofillerle infiltre, mezangial ve endotel hücrelerinde proliferasyon 29
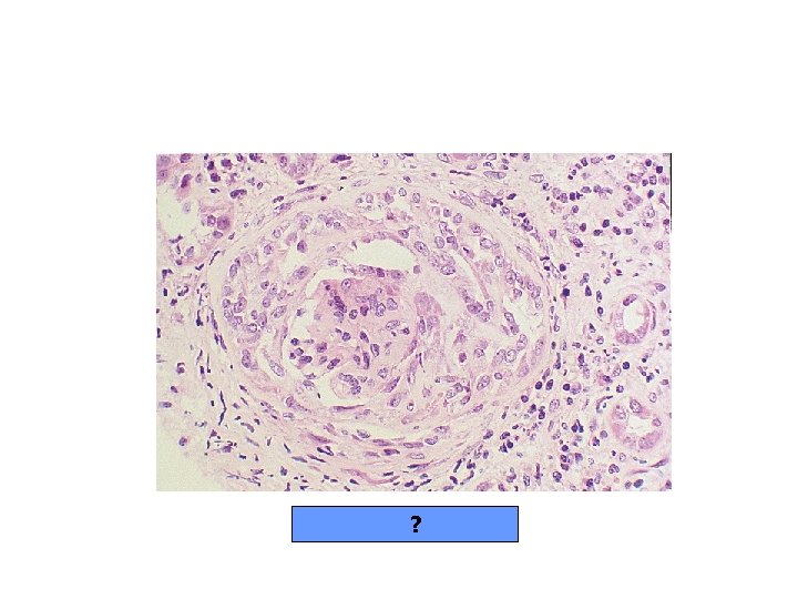
Normal glomerul
Diffuz endokapiller hipersellularite, APSGN
Akut Glomerülonefrit n Ani başlangıç n Kirli-kırmızımtrak kahverengli idrar (et yıkantı suyu) n Çocuk ve gençlerde n Hafif lomber ağrı n Ödem, oliguri, proteinüri, silendirüri 32
Nefritik Sendrom n Hematüri n Hipertansiyon n Renal fonksiyon bozukluğu, (azalmış GFR serum kre n ) Oligüri 33
GLOMERÜLONEFRİT TİPLERİ Prezentasyon Primer Sekonder Nefrotik Sendrom Minimal değişiklik hastalığı DM Amiloid SLE Akut Nefritik Sendrom Postinfeksiyöz GN Post-streptokokal GN Ig. AN Mezangiokapiller GN SLE Hızlı ilerleyen GN Krezentik GN Mikroskopik polianjiitis Wegener Granülomatozis Goodpasture sendromu Membranöz nefropati Fokal sklerozan GN Mezangiokapiller GN 34
Glomerülonefrit için önemli bazı serolojik testler Test Tanı Düşük serum kompleman C 3 Poststreptokokal GN Mezangiokapiller GN Düşük C 3 ve C 4 SLE ANA, anti-ds DNA SLE ANCA Mikroskopik polianjiitis, Wegener granülomatozis Anti-GBM antikor Goodpasture sendromu ASOT Poststreptokokal GN
Olgu-5 n 18 y, ♂ n makroskopik hematüri n n n tekrarlayıcı hematüri n kısa prodrom n Kreatinin: 1. 1 mg/dl n Proteinüri: 500 mg/gün 3 gün önce boğaz ağrısı benzer atak öyküsü 36
Diffüz mezangial hipersellülarite, Ig. AN
Poststreptokokal GN ve Ig. AN arasındaki klinik ve patolojik farklar Post-streptokokal GN Ig. A Nefropati Farenjit öyküsü +, 10 -14 gün +, 0 -4 gün Akut nefrit + + Diğer prezentasyonlar - +*Makroskopik Hematüri, NS, HT, Kronik renal yetmezlik Rekürrrens - + Uzun dönem prognoz Çok iyi Değişken Seroloji Düşük C 3, ASOT(+) - Biyopsi Glomerüler nötrofil infiltrasyonu Supepitelyal elektron-dense depozitler Mezangial Ig. A Mezangial elektron-dense depozitler
Olgu-6 n 57 y, ♂ n Halsizlik, ayaklarda ağrı, idrar n ağrı, BUN: 105 mg/dl, serum kreatinin: 8. 3 mg/dl, serum çıkışında azalma n n potasyum: 6. 5 mmol/L 2 ay önce HT tanısı (+) 1 ay önce idrar analizinde protein (+++), mikroskopide bol Son 3 gündür artan halsizlik ve n USG de böbrek boyutları normal n Acil diyaliz RBC, serum kreatinin düzeyi 0. 8 mg/dl 39
Hematüri Renal yetmezlik Proteinüri İkinci Kreatinin > ilk ölçüm Nefrolojik değerlendirme için sevk ve olası renal biyopsi Acilen sevk
ODPBH-Hematüri n Kist rüptürü n Böbrek taşı n Kist enfeksiyonu n Malign transformasyon 42
ODPBH’lıklı bir hastada belirgin büyümüş böbreklerin normal bir böbrek ile karşılaştırılması
ODPBH-USG, kontrastlı BT 44
Bel ağrısı-hematüri sendromu n Östrojen içeren kontraseptif kullananlarda sık n Gross veya mikroskopik hematüri atakları n Tek veya çift taraflı böğür ağrısı n Dizüri ± n Lökositüri genellikle (-), yanlışlıkla akut piyelonefrit tanısı n Düşük dereceli ateş ± n Kan basıncı ve Renal Fonksiyon Normal n Proteinüri hafif <1 gr/gün n Renal arteiyogram: uç dallarda daralma ve tortüyozite ve segmental iskemi n DMSA ve DTPA: Ağrı sırasında segmental iskemi n Biyopsi: Normal glomerül, arteriyollerde C 3 birikimleri 45
İnce bazal membran hastalığı n Benign familyal hematüri (Otozomal dominant) n Genel popülasyonda frekans %5 -9 n Glomerül bazal membranda diffüz incelme (150 -225 n. M, Normali: 300400) n Çoğu hastada renal fonksiyon normal n Protein atılımı ve kan basıncı normal n Perzistan veya intermittan asemptomatik hematüri n Orta derecede proteinüri (<1. 5 g/gün) olabilir. n işitme kaybı, oküler anormallikler ve böbrek hastalığının aile öyküsü(-) n Hematüri aile öyküsü (+) 46
İnce bazal membran hastalığı(EM) normal GBM kalınlığının karşılaştırılması (solda normal) İnce bazal membran hastalığında daha ince (sağ)
Sonuçlar n İdrar mikroskopisi (glomerüler? ) n Proteinüri ve renal yetmezlik eşlik ediyorsa biyopsi için nefrolojiye sevk n İzole glomerüler mikroskopik hematüride biyopsi ? n Gross ağrısız izomorfik hematüri de (özellikle yaşlılarda) sistematik ürolojik değerlendirme gerekli 48
Sonuçlar n Hematüri nedeni saptanamayan olgular n ~%10 -15 n Glomerüler veya tübüler hastalık n Lokalize etmesi güç küçük arteriyo-venöz malformasyonlar 49
Son Söz n Hematüri nedeni saptanamayan hastaların izleminde ileride bir anormallik ortaya çıkabileceği düşünülerek “ hiçbirşeyiniz yok’’ denilmemelidir n Israrlı hematürinin uzun dönemdeki öneminin bilinmediği ve yakın izlemin gerektiği söylenebilir 50