HEMATOMES INTRACEREBRAUX SPONTANES Introduction Irruption spontane et brutale
HEMATOMES INTRACEREBRAUX SPONTANES
Introduction • Irruption spontanée et brutale de sang dans le parenchyme • Non traumatique
Generalites • Fréquent +++ (10 à 15% des A V C) • Grave +++ – Mortalité élevée (40% de survie à 1 an) – Complications précoces et tardives – Hospitalisation prolongée – Séquelles neurologiques et handicap
Epidemiologie N pour 105 Age
Etiologies • Hypertension artérielle et athérosclérose : 15 % • Malformations vasculaires : 45 % • Anévrysmes artériels • Malformations artérioveineuses • Malformations vasculaires angiographiquement occultes (cavernome…) • Autres causes vasculaires • Diathèse hémorragique systémique 15 % • Anticoagulants (héparine, AVK) et fibrinolytiques (streptokinase) • leucémie, thrombocytopénie, hémophilie, myélome • Hémorragies intratumorales 1% • Hémorragies des vasculopathies 4% • Angiopathie amyloïde ++, Périartérite noueuse (PAN), lupus, drogue (amphétamines) • Hémorragies des infarctus veineux intracrâniens • Cause non retrouvée : 20 %
Physiopathiologie – Saignement artériolaire : – PIC – Arrêt du saignement (<1 h) – Lésions secondaires : ischémie – nécrose – Poursuite du saignement (> 1 h, < 6 h) : – Resorption de l’hematome : spontanee – Buts du traitement : permettre au patient d’attendre la résorption spontanée
Clinique • Début brutal • Troubles de la vigilance • Déficit neurologique – selon localisation de l’hémorragie – 10 à 30 mn après le saignement • Vomissements : 50% des cas • Céphalées parfois • Crises : rares (15%)
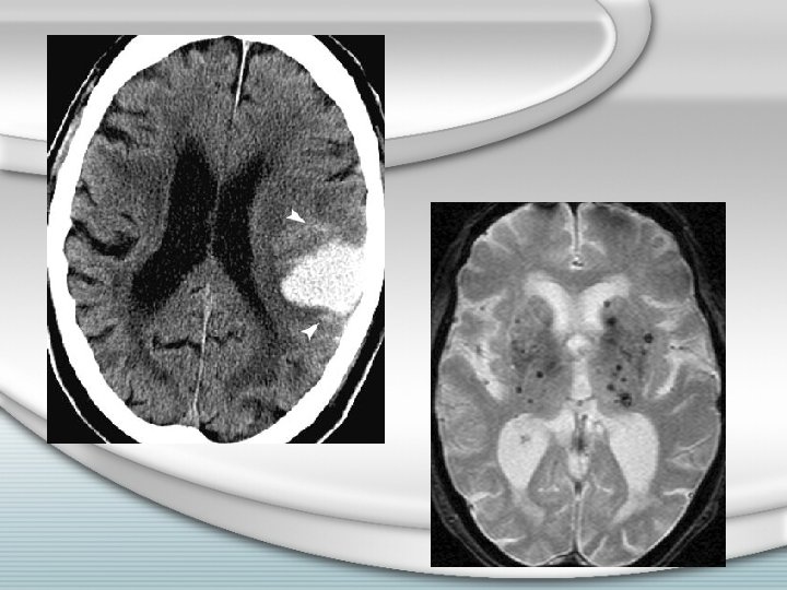
Imagerie • En urgence : – SCANNER cérébral – Sans injection • Collection intraparenchymateuse hyperdense • Effet de masse +/- œdème • Parfois : – Image surajoutée – Hydrocéphalie obstructive
Imagerie • En urgence, après le scanner, parfois : – Angiographie cérébrale – Angioscanner ou angio. IRM – IRM • Quand ? – – – Sujet jeune Pas d’HTA connue Topographie de l’hématome atypique Hétérogénéité de l’hyperdensité au scanner Hémorragie méningée associée / hématome en rapport avec le polygone de Willis / vallée sylvienne – Imagerie à refaire en différé parfois
Indications therapeutiques • Le traitement est avant tout médical +++ – Contrôle de la PA – Lutte contre l’œdème cérébral et l’aggravation secondaire – Neuroréanimation selon état de vigilance (monitorage PA, PIC (PPC), SVJO², …) – Kinésithérapie précoce et lutte contre les complications de décubitus – Nimodipine IV si anévrysme – Produits anti-hémorragiques : r. FVIIa ?
Indications chirurgicales • pas de consensus dans la littérature • Les indications sont fonction de : – – L’ étiologie Le tableau clinique initial et secondaire Le volume et le siège de l’hématome Le terrain et des choix institutionnels …
• Selon l’étiologie : – Rupture d’anévrysme : si hématome compressif – Rupture de MAV : si volumineux hématome – Traitement de la malformation : en urgence ou en differe.
• Selon le tableau clinique : – Aggravation rapide initiale et volumineux hématome – Aggravation secondaire résistante au traitement médical – Apparition d’une hydrocéphalie (DVE)
• Selon l’hématome : – Hématome lobaire – Hématome cérébelleux : si unilatéral, hémisphérique, et mal toléré – Hématome lenticulaire / thalamique : indications limitées aux aggravations secondaires chez des sujets jeunes
• Contre-indications chirurgicales : – Sujet âgé – Coma profond – Troubles de l’hémostase non corrigés – Suspicion d’angiopathie amyloïde – Hématome cérébelleux bilatéral – Hématome du tronc cérébral – Hématome lenticulaire + hypothalamus
• Exemple : f, 53 ans ; malaise brutal au domicile, tr vigilance et coma ; hémiplégie G, puis mydriase dte + décérébration G
• Exemple : f, 35 ans ; céphalées brutales, puis tr vigilance et déficit D, puis coma GCS= 6, hémiplégie D, sans signes d’engagement
• Exemple : f, 70 ans ; HTA ; malaise au domicile avec vertiges et vomissements, consciente , syndrome cérébelleux D
Pronostic vital • score ICH (Hemphill JC et al. , Stroke, 2001) – 5 critères – Mortalité à 30 j: • • Score 0 : 0 Score 1 : 13% Score 2 : 26% Score 3 : 72% Score 4 : 97% Score 5 : 100% Score 6 : 100% – Mortalité • à 30 j : 42% • à 1 an : 65% score GCS 3 - 4 1 5 - 12 1 13 - 15 0 volume >= 30 cm 3 1 < 30 cm 3 0 sous-tentoriel oui 1 non 0 Age >= 80 1 < 80 0 H Ventriculaire oui 1 non 0 Total 0 - 6
Pronostic fonctionnel • Séquelles neurologiques – « Légères » (héminégligence, hémianopsie…) – Lourdes (patient dépendant) > 50% (Tr vigilance, hémiplégie, spasticité, aphasie…) – Etat végétatif persistant – Moins de 20% des patients retrouvent finalement une indépendance complète ++ • Séquelles neuropsychologiques • Séquelles diverses (algodystrophie, incontinence, escarres…)
Conclusion • Lésions – fréquentes (grand age, anticoagulants) – sévères (mortalité et séquelles). • Peu d’indications chirurgicales en dehors des malformations vasculaires • But du traitement : – prévenir les lésions cérébrales secondaires en attendant la résorption spontannée de l’hématome
- Slides: 24