HEART FAILURE pump failure DEFINITION Heart failure is











































- Slides: 43
HEART FAILURE “pump failure”
DEFINITION Heart failure is the inability of the heart to supply adequate blood flow and therefore oxygen delivery to the peripheral tissues and organs
EPIDEMIOLOGY § Only cardiovascular disease with increasing incidence and prevalance due to § Aging population § Increased survival after MI--thrombolysis § Improvement of medical and surgical treatment
PATHOPYSIOLOGY § Heart is a pump which works with the lungs. § It pumps blood from the heart to the lungs to pick up oxygen. § The oxygenated blood returns to the heart § It then pumps blood out into the circulatory system
CLASSIFICATION OF HEART FAILURE This is based on: v. How rapid symptoms develop---acute HF ---chronic HF v. Which ventricle is involved---right side HF ---left side HF v. Over all cardiac output---systolic HF ---diastolic HF
CLASSIFICATION ACCORDING TO ONSET OF SYMPTOMS: Acute heart failure --characterized by a rapid onset of heart failure that may occur following 1 - MI 2 -myocarditis 3 -arrythmias 4 - infection 5 - PE If it is not fatal may progress to chronic heart failure
Chronic heart failure This results from the heart undergoing adaptive responses to precipitating cause and this cardiac response leads to impaired function. 1 - anemia 2 -thyrotoxicosis 3 -non compliance to medications 4 - diet—high salt
CLASSIFICATION ACCORDING TO OVER ALL CARDIAC OUTPUT Systolic heart failure The ventricle loses its ability to contract so the heart is unable to pump forcefully enough to get blood into the circulation.
Diastolic heart failure The ventricle loses its ability to relax , the muscle are stiff so the heart is unable to fill with blood during resting cycle
CLASSIFICATION ACCORDING TO VENTRICLE INVOLVED Left side heart failure § This involves the left atrium, left ventricle, mitral and aortic valve § Patient presents with --- dyspnoe, orthopnoe and PND --- basal crepitations --- 3 rd heart sound--gallop
Right side heart failure This involves the right atrium, the right ventricle , the tricuspid and the pulmonary valve. § Patient usually does not present with dyspnoe , orhtopnoe or PND § Raised JVP § Clear lung field § Ascites § Lower limb edema
ETIOLOGY § Myocardial infarction § Coronary artery disease § Valvular heart disease § Idiopathic cardiomyopathy § Viral or bacterial cardiomyopathy § myocarditis
ETIOLOGY cont. § Pericarditis § Arryhthmias § Hypertension § Thyroid disease § Pregnancy § Septic shock
ETIOLOGY cont. § Toxins—anthracyclines amphetamine cocaine § Metabolic---haemachromatosis wilson, s disease pheochromocytoma
SYMPTOMS NYHA classification of dyspnoe § Class 1—no shortness of breath {SOB} § Class 11—SOB on severe exertion § Class 111—SOB on mild exertion § Class 1 v---SOB at rest
SYMPTOMS cont. { FACES} § Fatigue § Activity decrease § Cough { specially supine, frothy red sputum § Edema § Shortness of breath { NYHA }
SIGNS § Non productive cough § Diffuse laterally displaced apex beat § Raised JVP § Hepatojugular reflex § Hepatomegaly § Resting tachycardia
§ § § § Oliguria Crepitations Pleural effusion Pulses alternans { severe cases} S 3 gallop Unexplained weight gain Ankle swelling Ascites
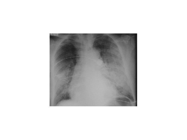
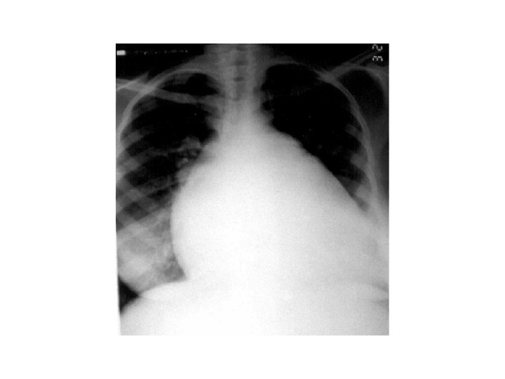
INVESTIGATION § CBC § U+E § LFT § Cardiac enzymes § CXR § ECG § Echocardiogram
TREATMENT § Diuretics § Digoxin § ACE inhibitors § Vasodilators