HARY CELL LSEM Dr Ramazan Gkdemir EPDEMYOLOJ lk



































- Slides: 35
HAİRY CELL LÖSEMİ Dr. Ramazan Gökdemir
EPİDEMİYOLOJİ • İlk kez 1958 de tanımlanmıştır • Lösemilerin % 1 -2 sini oluşturmaktadır • Genellikle ileri ve orta yaşlarda görülür tanı esnasında ortalama yaş 55 • Erkeklerde kadınlara nazaran 3 -5 kat daha sık görülür • Etyolojisi bilinmemektedir
PATOFİZYOLOJİ • Olgun aktif B hücrelerin klonal proliferasyonu sonucu oluşur • Malign hücrelerin kemik iliğini infiltre etmesi sonucu fibrozis • Nötropeni, anemi, trombosito peni ve pansitopeni sıktır • Dalak infiltrasyonuna bağlı splenomegali gözlenir
Patoloji • Hairy Cell lösemide tipik bulgu olan ince diffüz retikülin fibroz diğer kronik lenfoproliferatif hastalıklarda nadiren bulunur • Kemik iliği biyopsisinde granülosit ve monosit prekürsörleri azalmışken eritroid ve megakaryositik seriler kısmen iyi kalmıştır • Kemik iliği tamamen veya tama yakın infiltredir • Tüylü lösemi hücreleri düzensiz ince sitoplazmik çıkıntılar içerir. • Normal lenfositlerden daha büyük mononükleer hücreler olup TRAP (+) tirler
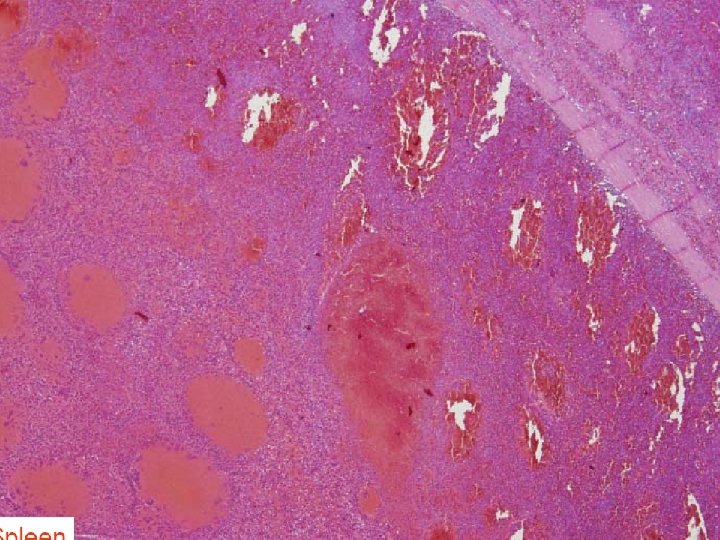
Kemik iliği ve Dalak • Fibrozis nedeniyle genellikle kemik iliği yapmak mümkün olmaz • Biyopside ise etrafı boş alanlarla çevrili yuvarlak veya oval nükleuslu lenfosit infiltrasyonuları görülür(yağda yumurta görünümü) • Retikülin boyası ile retikülin liflerde artış gösterilebilir • Lenfositler dalağın kırmızını pulpasını infiltre ederek atrofiye ve beyaz pulpanın istilasına neden olurlar • Dalakta karekteristik olarak saçaklı hücreler tarafından çevrelenmiş kan dolu başluklar görülür (pseudasinus)
İmmünfenotip • Tüylü hücreli lösemide hücreler klonal olgun B hücrelerinden oluşur ve tipik yüzey göstergeçleri taşırlar • CD 11 c, CD 25, CD 103, CD 20/CD 22 (+) • CD 5 ve CD 10 (-) tir • Aynı tip hafif zincire sahip yüzey immünglobulinlerini eksprese ederler, aynı tip hafif zincire sahip olmaları, hücrelerin monoklonal olduklarının bir göstergesidir
VARYANT HAİRY CELL LÖSEMİ • • HCL vakalarının %10’u kadarını oluşturur Variant HCL olgular. Inda lökosit sayısı genellikle yüksektir, çoğu kez 50000/mm 3 aşan bir değerdedir. • • TRAP pozitifliği ön planda olmayabilir. CD 11 c ve CD 103 pozitif olabilir, ancak CD 25 bu olgularda (-) bulunur • Variant HCL tanısı konan hastaların interferon ve purin nükleozid analogları ile tedaviye iyi cevaplı olmadıkları bilinmektedir. Bu hastalarda splenektomi veya rituksimab seçilecek tedavi olmalıdır
KROMOZOM ANORMALLİKLERİ • Olguların %30 -40’ında 5. kromozom etkilenir • P 53 kaybı olabilir • Bcl-6 mutasyonları olguların %25 kadarında saptanır • Mantle hücreli lenfomaya ekolarak Cyclin D 1 eksprese eden tek B hücre hastalığıdır • HCL de karakteristik karyotipik anormallik ve prognozla ilişkisi bildirilmemiştir
KLİNİK BULGULARI • Splenomegali %80 • Hepatomegali %40 • Lenfadenopati (seyrek olarak ) • Vaskülit benzeri tablo %30 (otoimmün hastalık) • Bazı vakalarda ağrı ve fraktüre yol açan litik kemik lezyonları • Tekrarlayan piyojenik enfeksiyonlar
LABORATUAR BULGULAR • Pansitopeni • Monositopeni • Lenfositoz (%10 -20) • PY da flamentöz stoplazmik uzantıları olan lenfositler • Tartarate-rezistans asit fosfataz(TRAP) boyası ie pozitif reaksiyon HCL için oldukça karekteristik bir özelliktir
TEDAVİ HCL genellikle yavaş gidişli bir hastalık olduğundan, tanıdan yıllar sonrasına kadar tedavi gerekmeyebilir. 1. 2. 3. 4. • • • Başlıca tedavi endikasyonları Belirgin sitopeniler Semptomatik organomegali veya adenopati İnfeksiyonlar ve konsittusyonel semptomlar(ateş, gece terlemesi, halsizlik) Tedavi gerektiren kan değerleri Hb < 11 g/d. L Nötrofil sayısının <1000 /mm 3 Tromosit sayısının <100. 000/mm 3
SPLENEKTOMİ • İnterferon etkinliği bulununcaya kadar seçkin tedavi idi. • Remisyon sağlamasa da olguların %40 -75’inde düzelme hatta periferik kan bulgularının normale dönmesi saptanır. • Yanıt süresi 5 -20 ay olup 5 yıllık yaşam %60 -70 olarak bildirilmiştir.
SPLENEKTOMİ • Retrospektif serilerde splenektomi yapılanlarda yaşam süresi, yapılmayanlardan uzun bulunmuştur • Klinik etkinliği yadsınamaz ise de etkin ilaçlarla önemini kaybetmiştir • Tedaviye refrakter veya semptomatik splenomegali/ciddi sitopenilerde bir secenek olarak zaman halen uygulanmaktadır.
SPLENEKTOMİYİ TAKİBEN (4 - 5) YILLIK TOPLAM SURVİ Çalışma Splenektomi uygulanan Splenekyomi yapılmayan Flandrin et al, 1984 60% 42% Jansen and Hermans, 1981 55% 38%
İnterferon-α • Prognozda dramatik iyileşme sağlamıştır • Etki mekanizması net olmasa da etkin bir tedavidir, %60 -95 hematolojik remisyon sağlanabilmektedir • Splenektomiye üstündür, yüksek oranda yanıta rağmen yanıtların coğu PR şeklindedir • Olguların %85 -90’ı 5 yıl yaşamaktadır • İdame tedavi verilmeyen olgularda relaps olur ancak yeniden tedavi verildiğinde yanıt oranı %77 -90 kadar yüksek olabilir
İnterferon-α Tedavisi ile(4 -5) Toplam Sürvi Çalışma Ratain, 1988 Smith, 1991 Capnist, 1994 Federico, 1994 Frassoldati, 1994 Rai, 1995 Toplam sürvi 91% 86% 85% 96% 89% 83%
Rekombinant interferon -2 a ile tedavi edilen HCL tanılı hastalarda uzun dönem takip • HCL tanılı 35 hastaya 6 ay 3 X 10(6) ünite/gün IFN sonraki 18 ay haftada 3 gün 3 X 10(6) ünite IFN tedavisi uygulanmış • Tedavi 24 aydan sonra kesilmiş • Hastaların % 69’da PR, %11’de minör yanıt ve %3’de Stabil hastalık saptanmış • 23 hastanın tedavisi 2 yıla tamamlanmış ve tedavi bitiminden sonra ortalama 20 ay takip edilmiş(9 -32 ay arası) • Tedavi bitiminden sonra ortalama 10 ay (5 -25 ay arası) sonra hastaların %48 de progresyon saptanmış Berman E. Blood 75: 839 -845, 1990
Purin Analogları • 2 Deoxycoformicin (d. CF, Pentostatin) • 2 -Cholorodeoxyadenosine(2 -Cd. A, Cladribine)
2 Deoxycoformicin (d. CF, Pentostatin) • T ve B hücrelerinin diferensiyasyonunda çok önemli etkisi olan ADA enziminin irreversibl inhibitörüdür. • Etki mekanizmasi iyi bilinmese de DNA kırıkları ve RNA sentezinde azalmaya yol açmaktadır • Uygun dozda emin ve iyi tolere edilmektedir, ancak febril nötropeni fatal olabilir. T hücrelerinde daha fazla olmak uzere T ve B hücreler etkilenir
2 Deoxycoformicin (d. CF, Pentostatin) • Çalışmalarda 2 Deoxycoformicin ile %59 -%89 arasında değişen (ortalama %76) komplet remisyon; %7 -%37 arasında değişen (ortalama %13)parsiyel remisyon oranlari bildirilmiş • Splenektomiden sonra nüks eden veya IFN dirençli vakalar da 2 DCF’ye yanıt verir(CR %33 -%42; PR %42 -%45) • Tam remisyon için ortalama 4 ay süre geçmesi gereklidir. Anacak tam remisyon morfolojik anlamda olup kemik iliğinde immünohistokimyasal olarak az sayıda da olsa tüylü hücrelerin kaldığı saptanır (MRD)
DAHA ÖNCE TEDAVİ ALMAMIŞ HCL HASTALARINDA İFN VE PENTOSTATİN TEDAVİLERİNİN RANDOMİNİZE KARŞILAŞTIRILMASI Grever M, J Clin Oncol 13: 974 -982, 1995
DAHA ÖNCE TEDAVİ ALMAMIŞ HCL HASTALARINDA İFN VE PENTOSTATİN TEDAVİLERİNİN RANDOMİNİZE KARŞILAŞTIRILMASI • 313 hastaya randominize olarak IFN(159) ve PENTOSTATİN(154) başlanmış • IFN kolunda: %11 CR ; %76 oranında CR veya PR sağlanmış • PENTOSTATİN kolunda: % 76 CR; %79 oranında CR veya PR sağlanmış • Ortalama takip süresi 57 ay Grever M, J Clin Oncol 13: 974 -982, 1995
CR sağlanan Hastalardaki hastalıksız yaşam süresi Grever M, J Clin Oncol 13: 974 -982, 1995
2 -Cholorodeoxyadenosine(2 -Cd. A, Cladribine) • ADA’yı inhibe etmeyen ancak bu enzime dirençli olan bir pürine analoğudur. • Etkinlik yönünden 2 -DCF’ye eşit olmasına rağmen genellikle bulantı ve kusma yapmaz • Önerilen doz 0. 09 mg/Kg/7 gün sürekli infüzyon şeklindedir • 0. 15 mg/Kg 2 saatte haftada 1 gün ve 6 hafta verildiğinde standart şemaya benzer yanıta karşın miyelotoksisite daha az bulunmuştur
2 -Cholorodeoxyadenosine(2 -Cd. A, Cladribine) • En önemli yan etki miyelosupresyon ilişkili nötropenik ateştir, ancak sitokin ilişkili febril reaksiyonlar da olabilir • Bu ilaçla da DCF de olduğu gibi özellikle T 4+ hücrelerin azalması sonucu immünsupresyon gelişir • Bu ilaç ile ikincil malignensi riskinden söz edilmektedir. örneğin 209 olguluk seride 108 ayda 47 olguda ikinci neoplazi saptanmış, 2. 03 kat artmış risk saptanmıştır
HCL’de Cladribin tedavisinin uzun dönem izlemi
HCL’de Cladribin tedavisinin uzun dönem izlemi • Tek kür kladribin tedavisi sonra CR(%95) ve PR(%5) sağlanmış, 207 hasta en az 7 yıl takip edilmiş • Tüm yanıt alınan hastalarda ortalama yanıtta kalma süresi 98 ay saptanmış • 76 (%36) hastada ilk kür Kladribin tedavisi sonrası relaps gelişmiş Goodman, G. R. et al. J Clin Oncol; 21: 891 -896 2003
Toplam Sürvi 108 ayda %97 olarak bildirilmiş Goodman, G. R. et al. J Clin Oncol; 21: 891 -896 2003
Chadha, P. et al. Blood 2005; 106: 241 -246
Minimal Rezidü Hastalık( MRD) • Pürin nükleozide analogları kullanılarak( 2 -CDA, DFC) geleneksel kriterlere göre CR sağlanan hastalarda İmmünohistokimyasal teknikler kullanılarak Kemik iliğinde Minimal Rezidü hastalık saptanabilir • Yapılan bir çalışmada MRD prevalansını ve MRD li ve MRD olmayan hastalarda hastalıksız yaşam süresini değerlendirmek için her iki ajan kullanılarak geleneksel kriterlere göre CR olan hastalar çalışmaya alınmış Tallman M S et al. Clin Cancer Res 1999; 5: 1665 -1670
• Tek kür 2 -Cd. A ile tedavi edilmiş 39 hastadan ve multiple kürler 2 -DCF ile tedavi edilmiş 27 hastadan kemik iliği yapılarak MRD için değerlendirilmiş (monoclonal antibodies anti-CD 20, DBA. 44, and anti-CD 45 RO ) • Cd. A ile tedavi edilen 39 hastanın 5’de; DCF ile redavi edilenn hastanın 27 hastanın 7’de MRD saptanmış (p: 0, 2) • MRD’li toplam 12 hastanın 6’da relaps gelişirken; MRD olmayan 54 hastanın 3’de relaps gelişmiş • MRD’li hastalarda 4 yıllık hastalıksz yaşam süresi %55 iken MRD olmayan hastalarda %88 (P = 0. 0023) Tallman M S et al. Clin Cancer Res 1999; 5: 1665 -1670
Tallman M S et al. Clin Cancer Res 1999; 5: 1665 -1670
İmmunoterapi • Rituksimab: HCL’de CD 20 ekspresyonu oldukça yüksek olup tedavi seçeneği olarak uygundur • R/R 150 olguda 8 doz rituksimab ile yanıt oranı %53’u TR olmak üzere %80 bulunmuştur • Gerek CD 22, gerek CD 25 gerekse de CD 52 ekspresyonu oldukca yüksek olup anti-CD 22, 25 ve CD 52 tedavileri mantıklıdır