Gynekologicko porodnick oddlen Nemocnice Teb Prim MUDr Michal
Gynekologicko porodnické oddělení Nemocnice Třebíč Primář MUDr. Michal Málek Screening preeklampsie – pravda nebo fikce ? MUDr. Peter Bisták 5. Jihlavská konference fetomaternální a perinatální medicíny 16. června 2016
• • • Definice Klasifikace Epidemiologie Etiologie Patogeneze Komplikace Prevence Predikce Třebíčská „studie“ Závěr Informační zdroje
Definice • Preeklampsie (PE) - je pro těhotenství specifické multiorgánové onemocnění nejasné etiologie, nejčastěji je charakterizována jako hypertenze objevující se poprvé po 20. týdnu těhotenství, doprovázena signifikantní proteinurií nad 300 mg bílkovin za den - nutná přítomnost placenty, nikoliv plodu - podílí se značnou měrou na mateřské a novorozenecké morbiditě a mortalitě
Klasifikace hypertenze v graviditě I. preeklampsie - mírná - vznik hypertenze s proteinurií, ev. edémy v graviditě po 20. t. t. , TK 140/90 -159/109 mm. Hg, proteinurie 0, 3 -5 g/l za 24 hod - těžká - TK > 160/110 mm. Hg, proteinurie > 5 g/24 hod, epigastrická bolest či bolest v pravém hypochondriu, cefalea, poruchy vizu nebo HELLP sy II. eklampsie - záchvat tonicko-klonických křečí navazujících na těžkou nebo superponovanou preeklampsii, nemajících příčinu v jiné mozkové patologii III. chronická hypertenze - trvalá systolická i diastolická hypertenzní choroba zjištěná před těhotenstvím či dg. před 20. t. t. nebo trvalá hypertenze po 12. týdnu po porodu, esenciální vs. sekundární IV. preeklampsie superponovaná na chronickou hypertenzi V. gestační hypertenze – hypertenze bez proteinurie po 20. t. t. , tranzitorní - nejsou změny v labor. hodnotách, vymizení v graviditě či raném puerperiu * hypertenze přímo vyvolaná těhotenstvím - časný patol. vývoj plodu s chromozomální aberací, nonimunní hydrops plodu, molární těhotenství
• Časná preeklampsie < 34. t. t. (early onset preeclampsia) → porucha fetoplacentární jednotky - dysfunkce placenty - IUGR - snížený objem placentární tkáně - abnormální flowmetrie na Ut. A a AU - závažná mateřská a neonatální morbidita a mortalita
• Pozdní preeklampsie (late onset preeclampsia) → většinou vzniká na podkladě chronického onemocnění matky - normální nebo zvětšený objem placentární tkáně - fyziologický růst plodu - fyziologický nebo mírně abnormní flowmetrie - příznivá prognóza pro matku i plod
Epidemiologie • Preeklampsie - se manifestuje obvykle ve III. trimestru - postihuje ve střední Evropě 4 -8% všech těhotenství (časná PE u 1 -1, 5%, pozdní PE u 4%) - ↑ incidence vlivem potenciace rizikových faktorů • Chronická hypertenze (CH) se vyskytuje v 1 -5% všech těhotenství • Gestační hypertenze (GH) v 5 -16% všech těhotenství
Hypertenzní poruchy v graviditě GH 10% 30% GH+PE 20% CH 40% CH+PE
Etiologie • Rizikové faktory před těhotenstvím a) související s partnerem – parita, omezená expozice spermatu b) nesouvisející s partnerem – OA a RA, trombofilní stavy, věk, rasa c) chronická onemocnění - chronická hypertenze, vaskulární a renální onem. , DM, autoimunitní onemocnění, obezita, migrény, zevní faktory, malnutrice, stres, SSRI v I. trim.
• Rizikové faktory v průběhu těhotenství - vícečetné těhotenství, strukturální VVV plodu, hydrops plodu, chromozomální anomálie, molární těhotenství • Protektivní faktory - časné užití ASA - LMWH (před 12. t. t. ) – především u žen s trombofilními stavy - abúzus nikotinu ( ↓ s. FLT-1)
Patogeneze • Remodeling arterií - začína na konci I. trim. a končí kolem 18. až 20. t. t. Vlk R. , Preeklampsie, 2015, 56
Redmanova hypotéza 1. preklinické (placentární) stadium 2. klinické (maternální) stadium Vlk R. , Preeklampsie, 2015, 58
Komplikace a) maternální – eklampsie, intrakraniální krvácení, retinální edém, plicní edém, srdeční selhání, akutní renální selhání, hepatopatie, DIC, … b) fetální – abrupce placenty, IUGR, předčasný porod, intrauterinní úmrtí plodu
Prevence • primární prevence – neznáma příčina → není možná • sekundární prevence – predikci rizikové skupiny těhotných → ASA protect, LMWH Studiemi nepotvrzený možný efekt : pohybový režim, životní styl, snížený příjem soli, antioxidanty – vit. C a E, Se, Zn, rybí olej, česnek, Ca, Mg, progesteron, jiné (Sildenafil, koenzym Q 10, acidum folicum)
ASA – kyselina acetylsalicylová - ovlivňuje agregaci trombocytů, jejich funkce a změny cévní stěny kapilár jsou regulovány lokálně působícími prostaglandiny – Prostacyklin vs. Tromboxan - nízké dávky ASA inhibují aktivitu COX → ↓ tvorby Tromboxanu - Prostacyklin má antiagregační a vazodilatační účinek → lepší prokrvení dělohy ASA 100 mg/D večer (80 -150 mg/den)
- některé studie (např. z USA) ukázaly nárůst případů abrupce placenty při medikaci ASA - dle Cochrane databáze ASA protect vede k 19% redukci ve výskytu PE, 8% předčasného porodu - ženy se středním nebo vysokým rizikem rozvoje časné PE by mohly profitovat z ASA, významná redukce zejména těžké PE, méně pak i prosté gest. hypertenze, důležitá časná aplikace ASA, po 16. t. t. již ASA nevedla ke ↓ výskytu PE
Predikce Cílem je nalezení screeningových testů k časné identifikaci žen s rizikem rozvoje PE, které by mohly následně profitovat z dispenzarizace a časné léčby. 1) hodnocení anamnestických rizikových faktorů 2) krevní tlak – MAP je d. TK + /(s. TK-d. Tk): 3/ 3) biochemické markery 4) dopplerovské UZ měření uterinních arterií 5) kombinovaný screening – izolovaně mají markery nízkou prediktivní hodnotu, proto mnoho studií ověřuje jejich různé kombinace
3) biochemické markery - změny jejich hladin v séru těhot. mohou být preklinickou známkou endotelové dysfunkce • ↓ Pro-angiogenní účinek – VEGF, Pl. GF, TGFβ • ↑ Anti-angiogenní účinek – s. FLT-1, s. Eng - klin. manifestace preeklampsie je projevem dysbalance cirkulujících pro- a antiangiogenních faktorů v mateřské cirkulaci
s. FLT-1 - ↑ hladiny detekujeme 5 -6 tý před klin. manifestací - váže VEGF a Pl. GF - u mírné PE 2 x vyšší, u těžké PE 5 x vyšší hladina, po porodu brzy klesá - u pacientek s mírnou PE, HELLP sy, či LO-IUGR nebývá ↑ před 20. t. t. , u těžší PE zvýšený již v 16. -20. t. t. /dle Wathena/ - vyšší senzitivita ve II. Trim.
s. Eng - ↓ vazodilatační účinek NO - klesá koncem I. a počátkem II. trim. - u časné PE stoupá počátkem II. trimestru - u pozdní PE mezi 25. -28. t. t. neklesá nebo stoupá dle tíže PE PP 13 - abnormálně nízká hladina u PE v I. trimestru, koncem II. a ve III. trimestru naopak vyšší PAPP-A - významně ↓ hladina v I. trim. spojena s rizikem PE Inhibin A (↑ u PE) a Aktivin A
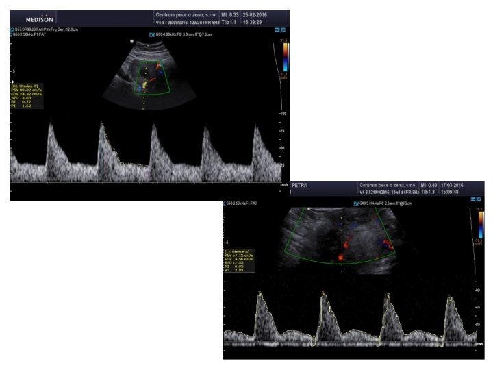
4) dopplerovské UZ měření uterinních arterií - neinvazivní metoda - nepřímé hodnocení U-P cirkulace - u preeklampsie a často i IUGR abnormální placentace rezultuje v inadekvátní U-P perfuzi, na které se podílí mimo uterinní i ovarická arterie - ABD nebo (TVS) v průběhu I. a II. , ev. III. trimestru s využitím barevného dopplerovského mapování a pulzního doppler. měření získáme charakteristické průtokové křivky
1) sagitální zobrazení děl. hrdla a DDS 2) naklonění sondy ze strany na stranu 3) barevné dopplerovské mapování 4) pulzní dopplerovské měření /PI s gatem 2 mm, úhel insonance < 30⁰, zvětšení takové, aby byl vzorkovací objem umístěn do průsvitu tepny/ 5) 3 křivky podobného tvaru na obou Ut. A, používá se nejnižší naměřená hodnota PI 6) při ABD vyšetření směruje proud krve v Ut. A v ideálním případě směrem k sondě /červeně/, max. rychlost 60 cm/s a více, tak vyloučíme záměnu za cervikální větve Ut. A
Normální nález - nízké enddiastolické toky a pokles toku v časné diastole (přítomnost zářezu, tzv. notch) - typický tvar Ut. A u netěhotných žen nebo v I. trim. - hodnoty PI Ut. A se během gravidity postupně ↓, kolem termínu porodu se mohou nepatrně ↑ - kolem 10. týdnu je normální hodnota asi 2, 5, v 16. t. t. je to 1, 5, ve 24. t. t. 1, 0, a ve 38. t. t. 0, 8 → Mo. M
Calda P. , UZ diagnostika v těhot. a gynek. , 2010, 358
Při preeklampsii - přítomnost notch v II. trim. (zejména po 24. t. t. ) asociována s inadekvátní trofoblastickou invazí - vysoká rezistence v Ut. A → abnormální tvar křivky (↑ PI Ut. A, přítomnost notch) - metaanalýza 74 studií → abnormální UZ nález v I. a zejména ve II. trim. je považován za vhodný screeningový test závážnosti a progrese PE i IUGR, přítomnost notch v Ut. A v III. trim. po 28. t. t. riziko pozdní PE - senzitivita 80 -90%, specificita 39 -47%
5) kombinovaný screening a) anamnéza + PAPP-A (pod 10. percentilem) + PI Ut. A (nad 95. percentilem) /studie Pilalis et al. 2007, DR 33% pro časnou PE/ b) anamnéza + PI Ut. A + MAP /studie Poon et al. 2009, DR 81% pro časnou PE, 45% pozdní PE, 35% GH/ c) ↑hladiny s. Eng a ↑ poměr s. FLT-1/Pl. GF d) v 1. kroku Pl. GF v moči, ve 2. kroku s. FLT-1/Pl. GF e) PP 13 + PI Ut. A /predikce 90% těžké PE, při FPR 6%/ f) jiné
Frisová V. , Management hraničních a abnorm. nálezů při screeningu Downova sy v 1. trim. , 2016
Vlk R. , Preeklampsie, 2015, 133
FMF - efektivní screening jako 2 -kroková strategie - pro jednočetné gravidity
1. krok → snaha o predikci preeklampsie již koncem I. trimestru vzhledem k malým možnostem prevence - ASA protect před 16. t. g. → cíleny na EO-PE a) nejúčinnější prediktivní test v I. trimestru anamnéza + MAP + PI Ut. A + PAPP-A a Pl. GF DR 89% pro EO-PE, 75% preterm-PE (<37. t. t. ), 47% term-PE (≥ 37. t. t) při FPR 10% b) nejúčinnější prediktivní test v II. trimestru MAP + PI Ut. A + poměr s. FLT-1/Pl. GF ve 24. t. t. DR 99% pro EO-PE, 85% preterm-PE, 46% term-PE při FPR 10%
2. krok → cílený na rizikové pacientky v III. trim. (30. - 33. t. t. ) - na predikci LO-PE → časná terapie MAP + PI Ut. A + poměr s. FLT-1/Pl. GF DR 98% preterm-PE, 60% term-PE při FPR 10%
www. fetalmedicine. org
Diagnostika - cílem je zabránit rozvoji těžké hypertenze a vzniku maternálních a fetálních komplikací - anamnéza, fyzikální vyšetření - vyšetření moči, TK, hmotnosti pacientky - růstu plodu – palpačně, vzdálenost Sp-F, UZ biometrie ( EO vs. LO- IUGR /SGA ) - laboratoř (KM, alb, ALT, AST, LD, Tromb, Ery) - CTG, ZOT, biofyzikální profil Ambulance - zhodnocení rizika, OG vs. special. poradna vs. Hospitalizace - došetření, plánování doby a způsobu porodu
- zavedením predikčních markerů do klin. praxe se dá ↓délka hospitalizace až o polovinu → úspora nákladů - studie PROGNOSIS – pacientky gr. h. 24+0 až 36+6 s. FLT-1/Pl. GF - testy Elecsys – rychlý management PE
cut off s. FLT-1/Pl. GF a) > 85 → hospitalizace k došetření ( senzitivita 88%, specificita 99% ) b) 38 -84 → kontrola za 1 -2 týdny, ↑ riziko vývoje těžké preeklampsie c) < 38 → kontrola až za 4 týdny, nebude preeklampsie v průběhu příštího 1 týdne ( velmi vysoká negativní prediktivní hodnota testu 99, 3% ) • aplikovatelné u těhotných: - se známkami a symptomy preeklampsie - asymptomatické se ↑ rizikem rozvoje preklampsie
Doporučení ACOG z 9/2015 - … není evidence, že by testy a terapie vedly prokazatelně k lepším výsledkům rizikových těhotenství určených v I. trimestr. screeningu PE, … současné metody mají nízkou prediktivní hodnotu, je nimi zatíženo falešně hodně žen, aby se zachytila reálna diagnóza
Třebíčská „studie“ - od 28. 6. 2012 do 22. 2. 2016 vyšetřeno v CPOZ Třebíč v rámci I. trimestrálního screeningu celkově 1132 klientek nar. 1969 – 1996 - od 22. 10. 2013 stanovení rizika preeklampsie u 782 klientek s jednočetnou graviditou na základě kombinace anamnestických údajů, MAP, PI Ut. A, PAPP-A - převážně retrospektivní - 4 zatím neporodily → cut off 1: 100 dle Astraia cut off 1: 216 dle Akolekar et al. 2012 DR 92, 5% pro časnou PE při FPR 10% - ASA 100 mg/den do 32. t. t.
N – 36 klientek cut off ≥ 1: 100 … 4, 6% 1 missed abortion in gr. h. 15 4 zatím neporodily n – 31 klientek 3% bez HT (17) 16% 26% GH (8) 55% Spont. +PGE 2 (17) 42% 55% CH (5) mírná LO-PE (1) VEX (1) SC (13) - jiná indikace 3%
LO-IUGR+SGA(6) eutrofie (25) 19% 81% IVF u 2 BMI ≥ 35 u 6 CH u 5 Th po puerperiu de novo 1
- od 1. 4. 2014 do 24. 5. 2016 … 2613 porodů v Nemocnici Třebíč - průzkum porodních knih, vyhledávaní všech rodiček, které bez anamn. ASA protect a u kterých se rozvinula PE - n – 22 rodiček … 0, 84 % Preeklampsie mírná a PGE 2 (3) těžká a SC (19) Těžká preeklampsie EO-PE (12) LO-PE (7) 14% 37% 63% 86%
→ z CPOZ Třebíč 5 rodiček - 1 se nedostavila na I. screening - 2 gemini bi-bi - 1 x cut off 1: 161 a 1 x cutt off 1: 325 → těžká, EO-PE
Závěr Screening preeklampsie má smysl
Kdo je připraven, není překvapen Děkuji za pozornost
Informační zdroje • Vlk R. a kol. , Preeklampsie, 2015 • Šimetka O. a kol. , HELLP syndrom, 2013 • Calda P. a kol. , Ultrazvuková diagnostika v těhotenství a gynekologii, 2. vydání, 2010 • www. fetalmedicine. org • Frisová V. , Management hraničních a abnormálních nálezů při screeningu Downova syndromu v 1. trimestru, 2016 • Pařízek A. a kol. , Kritické stavy v porodnictví, 2012 • Poon L. C. and Nicolaides K. H. , Early Prediction of Preeclampsia, 2014 • Leahomschi S. , Calda P. , Klinické využití nových biomarkerů preeklampsie, 2016 • www. gynstart. cz, Prvotrimestrální skríning preeklampsie ACOG doporučení, 2. 9. 2015 • AMIS Nemocnice Třebíč, PC doctor CPOZ, Astraia
- Slides: 48