GRMSEL RADYOLOJ NEDR Radyolojik yntemler eliinde Vaskler veveya

























































- Slides: 57
GİRİŞİMSEL RADYOLOJİ NEDİR? üRadyolojik yöntemler eşliğinde üVasküler ve/veya perkütan yaklaşımlarla üÖzel materyaller (iğne, kateter, balon dilatasyon kateterleri, drenaj kateterleri vb) kullanılan üTanı ve tedavi yöntemidir
GİRİŞİMSEL RADYOLOJİDE KULLANILAN RADYOLOJİK YÖNTEMLER üFloroskopi üDSA (digital substraction angiography) üUSG üRenkli Doppler USG üBT üMR
Subklavyan stenoz; PTA
Fibromuskular displazi (FMD) Sağ renal arter stenozu; PTA
9 aylık bebekte torakal-abdominal aorta darlığı; PTA
Karotis stent
Sol renal arter stent
Bilateral renal arter stent
Sağ common iliak arter oklüzyonu; stent (kontrlateral yaklaşım)
Sol SFA oklüzyon; stent
Sağ SFA oklüzyon; stent
Fibrozan mediastinit; SVC oklüzyonu; Stent ile tedavi
Cover Stent üKapalı-örgülü metalik stentlerin damar lümeni içerisine yerleştirilmesi üAortik anevrizma-diseksiyon üAnevrizma üPsödoanevrizma üAVF (arteriyovenöz fistül) üVasküler travma
Sol eksternel iliak arterde anevrizma; cover stent; Retrograd dolmasın diye internal iliak arterin coil ile embolizasyonu
Endogreft üEndovasküler uygulanan greft üCerrahi eksplorasyon+endovasküler teknik üAnevrizma tedavisi+vasküler rekonstrüksiyon üTorakal aorta anevrizması üAbdominal aorta anevrizması üİliak arter anevrizması
Infrarenal Abdominal Aort Anevrizması; Endogreft ile tedavi
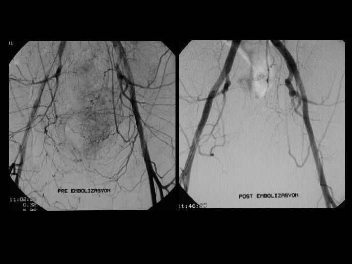
Sağ Humerus da Anevrizmal kemik kisti; Embolizasyon; Tümoral devaskülarizasyon; PVA ile
İliak kanatta malign melanoma metastazı; preop. tümoral devaskülarizasyon; PVA embolizan ajan ile
İliak arter enjeksiyonu Uterin arter enjeksiyonu Serviks ca; vaginal kanama; tümoral devaskülarizasyon ile kanama kontrolu; PVA ile emb.
Embolizasyon Post emb. Sağ uylukta AVM; Onyx ile embolizasyon
High-flow priapism pudental psödoanv. emb.
Behçet hast. Hemoptizi; NBCA (histoakril) ile emb. Pre-emb. Post emb. PAA anevrizma Post emb.
Postpartum hemoraji; subtotal histerektomi psödoanev. Emb.
Sağ PFA post-travmatik psödoanv. emb. Onyx ile
Post-biopsi intrarenal psödoanv. emb. NBCA ile
Pre emb. Post emb.
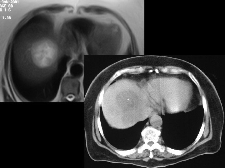
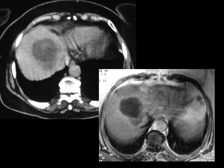
HCC; kemoembolizasyon
Sakrumda litikekspansil lezyon İ. İ. A. B. Kordoma
PERTUCUT Femur distalinde sklerotik lezyon; Yüksek grade’li osteosarkom
İ. İ. A. B. İliak kanatta litik lezyon; Anevrizmal Kemik Kisti
Torakal vertebrada litik+destrüktif yumuşak doku kitlesi Trucut Multiple myelom
İ. İ. A. B L 2 vertebra Nekrozlaşan granülamatöz iltihap; Tbc
İ. İ. A. B. İliak kemik post. destrüksiyon ve yum. doku kitlesi; Foliküler tiroid ca met
C 5 de dest. yapan kitle İ. İ. A. B. ; Az sayıda yuvarlak malign tm hücreleri Açık bx; Adeno ca met
-----------------Tiroid kitlesi Skapulada dest. kitle İ. İ. A. B. Skapulada tiroid foliküler ca met
Lomber vertebrada litik lezyon Az diferansiye adeno ca met Osticut
Ampulla Vateri tümörü; Perkütan Transhepatik Bilier Drenaj (eksternal)
Perkütan Transhepatik Bilier Drenaj (internal)
Perkütan Antegrad NEFROSTOMİ
RF (Radyofrekans Tümoral Ablasyon) üBilgisayarlı tomografi veya US kılavuzluğunda üÖzellikle karaciğerdeki 3 cm metastatik veya primer neoplazilerin üRF iğnesi ile radyofrekans dalgaları verilerek oluşturulan moleküler ısı sonucu tümoral lezyonun ablasyonu
RF Ablasyon Evreleri Sürtünme ile oluşan ısı İletken ısı
Vertebroplasti üFloroskopi ve bilgisayarlı tomografi kılavuzluğunda üSement benzeri materyalin kollabe vertebra korpusuna perkütan olarak özel iğne ve tabanca ile enjeksiyonu üAğrılı osteoporoz üMetastatik veya tümoral lezyonlar
SEMENT ENJEKSİYONU
Vertebra hemanjiomu
Osteoporoz
Metastaz