GRANULOMA DE COLESTEROL DEL APEX PETROSO Patricia Naranjo

















- Slides: 17
GRANULOMA DE COLESTEROL DEL APEX PETROSO Patricia Naranjo Romaguera, Delfina Dualde Beltran, Sergio Torondel Calaforra, Marta Hernandorena, Julio Palmero da Cruz. HOSPITAL CLINICO UNIVERSITARIO DE VALENCIA
Granuloma de colesterol Es una reacción de células gigantes a cuerpo extraño que provoca el deposito de colesterol asociado a aéreas de fibrosis y proliferación vascular. El mecanismo patogénico parece ser la obstrucción de las celdillas neumatizadas que origina un circulo vicioso de hemorragia y formación de tejido de granulación
clínica Puede tener antecedentes de otitis media serosa. Síntomas vagos: Tinitus vértigo perdida de audición neurosensorial Parálisis facial
Hallazgos radiológicos En nuestro hospital a los pacientes con sospecha de patología del vértice del peñasco se les realiza TC y RM. A todos los pacientes se les realizo la exploración con TC Toshiba mutidetector de 4 detectores con cortes de 0. 5 mm y reconstrucciones coronales
TC Las lesiones de esta localización pueden ser clasificadas en solidas y quísticas. El granuloma de colesterol es la lesión quística mas frecuente. • La lesión es homogénea de baja atenuación y no esta calcificada, expansiva , erosiva con márgenes bien definidos. • Además se valoro : • la neumatizacion del apex petroso de manera bilateral. • La extensión a fosa cerebral media • La erosión ósea
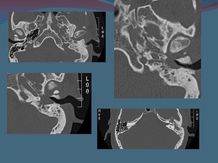
Granuloma de colesterol. Reconstrucciones coronales. ocupación del vertice del peñasco izquierdo asociado a erosión osea
Se han de describir los hallazgos anatómicos relevantes : el bulbo de la yugular, El recorrido del n. facial, la pared posterior del seno esfenoidal La carótida interna El laberinto óseo
RM Muestra la lesión con gran especificad. Presenta alta intensidad de señal en secuencias ponderadas en. T 1 y en T 2. Secuencias potenciadas en T 1 plano axial donde se observa masa hiperintensa y homogénea ocupando el vértice del peñasco
Secuencias potenciadas en t 2 plano coronal donde se observa ocupación del peñasco izquierdo incluido apex petroso por masa hiperintensa
T 1 +GD
Secuencias potencidas en T 2 plano axial y coronal donde se observa el granuloma del apex petroso izquierdo
Diagnostico diferencial colesteatoma mucocele Aneurisma de carótida petrosa meningocele
Los GC localizados en la cavidad de una mastoidectomia se han denominado quistes de chocolate , y puede confundirse en la exploración otosocopica con una masa vascular. DD: arteria carotida interna aberrante bulbo yugular dehiscente glomus Ocupación de cavidad timpánica izquierda por mas de partes blandas que realza intensamente tras la administración de contraste endovenoso que se continua por el foramen yugular en relación a glomus yugulo-timpanico
Colesteatoma agresivo que se disemina al peñasco desde el oído medio. El TC : lesión de pared lisa, expansiva, con densidad inferior al del cerebro. En RM señal baja e intermedia en T 1 y mayor en T 2
Ocupación de cavidad timpánica y celdas mastoideas de densidad partes blandas con adelgazamiento del techo del tímpano y presencia de fistula laberíntica bulbo de la yugular derecha prominente
Mucocele Debido a obstrucción de celdas mastoideas en la punta del peñasco Y persiste la secreción de moco que ocasiona expansión y remodelación del seno. es raro en esta localización Comportamiento de RM variable