GRAND ROUNDS Denise A John VEI 1192007 Case

































- Slides: 33
GRAND ROUNDS Denise A. John VEI 1/19/2007
Case n HPI: 17 y/o ♀ s/p trauma OD ~ 2 wks earlier awoke in the AM with severe pain & vision OD. n ROS: Headache & nausea x 2 days n PMHX: Umbilical hernia
Case n POHX: n Trauma OD n n Hyphema Commotio retinae Hemorrhagic choroidal detachment ø Surgery/lasers n FHX: (-) n SHX: ø Tobacco/ETOH n Allergies: NKDA n Meds: PF 1% qid OD; stopped atropine 1% a wk earlier
Case 20/400 NI n VAsc 20/30 n Motility: Full OU n 52 IOPA 16 n Pupils: Moderately dilated & sluggish OD; ø RAPD
Differential Diagnosis n n n Hyphema Traumatic iritis Traumatic glaucoma n n n Lens-induced Ghost cell Trabecular meshwork damage/Angle recession Steroid response Closed cyclodialysis cleft
Case n External exam: Unremarkable OU n SLE: n OD: 2+ conjunctival injection; corneal MCE; AC deep & formed with rare cell; multiple iris sphincter tears; lens clear & centered; trace pigmented vitreous cells n OS: Unremarkable n DFE
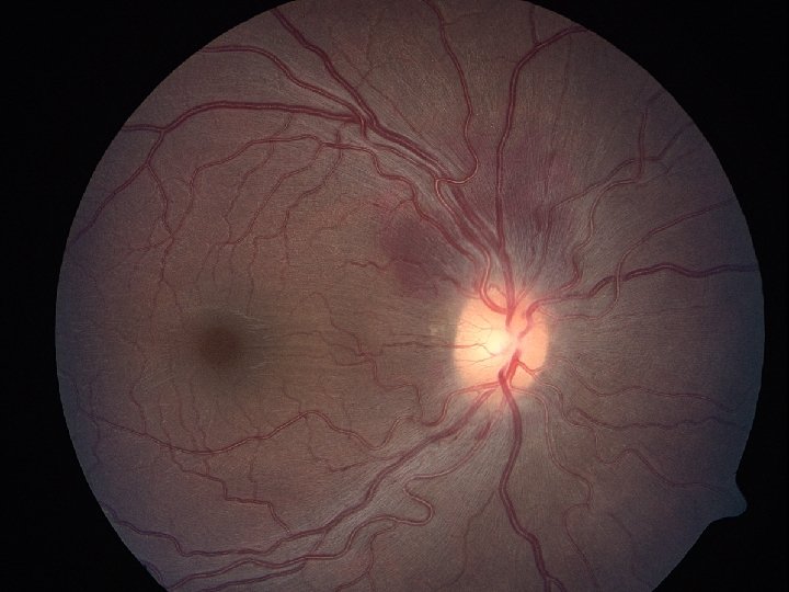
Summary n Recent history of blunt trauma OD with period of IOP with the development of a hemorrhagic choroidal detachment, optic disc edema, retinal venous engorgement & macular striae now with IOP. n What is your diagnosis?
What would you like to do next?
Case n Assessment: n Spontaneous closure of a cyclodialysis cleft with IOP n Plan: n n n IOP to 32 (alphagan/cosopt/diamox) in clinic Sent home on glaucoma gtts/diamox/PF & atropine F/u 3 days
Cyclodialysis: Pathophysiology n Blunt trauma: n Axial compression & rapid compensatory equatorial expansion
Cyclodialysis: Pathophysiology n n Separation of the longitudinal ciliary muscle fibers from the scleral spur Uveal-scleral outflow
Cyclodialysis n Uncommon n Etiology: n Accidental Blunt ocular trauma n Ocular surgeries involving manipulation of the iris tissue n n Intentional n Glaucoma management
Surgical Cyclodialysis n Heine, 1905: n Alternative to filtering surgery, esp. in aphakic glaucoma n Unpredictable results n Complications: Hemorrhage, stripping of Descemet’s, corneal damage, tearing of the iris/ciliary body, lens injury & vitreous loss & phthisis
Cyclodialysis: Complications n Hypotony (IOP < 6) n Internal filtration, aqueous production or both n Often stabilizes in a few weeks n Magnitude of hypotony ø proportional to size of cleft n Variable VA n Transudation of protein-rich fluid into the subretinal space in posterior pole n Statistical association between IOP < 4 & VA < 20/200
Cyclodialysis: Complications n n n n Shallow AC Induced hyperopia Cataract Choroidal effusion Retinal & choroidal folds Engorgement & stasis of retinal veins CME Optic disc edema
Diagnosis n Clinical n Gonioscopy n Often small < 4 clock hrs n White band (sclera) below the TM n Ultrasound biomicroscopy (UBM) n Resolution with higher frequencies at the expense of depth of penetration n 50 MHz transducer n 50 μm resolution n 5 mm penetration n Accurate assessment of location & size
Cyclodialysis: Management n Goal: Reverse hypotony n Indications for treatment: Hypotonous maculopathy + disc edema n Macular folds n Choroidal detachment n Corneal edema + worsening vision n
Cyclodialysis: Medical n 1 st line treatment n Duration: 6 wks n Topical long-acting cycloplegic n 1% Atropine n Corticosteroids ø indicated
Cyclodialysis: Laser n Argon laser photocoagulation (Joondeph, HC; 1980) n n 400 -800 m. W 200μm spot size 0. 1 -0. 2 sec Transscleral YAG laser cyclophotocoagulation (Brooks et al. ; 1991) n n n 6 J power 20 applications 2 -3 mm behind limbus
Cyclodialysis: Surgical Techniques n Ciliochoroidal diathermy n Direct cyclopexy n Indirect cyclopexy (Mc. Cannel retrievable suture) n Iris-base inclusion cyclopexy n Anterior scleral buckle n Vitrectomy/cryotherapy/gas tamponade
Cyclodialysis: Hypotony Management n Aminlari et al , 2004, described the management of 7 pts with a cyclodialysis cleft n n n Etiology of cyclodialysis cleft n 1 eye: blunt trauma n 5 eyes: s/p ECCE n 1 eye: s/p trabeculotomy Duration of ocular hypotony (IOP range 0 -6 mm. Hg) n 2 pts: 1 -2 wks n 3 pts: 3 -5 mos n 2 pts: > 1 yr VA pretreatment: Range 20/50 -20/100
Cyclodialysis: Hypotony Management n 4/7 eyes: Medical tx (atropine 1% BID-TID) alone n n 2 eyes: 2 treatments of argon laser (1 wk apart) due to ø response atropine tid-qid n n Hypotony reversed in 4 days 1 eye: Surgical closure (direct cyclopexy) n n n Hypotony reversed within 1 wk Pediatric pt unable to cooperate at slitlamp for laser Hypotony reversed POD#1 VA post-treatment: Range 20/20 -20/60
Cyclodialysis: Management Algorithm 1. Medical tx 2. Laser 3. Repeat laser Ormerod et al, 1991 Small cleft (< 2 clock hrs) 1. Direct cyclopexy 2. Ciliochoroidal diathermy 3. Indirect cyclopexy Medium cleft (2 -4 clock hrs) Large cleft (> 4 clock hrs) 1. Direct cyclopexy 2. Ciliochoroidal diathermy 1. Direct cyclopexy 2. Anterior scleral buckle
Cyclodialysis: Management n Cyclodialysis cleft may close spontaneously due to… n n n Inflammatory response hyphema Cycloplegia n May occur within first 6 wks n More common in children
Cyclodialysis: Management n Following resolution, a self-limited ocular hypertension is common within the first 2 wks n IOP rarely > 45 mm. Hg n Miotics are contraindicated
Cyclodialysis: Prognosis n Vision often improves after hypotony is corrected (IOP: 6 -12 mm. Hg) Best results with early correction n Vision may improve rapidly or take months n n Delay of treatment > 8 wks the risk of losing 1 -3 snellen lines of vision
Back to our patient… n VA 20/60; IOP nrl on f/u appt. n Tapered pred forte; atropine continued; glaucoma gtts/diamox stopped n ~ 2 wks after IOP normalized, recurrence of IOP (38); VA 20/50+2; glaucoma gtts resumed; PF/atropine stopped n ~ 2 wk f/u IOP normalized; VA 20/25 -2; glaucoma gtts continued n Follow-up 3 mos
Take home points… n Cyclodialysis cleft should be considered with IOP in setting of blunt trauma. n Closed cyclodialysis cleft should be considered with IOP and a history of blunt trauma (within 6 wks) and IOP with signs of hypotony maculopathy &/or choroidal detachment. n Hypotony is the major complication & is responsible for vision loss. n A hypotonous cyclodiaysis cleft without retinopathy does not require treatment. n Goal of treatment is to reverse the hypotony n Medical treatment is the primary form of management for the first 6 wks.
References n n n n n Ormerod et al. Management of a hypotonous cyclodialysis cleft. Ophth 1991; 98 (9): 1384 -93 Tran et al. UBM in the diagnosis & management of cyclodialysis cleft. Asian J Ophth, Vol. 4 (3) 2002; 11 -15 Hansen et al. Visualized cyclodialysis: an additional option in glaucoma surgery. Acta Ophth. 1986; 64: 142 -45 Joondeph HC. Management of postoperative & post-traumatic cyclodialysis clefts with argon laser photocoagulation. Ophth Surg. 1980; 11: 186 -88 Brooks et al. Noninvasive closure of a persistent cyclodialysis cleft. Ophth. 1996; 103: 1943 -45 Aminlari et al. Medical/surgical/laser management of cyclodialysis cleft. Arch Ophth. 2004; 122; 399 -404 Alward. Color Atlas of Gonioscopy. AAO. 2001 BCSC. Glaucoma. AAO. 2004 -5 Yanoff. Traumatic Glaucomas. 2 nd Ed. 2004 Allingham et al. Shield’s testbook of glaucoma. Traumatic Glaucomas. 5 th Ed. 2005