Grand Rounds Chronic Epiphora Kevin Lowder MD PGY



























- Slides: 27
Grand Rounds “Chronic Epiphora” Kevin Lowder, MD – PGY 4 1/10/2020 Department of Ophthalmology and Visual Sciences
Patient Presentation CC Chronic epiphora and discharge HPI • 48 -year-old female presents with complaints of 1 -2 years of tearing in the right eye, worse over the past 3 months including discharge. Over the past 3 weeks, she has noticed a swollen and tender mass near the medial canthus. Was started on PO Keflex and topical Maxitrol ointment by outside provider 1 week prior with no relief. No history of trauma to the area.
History (Hx) Past Ocular Hx: per HPI Past Medical Hx: COPD Fam Hx: Glaucoma (father), Cancer (mother) Meds: PO Keflex, Maxitrol ung, Albuterol inh
History (continued) Allergies: NKA Social Hx: no drugs or Et. OH Ro. S: seasonal allergies, runny nose, cough, severe & frequent colds
Physical Exam OD OS VAcc 20/25 Pupils Round. Brisk. IOP 18 mm. Hg 20 mm. Hg EOM full CVF full Full Adnexa 6 mm mass under medial canthal tendon with tenderness to palpation and purulence expressed from inferior punctum with digital pressure. Punctal irrigation revealed complete obstruction. WNL No r. APD Round. Brisk.
Physical Exam Anterior Exam SLE OD OS Lids WNL Conj/Sclera Mild injection medially WNL Cornea WNL Ant Chamber WNL Normal depth Iris WNL Lens Clear Vitreous WNL No view
Assessment: Acute on Chronic Dacryocystitis Plan: 1. Continue PO Keflex 2. Schedule right external dacryocystorhinostomy (DCR) surgery
Surgery • External incision was made between the nose and medial canthus. • Blunt dissection provides exposure to the lacrimal sac. • Periosteal elevators are used to lift the periosteum and free the lacrimal sac. • An osteotomy is made through the lacrimal sac fossa and anastamozed with the lacrimal sac when suddenly…
Discussion: Sinonasal Papilloma “Schneiderian Papilloma” Benign epithelial tumor with 3 morphological features: 1. 2. 3. Exophytic (fungiform, septal, squamous) Oncocytic (“Cylindrical”) Inverted (most common, ~70%) Can be further broken down histologically (mixed, squamous, junctional)
Copyrights apply
Copyrights apply
Copyrights apply
Discussion Sinonasal Papilloma Features: • Unilateral • Embryological origin (ectodermal invagination) • HPV suspected as a cofactor in pathogenesis • High recurrence rate • Age? (wide range)
Discussion Sinonasal Papilloma • 70 patients, 13 -80 years old (average 53) • 50 male, 20 female • Important factors: chronic sinusitis, location
Discussion Sinonasal Papilloma • They noted papillomas arising from 11 locations, but NONE of the 3 subtypes originated from the lacrimal system as with our patient.
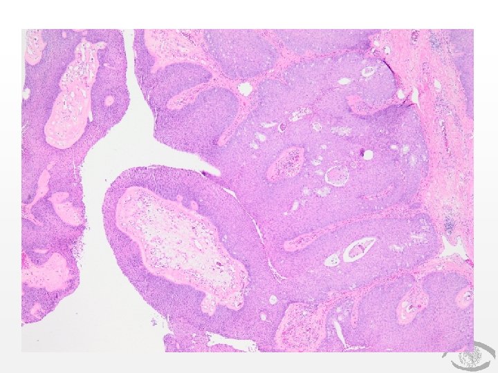
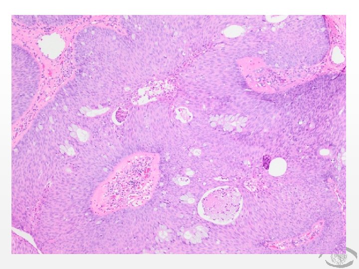
Discussion Sinonasal Papilloma of the Lacrimal Sac
Management Imaging: • CT/MRI Resection: • Endoscopic alone recurrence rate 22% • Endo + External approach recurrence 16%
Management of our patient • Underwent diagnostic nasal endoscopy by ENT: o No signs of a nasal mass • MRI o No signs of intranasal mass o some mild high signal attenuation within the area of the medial canthus consistent with early post-surgical edema
Follow-Up • Monthly clinic visits x 6 months o Complained of new pain and bloody tears o Repeat imaging showed a proximal nasolacrimal sac mass bright on T 2 with contrast, indicating tumor recurrence. o Patient underwent subsequent right dacryocystectomy
Conclusions 1. Sinonasal papilloma has 3 main subtypes (exophytic, inverted, oncocytic/cylindrical) 2. Only the exophytic subtype does NOT have potential for malignant transformation 3. Treatment consists of endoscopic resection by ENT 4. High recurrence rate despite treatment, so careful follow up required.
References Batsakis JG, Suarez P. Schneiderian papillomas and carcinomas: A review. Adv Anat Pathol 2001; 8: 53 -64 Lee JB, Huh K, Lee TS. A case of squamous cell papilloma of the lacrimal sac. J Korean Ophthalmol Soc 1991; 32: 89 -94 Jang JH, Chang SD, Choe MS. A case of recurrent Schneiderian papilloma of the lacrimal sac invading the nasal cavity. Korean J Ophthalmol. 2009; 23(2): 100 -3. Dave TV, Mishra D, Mittal R, Ali MJ. Accidentally diagnosed transitional cell papilloma of the lacrimal sac. Saudi J Ophthalmol. 2017; 31(3): 177 -179. Jang JH, Chang SD, Choe MS. A case of recurrent Schneiderian papilloma of the lacrimal sac invading the nasal cavity. Korean J Ophthalmol. 2009; 23(2): 100 -3. Vorasubin N, Vira D, Suh JD, Bhuta S, Wang MB. Schneiderian papillomas: comparative review of exophytic, oncocytic, and inverted types. Am J Rhinol Allergy. 2013; 27(4): 287 -92. Winter M, Rauer RA, Gode U, et al. Inverted papilloma of the nose and paranasal sinuses: long-term outcome of endo-scopic endonasal resection. HNO 2000; 48: 568– 572.
Special Thanks Dr. Clark Dr. Tomasko Samuel Homra, MS 4