GOAL TO ELIMINATE CROWDING IN THE UPPER AND

  • Slides: 15
Download presentation
GOAL: TO ELIMINATE CROWDING IN THE UPPER AND LOWER ARCH IN THE ESTHETIC ZONE

GOAL: TO ELIMINATE CROWDING IN THE UPPER AND LOWER ARCH IN THE ESTHETIC ZONE PART I ANALYSIS OF THE CREATIVE PROCESS • • • • Initial oral exam Pre-op casts imps Diagnostic Crowding Spacing Malocclusion Review: PVS imps for Invisalign PVS imps for Retention Cad-Cam Review Chairside Delivery and post op evaluation retention for evaluation Template and Attachment Chairside Delivery 6 -8 week Chairside follow up Interproximation and Enamelplasty Periodic Periodontal and Gum Evaluation Smile By. Design. NY. com

CROWDED DENTITION PROFILE OF LIP POSTURE AND INCISOR PROMINENCE ORTHODONTIC TREATMENT USING CLEAR ALIGNERS

CROWDED DENTITION PROFILE OF LIP POSTURE AND INCISOR PROMINENCE ORTHODONTIC TREATMENT USING CLEAR ALIGNERS PART I WILL DEVELOP THE ANALYSES OF THE CROWDED CONDITION TO DETERMINE WHETHER FULL BRACES OR INVISALIGN WILL PROVIDE THE RESULT WE WOULD LIKE TO OBTAIN SMILEBYDESIGNNY. COM

FACIAL PROPORTION AND SYMMETRY EVALUTION BASED ON GOLDEN RATIO SMILEBYDESIGNNY. COM

FACIAL PROPORTION AND SYMMETRY EVALUTION BASED ON GOLDEN RATIO SMILEBYDESIGNNY. COM

LOWER INCISORS SPACE ANALYSIS SMILEBYDESIGNNY. COM

LOWER INCISORS SPACE ANALYSIS SMILEBYDESIGNNY. COM

SMILEBYDESIGNNY. COM

SMILEBYDESIGNNY. COM

SPACE MEASUREMENT OF CROWDED UPPER SECTION 7. 36 7. 81 8. 18 6. 84

SPACE MEASUREMENT OF CROWDED UPPER SECTION 7. 36 7. 81 8. 18 6. 84

M M 7. 2 M 3 M 2 7. 0 3 6. 0 5.

M M 7. 2 M 3 M 2 7. 0 3 6. 0 5. 58 M 5. . 34 5. . 71 M

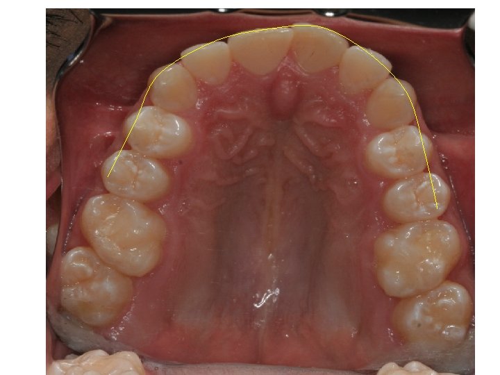
ARCH PERIMETER MEAUSURMENT

ARCH PERIMETER MEAUSURMENT

SMILEBYDESIGNNY. COM WHAT IS OUR ORHODONITC OBJECTIVE? TO ANALYZE THE ESTHETIC ZONE AND PREPARE

SMILEBYDESIGNNY. COM WHAT IS OUR ORHODONITC OBJECTIVE? TO ANALYZE THE ESTHETIC ZONE AND PREPARE A TREATMENT PLAN ON DESIGNING IDEAL SYMMETRY OF INCISAL PLANE, OCCLUSION, AND IDEAL ANGULATION IN THE ESTHETIC ZONE USING THE GOLDEN

RIGHT BUCCAL VIEW NOTE CLASS I MOLAR RELATIONSHIP WITH ROTATED UPPER RIGHT FIRST MOLAR

RIGHT BUCCAL VIEW NOTE CLASS I MOLAR RELATIONSHIP WITH ROTATED UPPER RIGHT FIRST MOLAR SMILEBYDESIGNNY. COM

SMILEBYDESIGNNY. COM LEFT BUCCAL VIEW

SMILEBYDESIGNNY. COM LEFT BUCCAL VIEW

LEFT SIDE PROFILE VIEW SMILEBYDESIGNNY. COM

LEFT SIDE PROFILE VIEW SMILEBYDESIGNNY. COM

RIGHT SIDE PROFILE VIEW SMILEBYDESIGNNY. COM

RIGHT SIDE PROFILE VIEW SMILEBYDESIGNNY. COM

PART II WILL EVALUTE THE SEQUENCE OF TREATMENT INVOLVED SMILEBYDESIGNNY. COM

PART II WILL EVALUTE THE SEQUENCE OF TREATMENT INVOLVED SMILEBYDESIGNNY. COM