Glandular epithelium Prof Dr Anna L Kiss Department

  • Slides: 23
Download presentation
Glandular epithelium Prof. Dr. Anna L. Kiss Department of Anatomy, Histology and Embryology Semmelweis

Glandular epithelium Prof. Dr. Anna L. Kiss Department of Anatomy, Histology and Embryology Semmelweis University 2020

Glandular tissue - Specialized cells: secretion Endokrin- or exocrin glands

Glandular tissue - Specialized cells: secretion Endokrin- or exocrin glands

Exocrine glands Unicellular glands: • Endoepithelial: goblet cells • exoepithelial

Exocrine glands Unicellular glands: • Endoepithelial: goblet cells • exoepithelial

Unicellular endoepithelial gland: goblet cell Secretory granules Golgi RER mucus secreting cells: mucus: protein+carbohydrate

Unicellular endoepithelial gland: goblet cell Secretory granules Golgi RER mucus secreting cells: mucus: protein+carbohydrate

WGA Lectin immunohistochemistry

WGA Lectin immunohistochemistry

Exocrine glands simple compound tubular alveolar Tubulo-alveolar

Exocrine glands simple compound tubular alveolar Tubulo-alveolar

Exocrine glands -Secretory pathways: - merocrine: continuous exocytosis (most of the glands) - apocrine:

Exocrine glands -Secretory pathways: - merocrine: continuous exocytosis (most of the glands) - apocrine: modified sweat gland, mammary gland - holocrine: (the whole cell becomes secretum) sebaceous gland

Merocrine secretion

Merocrine secretion

Apocrine secretion

Apocrine secretion

Holocrine secretion

Holocrine secretion

Secretory pathways

Secretory pathways

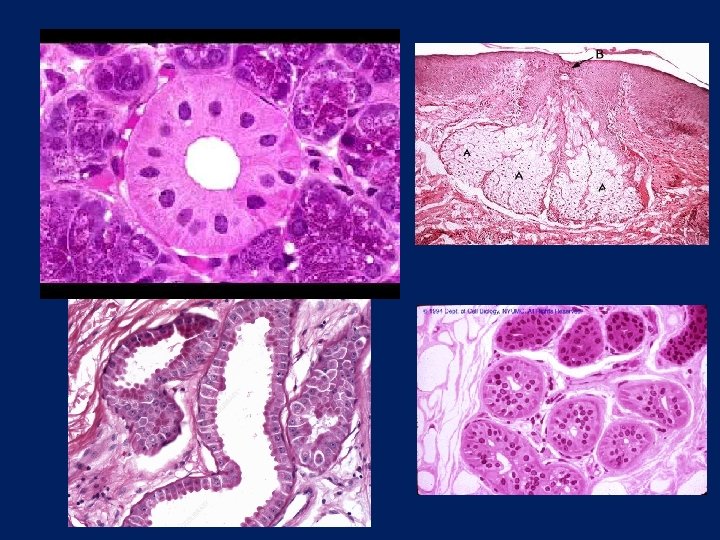
Exocrine glands chemical composition of the secretum: a. ) serouos: protein well developed r.

Exocrine glands chemical composition of the secretum: a. ) serouos: protein well developed r. ER strong basophyl staining, narrow lumen

Exocrine glands b. ) mucus glands: carbohydrate well developed Golgi apparate, wide lumen

Exocrine glands b. ) mucus glands: carbohydrate well developed Golgi apparate, wide lumen

Exocrine glands c. ) mixed Gianuzzi demilune

Exocrine glands c. ) mixed Gianuzzi demilune

Gianuzzi demilune? ?

Gianuzzi demilune? ?

Salivary glands: duct system interlobular duct system intralobular duct system

Salivary glands: duct system interlobular duct system intralobular duct system

Salivary glands: duct system striated duct: active transport: many mitochondria

Salivary glands: duct system striated duct: active transport: many mitochondria

Intralobular: intercalated+striated ducts

Intralobular: intercalated+striated ducts

Myoepithelial cells

Myoepithelial cells

Felhasznált irodalom Röhlich Pál: Szövettan. Budapest, 1999 A szövettani képek a Humánmorfológiai és Fejlődésbiológiai

Felhasznált irodalom Röhlich Pál: Szövettan. Budapest, 1999 A szövettani képek a Humánmorfológiai és Fejlődésbiológiai Intézet gyűjteményéből származnak. Carola R, Harley JP, Noback CR: Human Anatomy & Physiology, Mc. Graw-Hill Inc. , USA, 1990 Wikipedia