GINGIVAL RECESSION v DEFINITION v CLASSIFICATION v FACTORS



















- Slides: 19
GINGIVAL RECESSION
v DEFINITION v CLASSIFICATION v FACTORS v PROCESS OF RECESSION v PROGRESSION R O A D v SYMPTOMS v TREAMENT v PREVENTION M A P
MARGINAL TISSUE RECESSION Exposition of the radicular surface of the tooth due to destruction of the marginal gingiva and of the juntional epithelium that will be re-established at a more apical position.
• MARGINAL GINGIVA + ATTACHED GINGIVA= KERATINIZED GINGIVA • ALVEOLAR MUCOSA • MARGINAL /ATTACHED = FREE GINGIVAL GROOVE • ATTACHED/ ALVEOLAR MUCOSA= MUCOGINGIVAL JUNCTION B A S I C R E V I E W
MILLAR’S CLASSIFICATION OF GINGIVAL RECESSION: CLASS I
CLASS II
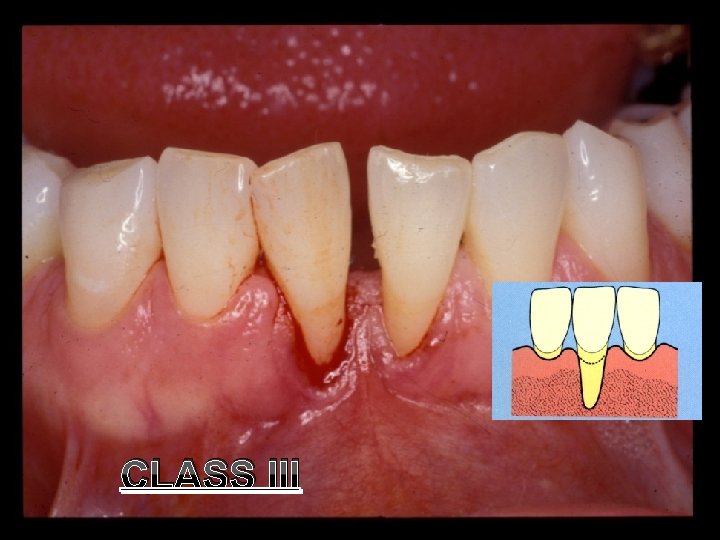
` CLASS III
SALLIVAN & ATKINS: (1968) Shallow narrow § Deep narrow § Shallow wide § Deep wide §
ETIOLOGY DETERMINANT FACTORS • Bacterial Plaque Ø O`Leary et al found direct correlation between the increase of plaque index and the increase of marginal tissue recession • Trauma from toothbrushing Ø Improper technique Ø Wrong toothbrush • Iatrogenic Factors Ø Amalgam or prosthetic overhang Ø Clamps Ø Orthodontic appliances • Habits Ø Fingernails or any foreign object
LIP & TONGUE PIERCING PARTIAL DENTURE CLASP AMALGAM OVERHANGS INADEQUATE ATTACHED GINGIVA
CO FACTORS • Tooth Malposition Ø Buccally displaced teeth or rotated tooth due to altered toothbone relationship • Unfavorable Anatomy Ø High frenum insertion Ø Shallow buccal fold that produce tension on the marginal gingiva • Orthodontic Movements
STILLMAN’S CLEFT
PROGRESSION OF RECEDING GUMS • Pink • Tight to teeth • Scalloped appearance around each tooth • Swollen • Bleeding • Bright red • Tender to touch • Gums pull away from teeth • Loose teeth • Pus between teeth and gums • Roots visible • Temperature sensitivity • Inflamed gums with pus • Tooth loss
SYMPTOMS: • Tooth sensitivity • Toothy smiles • Notched tooth • Color change • Space between teeth becomes wider If the gum recession is caused by GINGIVITIS, the following symptoms may also be present • Puffy, red, or swollen (inflamed) gums • Gum bleeding while brushing or flossing • Bad breath (halitosis)
TREATMENT v Cause-specific treatment in nonprogressive gingival recession v Surgical root coverage in progressive gingival recession.
OBJECTIVES: üProblems associated with attached gingiva üProblems associated with shallow vestibule üProblems associated with aberrant frenum
“AN OUNCE OF PREVENTION IS WORTH A POUND OF CURE. ” • Non traumatic plaque control • Treating gingivitis & peridontitis in early stages • NO to ORTHODONTICS • Treat occlusal trauma • Caution in restorative procedures • Contours help plaque control • Design prosthetic appliances