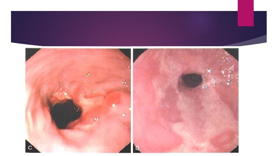
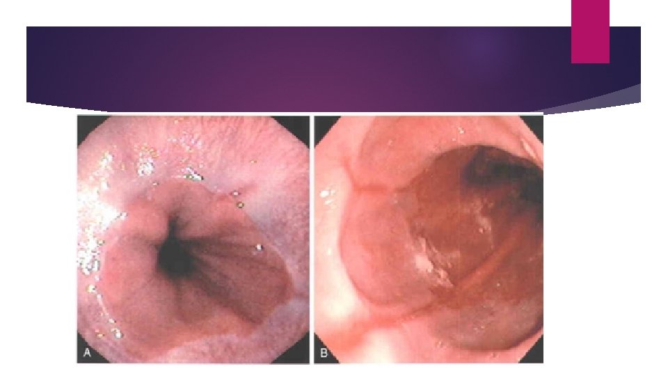
GERD GASTROESOPHAGEAL REFLUX DISEASE Endoscopy To exclude mucosal

  • Slides: 46
Download presentation
GERD GASTROESOPHAGEAL REFLUX DISEASE

GERD GASTROESOPHAGEAL REFLUX DISEASE

Endoscopy - To exclude mucosal injury in: Atypical symptoms Unresponsive to treatment - Alarm

Endoscopy - To exclude mucosal injury in: Atypical symptoms Unresponsive to treatment - Alarm factors: Dysphagia weight loss Recurrent occult or gross bleeding vomiting Jaundice Lymphadenopathy palpable mass family history of GI malignancy Unexplained dyspepsia Screen Barrett`s metaplasia: Heartburn >5 yrs duration especially in patients >50 yrs

Refractory GERD GABA-B agonist: baclofen (by reducing TLESR BY 40%)? Metoclopramide: prokinetics? TCA, Trazodon,

Refractory GERD GABA-B agonist: baclofen (by reducing TLESR BY 40%)? Metoclopramide: prokinetics? TCA, Trazodon, SSRI