Genetics Heredity is the process in which traits




















































- Slides: 52
Genetics • Heredity is the process in which traits pass from parents to offspring. • The scientific study of heredity is called genetics.
Various Traits
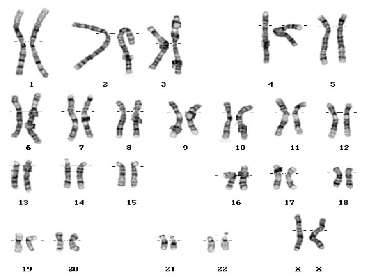
DNA and Genes • Chromosomes are made up of protein molecules called DNA. • A gene is a segment of a DNA molecule that contains information about a specific trait.
DNA • DNA stands for DEOXYRIBO NUCLEIC ACID. • There are 4 bases: ADENINE, THYMINE, CYTOSINE, GUANINE.
How all this is passed on through the generations…
2 Kinds of Reproduction • SEXUAL • ASEXUAL
Sexual Reproduction • Two parents combine genetic material to produce a new organism. • The parents give ½ of their chromosomes which combine with the other parents to form a new organism. • Offspring are not exactly like either parent because chromosomes are a mix.
Sexual Reproduction ½ of Parents Chromosomes
One in a million. Skin color is believed to be determined Kim-Remee Twinsb. Ky up to seven different genes working
Durrant-Spooner Twins
Solent News & Photo Agency
Asexual Reproduction • Reproductive process in which offspring have only one parent. • They are genetically identical to the parent.
Asexual Reproduction • • Budding Cell Division(binary fission) Regeneration Cloning
Asexual Reproduction
Gregor Mendel • Gregor Mendel (1822 -1884) was an Austrian monk whose work with pea plants laid the foundation for genetics. • He is thought of as the “father” of genetics
Mendel’s Experiment • Mendel believed that heredity depended on contributions from both parents and that specific characteristics from each parent were passed on. • Mendel studied seven pairs of pea plants.
First Generation • Mendel deduced there were two factors: – The first factor is the dominant trait because it hides the effect of the other factor. – The second factor is the recessive trait because it is hidden by the dominant factor.
Second Generation • Mendel realized that the recessive trait showed back up in the second generation.
Alleles • The traits you have are controlled by genes on a person’s chromosomes called alleles.
2 Kinds of Alleles • Alleles may be DOMINANT or RECESSIVE. • A dominant allele is one whose trait always shows up in an organism. • A recessive allele is hidden, or covered up, whenever the dominant allele is present.
For Example… • In humans, the allele for free ear lobes is dominant; that for attached earlobes is recessive. • A person who inherits two dominant alleles for this trait will have free ear lobes. • A person who inherits one dominant and one recessive allele for this trait will also have free ear lobes. • A person who inherits two recessive alleles for this trait will have attached ear lobes.
Trait for Earlobes
Other Traits
Genotype and Phenotype • Genotype is the GENETIC alleles for a characteristic; it is on the inside. • Ex: BB, Bb, bb WHAT THE GENETIC “CODES” ARE INSIDE • Phenotype is the PHYSICAL characteristic that is presented in an organism on the outside. • Ex: BROWN EYES, BLUE EYES WHAT IT LOOKS LIKE OUTSIDE
Punnett Squares • Diagrams used to help us figure out how inherited traits will be distributed or passed on. • An uppercase letter denotes the dominant form of the gene. • A lowercase letter denotes the recessive form of the gene.
Let's try some samples and see how these squares can help us. A is a dominant characteristic. This bird has two genes for red feathers. Its genotype is AA. a is a recessive characteristic. This bird has two genes for blue feathers. Its genotype is aa.
This Punnett Square shows how we can diagram the genes. • The orange bird has two dominant A genes. • We put two A s along the top of the square. • The blue bird has two recessive a genes. • We put two a s down along the left side of the square
How to…
Tongue Rolling Trait T TT Tt tt
Blood Types in Humans A B O AA (AA) AB (AB) AO (A) AB (AB) BB (B) BO (B) AO (A) BO (B) OO (O) Human blood type is determined by 3 alleles, or genes, A, B, and O. Both A and B blood types are co-dominant, meaning that if a human inherits the AB blood type, both types will be expressed as AB. Alternately if a human inherits the A allele and the O allele, the blood type of the offspring will be A. In parenthesis above are the actual phenotypic expression of the traits listed above.
Purebred vs. Hybrid • A purebred only has one type of allele • A hybrid has more than one type of allele – Purebred= homozygous – Hybrid=heterozygous • Ex: BB or bb purebred Bb hybrid
Punnett Practice Tongue Roll r r 1 R 3 r 1 b. 2 a. 2 b. 3 a. 2 3 b. 4 4 a. 4 b. Dimple D 3 2 2 b. 3 a. 3 b. 4 B B 1 b 3 4 a. 4 b. b 2 a. 2 b. 3 a. 2 3 b. 4 4 a. 4 b. Hitchhikers Thumb Mother hybrid/purebred D 1 d 2 a. 1 a Father hybrid/purebred 1 b. d Mother hybrid/purebred Father hybrid/purebred Hair Color 1 a Father hybrid/purebred H H 1 H 3 h 2 1 a 1 b. 2 a. 2 b. 3 a. 3 b. 4 4 a. 4 b.
Cloning
stem cell news
Stem Cells
National Geographic “Clone”
Common Name Genus and Species Diploid Chromosome Number Buffalo Bison bison 60 Cat Felis catus 38 Cattle Bos taurus, B. indicus 60 Dog Canis familiaris 78 Donkey E. asinus 62 Goat Capra hircus 60 Horse Equus caballus 64 Human Homo sapiens 46 Pig Sus scrofa 38 Sheep Ovis aries 54
• Zorses • Rare Zorse • Ligers