Further History Yeah the shit that killed Elvis















- Slides: 15
Further History • “Yeah, the shit that killed Elvis. I knew it had to be a good trip if it killed Elvis!”
Suspicious Minds? • “We can’t go on together with suspicious minds. . . So if an old friend I know stops by to say hello. . . ” – Elvis Presley, 1969
Making The Diagnosis • “By sucking out the liquid from the pill with a syringe and shooting it into my veins. ” • “Yeah doc, the dealer that sold it to me said it was the shit that killed Elvis. I knew it had to be a good trip if it killed Elvis, but it never said on the pill that it would make me short of breath. ” • The patient also confirmed that the capsules from which he aspirated their contents were red in color and had a vinyllike odor.
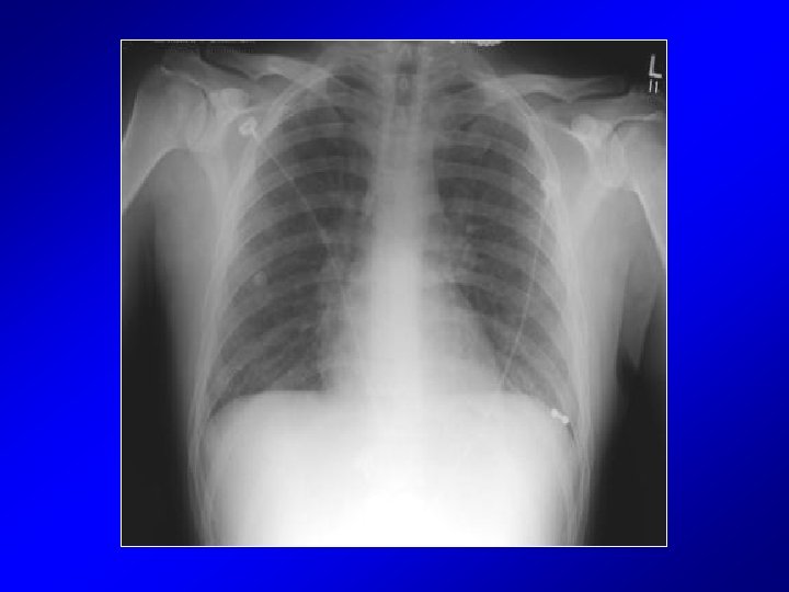
Clinical Course • Admitted to ICU – Intravenous furosemide – Supplemental oxygen • 36 hours after admission – Dyspnea resolved – Lungs clear on exam – Chest x-ray improved – O 2 saturation – 96% on room air – Patient offered substance counseling but declined and was discharged home
Ethchlorvynol • Sedative-hypnotic • Placidyl discontinued in the United States in 1999 • 22 exposures reported in the 2001 Annual Report of the AAPCC TESS
Ethchlorvynol • Dimorphic clinical picture – Oral overdose • Hypothermia, hypotension, bradycardia, respiratory depression, pulmonary edema, coma – Intravenous abuse • Noncardiogenic pulmonary edema, CNS depression
Ethchlorvynol • Postulated mechanisms for ethchlorvynol-induced NCPE – Hemodynamic changes – Increased alveolar capillary permeability – Arachidonic acid metabolites • Disproved mechanisms – Polyethylene glycol – Sequestration of leukocytes
Elvis Presley’s Autopsy Report
So How Did The King Really Die? • Toxicologic analyses? – – – – Codeine, morphine Ethinamate Methaqualone Barbiturates Ethychlorvynol Diazepam Meperidine Chlorpheniramine
“Dr. Nick” • Dr. George Nichopoulos – Elvis Presley’s physician – Charged with prescribing Elvis thousands of pills during the last two years of his life – Medical license revoked in 1995
Peanut Butter and Nana’ Sandwich Embolism • Ingredients – – 2 slices of white or wheat bread 2 to 3 tablespoons smooth peanut butter 1/2 large, well-ripened banana, mashed 1 to 2 tablespoons of Mazola Canola Oil • Directions – Spread peanut butter on one side of both pieces of bread. – Spread mashed banana on top of the peanut butter on one of the bread slices. – Put the two slices together to make a sandwich. – In a skillet over medium heat, pour the oil. – When the oil is hot, fry the sandwich, browning both sides.
Elvis Alive and Well in Indiana