Functions of Bone Osseous Tissue Structural Support Protection
Functions of Bone (Osseous Tissue) • Structural Support: • Protection: • Storage: 1) minerals and 2) lipids • Blood Cell Production: • Body Movement: • Detoxification:
(f) Sutural bone (of skull) (e) Sesamoid bone (patella)
Constituents of Bone Organic (~1/3) Collagen Inorganic (~2/3) 80% Calcium Hydroxyapatite Ca 3(PO 4)2. (OH)2 15% Calcium Carbonate Ca. CO 3 5% Other Minerals: Mg, SO 4, Na, K Specialized Bone Cells (4) Glycosaminoglycans (GAGs) Flexibility! Rigidity!
Compact Bone
Specialized Bone Cells
Hormonal Control of Bone Tissue Human Growth Hormone (h. GH): Thyroxine: (Pituitary gland) (Thyroid gland) Sex Hormones: (Ovaries and Testes) (estrogen, progesterone, testosterone) Calcitonin: Calcitriol: Inhibits Osteoclasts (Thyroid gland) Parathyroid Hormone: Stimulate Osteoblasts (Parathyroid gland) (Skin and kidneys) Stimulates Osteoclasts Increases Ca 2+ absorption from intestine, ↓ Ca 2+ in urine.
Other Health Problems Linked to Fluoridation Increased lead absorption Disrupts synthesis of collagen Hyperactivity and/or lethargy Muscle disorders Brain damage and lowered IQ Arthritis Dementia Bone fractures Lowered thyroid function Bone cancer Inactivates 62 osteosarcoma enzymes Inhibited formation of antibodies Genetic damage and cell death Increased tumor and cancer rate Damaged sperm and increased infertility Disrupted immune system So, why are we still fluoridating water?
2 Types of Ossification 1. Intramembranous Ossification Mesoderm Mesenchymal cells Osteoprogenitor cells Osteoblast Osteocytes in bone tissue
2. ENDOCHONRAL OSSIFICATION starts as a cartilage model of bone
Appositional Bone Growth Bone Remodeling: Depositing and removing bone tissue!
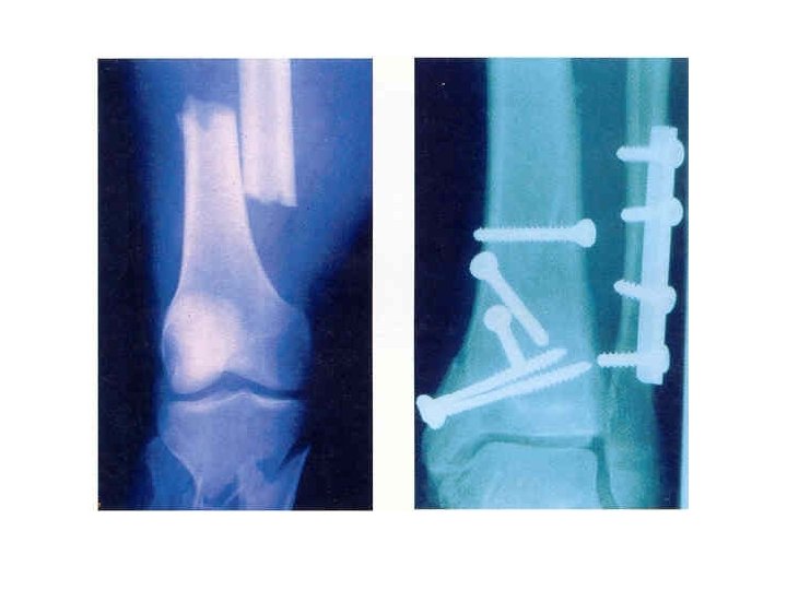
Fractures Simple (Closed): Compound (Open):
Disorders of Bone Tissue • Osteopenia: A reduction in bone mass with age. • Osteomalacia (‘Rickets’ in children): Defective mineralization of bone, resulting in too much flexibility, bone cannot bear weight sufficiently. • Osteoma: Cancer of bone tissue (uncontrolled bone growth, a malignant tumor = cancer).
• Osteoporosis: A significant reduction in bone mass that impairs function. From too little mineralization of bones for these reasons: 1) Decrease in hormone levels. 2) Deficiency of minerals in youth, thus too little to begin with. 3) Imbalance of osteoblasts and osteoclasts activity.
- Slides: 33