Fractures du Cotyle ou Fractures de lactabulum Professeur
Fractures du Cotyle ou Fractures de l’acétabulum Professeur KANDJERA Lamine Maitre de conférences en chirurgie orthopédique et traumatologique Faculté de médecine d’Annaba Université de Badji-Mokhtar Annaba
• Ce sont les fractures de l’os iliaque atteignant la surface articulaire du cotyle • Fracture articulaire • Nécessite une réduction parfaite pour éviter La coxarthrose • Leur fréquence est en augmentation vu les Accidents de la circulation
Iléon Ischion Pubis
RAPPEL ANATOMIQUE Le cotyle est compris entre osseuses 02 colonnes
Colonne Antérieure : colonne Iléo pubienne : • Iliaque • branche horizontale du pubis
Colonne Postérieure ou Colonne Iléo- Ischiatique : Formé En Haut : iléon En bas : corps et la branche descendante de l’ischion
ANATOMIE RADIOLOGIQUE L’étude du cotyle ce fait sur 3 incidences radiologiques C'est la radiologique qui permet de faire le diagnostic
Cliché de face du bassin
ANATOMIE RADIOLOGIQUE 2 clichés obliques à 45° Incidence de 3/4
Trois-quarts alaire Incidence de 3/4 alaire dégage l'aile iliaque
Trois-quarts obturateur Incidence de 3/4 obturateur dégage le trou obturateur.
RX FACE RX ¾ OBTURATEUR RX ¾ ALAIRE
FACE ¾ OBTURATEUR ¾ ALAIRE Dessin des neuf lignes radiologiques sur les trois incidences. En rouge, éléments de la colonne antérieure : 1. Aile iliaque ; 2. paroi antérieure ; 3. détroit supérieur. En vert, éléments appartenant aux deux colonnes : 4. toit du cotyle ; 5. arrière-fond ; 6. cadre obturateur. En mauve, éléments de la colonne postérieure : 7. paroi postérieure ; 8. ligne ilioischiatique ; 9. bord postérieur de l’os iliaque.
Scanner de la hanche
Scanner avec reconstruction 3 D
CIRCONSTANCES ET MECANISMES INDIRECT syndrome du tableau de bord
Compression appliquée sur le grand trochanter fracture du cotyle
Classification des fractures du cotyle JUDET et LETOURNEL
Fractures de la paroi postérieure Elles sont les plus fréquentes accompagnent en général une luxation postérieure de la hanche
Fractures de la paroi postérieure luxation postérieure de la hanche
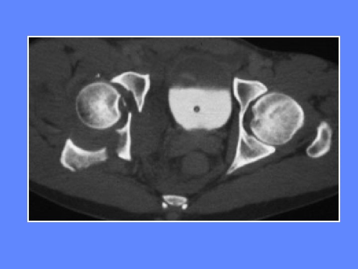
TDM luxation postérieure de la hanche
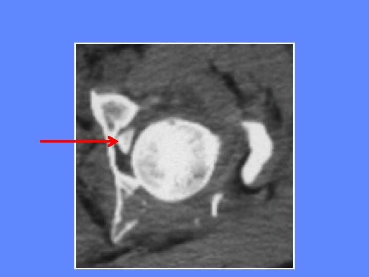
Incarcération d’un fragment intra-articulaire
Fractures de la colonne postérieure Elles détachent toute la moitié postérieure du cotyle.
Fractures de la colonne postérieure
Fractures de la paroi antérieure du cotyle est fracturée
Fractures de la colonne antérieure détachent un fragment emportant la moitié antérieure du cotyle
Fractures transversales Le trait est horizontal travers les deux colonnes La tête fémorale peut se déplacer en dedans réalisant La Luxation centrale
Fractures en T fractures transversales avec un trait de refend vertical
Fractures complexes Les fractures touchent les 2 colonnes
Fractures des 2 colonnes
Fractures complexes
Lésions associées • Les fractures du cotyle sont la résultante de traumatisme à haute énergie. • Dans près de 50 % des cas, ces fractures sont associées à d’autres lésions. • Il peut s’agir de complications générales ou régionales
Choc hémorragique Hématome rétropéritonéal le saignement est abondant et peut faire penser à tort à une lésion intra péritonéale. l’échographie et le scanner redressent le diagnostic. Lésions osseuses du bassin Lésions nerveuses: atteinte du nerf sciatique surtout dans les lésions postérieure associée à une luxation Lésions de la tête fémorale: fracture de la tète ou lésion chondrale
CLINIQUE Ces blessés se présentent souvent en état de choc. La douleur de la hanche attire l'attention. Cette douleur est réveillée par la mobilisation du membre inférieur. L’impotence fonctionnelle est totale Le membre inférieur peut paraître plus court en cas de luxation associée
Il faut recher d'emblée les complications possibles : -Complications viscérales pelviennes, toujours possibles et entretenant le choc. -Complications vasculaires -Complications urinaires. - Complications neurologiques (compression sciatique).
Traitement
1. traiter le choc 2. réduire d'urgence toute luxation de la tête fémorale associée 3. Le traitement de la fracture peut être orthopédique ou chirurgical
Orthopédique traction Durée 45 jours traction longitudinale par une broche mise à travers les condyles du fémur ou l'extrémité supérieure du tibia traction latérale pour désenclaver une luxation centrale de la tête fémorale
vissage de la paroi postérieure du cotyle par voie d’abord postérieure
Ostéosynthèse par une plaque.
Ostéosynthèse d’une fracture transversale et de la colonne postérieure par une plaque, moulée sur le relief de la colonne
ostéosynthèse de la colonne antérieure par plaque
Indications Le traitement chirurgical n'est pas urgent, sauf pour les fractures avec luxation La traction d'attente permettra de faire le bilan complémentaire et le scanner et l'on n'opérera que 8 à 12 jours plus tard, lorsque l'hémostase des vaisseaux pelviens sera stabilisée, permettant d'intervenir sans risque d'hémorragie importante • En fonction de l'âge, • l'importance du déplacement, • qualité de la congruence articulaire rétablie grâce à la traction, on pourra décider de poursuivre le traitement orthopédique ou de faire une ostéosynthèse, qui devrait permettre d'obtenir une réduction plus anatomique.
complications secondaires -La RAIDEUR de la hanche -L'ARTHROSE POST-TRAUMATIQUE qui guette les fractures du cotyle surtout si la congruence articulaire est mauvaise LA NÉCROSE DE LA TÊTE FÉMORALE est toujours possible.
MERCI
- Slides: 49